ホーム > 

M.M様

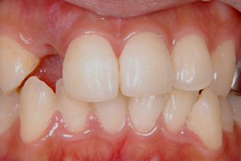
事故で前歯を失われた方の、インプラント治療と審美回復の症例です。

before

お仕事も対人関係のお仕事ですので、審美的な回復も考えた治療を行っていきました。

after

歯ぐきもしっかり回復し、一見ではどこがインプラントか分からない程度まで治りました。

before

after

最終的には、ホワイトニングも行い、以前よりもキレイな口元と口腔内環境になられて良かったと思います。

無料メール相談 歯について日ごろ不安に思うこと、治療内容やご不明な点がありましたら、お気軽にお問い合わせ下さい。明石・神戸周辺の歯医者さん「アップル歯科クリニック」の院長・歯科医師がメールでお答えします。

  • オンライン予約

    アップル歯科クリニックはオンライン予約も可能

  • 神戸・明石周辺 歯科・無料メール相談

    神戸・明石周辺 歯科医・歯医者さんが答える無料メール相談

  • 歯科・無料FAX相談

    神戸・明石周辺 歯科医・歯医者さんが答える無料FAX相談

  • 小冊子無料プレゼント

関連サイト アップル歯科クリニック関連WEBサイト(リンク)