当院では、しっかり説明し同意を得てから治療に入るために患者様とのコミュニケーションを大切にしております。毎回治療についてのご説明や治療内容、次回の予定など、患者様が抱いている疑問や不安に対し、ご安心・ご納得いただくまでしっかりとご説明させていただきます。
疑問に思われたことは何でもお尋ね下さい。
長期に渡る治療では、最初にきっちりとご説明させていただき、双方の同意があり、信頼関係が築けてこそ歯科治療はうまくいくとアップル歯科は考えています。
STEP1 問診・ファーストカウンセリング
患者様のお口の問題や症状、お体の状態などをお伺いいたします。今までの歯科治療に対する不安など、何でもお話下さい。

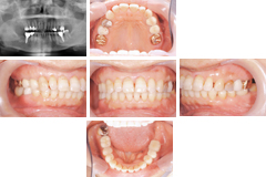
STEP2 検査
お口全体の健康状態をチェックします。症状のある部分と、全体的な検査も行い、初診時のお口の中の状態を記録いたします。

STEP3 主訴の改善
お痛みのある場合はまず痛みの原因を取り除く処理をいたします。

STEP4 歯周病予防
歯ぐきの健康を取り戻しながらカウンセリングに必要な資料(模型・レントゲン)をそろえていきます。

STEP5 TC(トリートメントコーディネーター)とのカウンセリング
歯科医ではないカウンセラーが患者様のお気持ちや治療に対する思いをお伺いいたします。何でもお気軽にご相談下さい。

STEP6 治療計画
患者様の検査結果の資料をTCとのカウンセリング内容を元にしてどのような治療計画が適切か検討します。

STEP7 カウンセリング(説明・相談)
担当医より患者様にお口の状態を説明し、治療計画についてご一緒に相談いたします。

STEP8 治療開始
毎回必ず治療内容をご説明いたします。患者様の同意を得て治療を開始し、終了時には今日の治療内容と次回の予定をご説明し、治療を終了します。

| 曜日 | 月 | 火 | 水 | 木 | 金 | 土 |
|---|---|---|---|---|---|---|
| 診療開始 | 9:30 | 9:30 | 9:30 | 9:30 | 9:30 | 9:30 |
| 診療終了 | 18:30 | 18:30 | 13:00 | 18:30 | 18:30 | 17:00 |
※日曜・祝日診療は右記診療カレンダーをご覧下さい。
| 日 | 月 | 火 | 水 | 木 | 金 | 土 | ||||||||||||||
|---|---|---|---|---|---|---|---|---|---|---|---|---|---|---|---|---|---|---|---|---|
| ||||||||||||||||||||
| ||||||||||||||||||||
| ||||||||||||||||||||
| ||||||||||||||||||||
| ||||||||||||||||||||
| ||||||||||||||||||||
休診日
日曜・祝日診療
13時迄
明石以外でもアップル歯科の治療を受けられます
明石・神戸周辺のアップル歯科