目立たない歯並び矯正
このページの目次
アップル歯科にご相談にお越し下さい。当院では、カウンセリングを通じて患者様のご要望や咬み合わせ、ご予算に応じた歯列矯正治療を、しっかり治療計画を立て、納得頂いてから治療にあたります。
| 矯正担当医 | 矯正医(日本矯正歯科学会認定医※2名在籍)と、あなたの担当医の2人1組で治療にあたります。 |
|---|---|
| 矯正装置の種類 | インビザライン(米国製)・エンジェルアライナー(中国製) |
| 矯正装置の費用 | 軽度税込38万5,000円、部分矯正税込44万〜55万円、全顎矯正税込66万〜93万5,000円 |
| こだわりは | 光学式口腔内スキャナーを使い、しっかり診断してきちんとしたゴールを設定した治療計画を立案します |
| 矯正相談は | 無料相談も承っています(ご予約時にお伝え下さい) |
| 場所は | 明石市大久保町高丘3丁目3−1 (第二神明大久保ICから車で5分)駐車場15台あり |
| ご予約は | お電話 もしくは WEB予約(初診専用)からお待ちしています |
明石アップル歯科は、マウスピース矯正「インビザライン」を2016年から導入し、2019年から当院矯正治療の主な矯正装置として取り扱っています。
現在では、全顎矯正のみならず、前歯用・少数歯用・軽度用・小児矯正用のほか、「エンジェルアラナー」等の複数メーカーの矯正装置も含めて、患者様に適した矯正装置を相談の上決めるようにしています。
しかし、どれだけ種類が増えても、患者様にとっては「どの矯正装置が適しているのか」「マウスピース矯正で治療ができるのか」等、簡単にわかるものではありません。
そこで、当院では無料の矯正相談を実施し、わかりやすい資料をお渡しすることで、じっくりご検討していただけるよう努めています。
マウスピース矯正は多くの矯正のデメリットを克服した矯正です。
マウスピース矯正はSmart Trackという矯正に適した素材でできた透明のマウスピース型装置です。
従来までの矯正とは違い、ワイヤーで引っ張るものでもなければブラケットのような凹凸のある装置も着けません。(※マウスピースによって歯を早く動かすためにアタッチメントというポッチを着けることはあります)。
これまで多くの方が悩んできたワイヤーがない矯正。以前はその治療の成功率から、積極的にはお勧めしないこともありましたが、その精度は年々良くなり、当院でも本格的に導入しました。
矯正前の方がブラケット矯正の大きな懸念として上げるブラケットの違和感。歯の表面に着けるわけですから「口唇に当たる感覚に慣れることが出来るかどうか」「少し口をぶつけただけで傷が出来てしまうのではないか」など、様々な心配があるとは思います。
マウスピース矯正は、そのブラケットすらありませんので、それらの悩みは一切懸念する必要はありません。
※全く痛みがないわけではありません。装着後数日間は引っ張られるような感覚があります。
マウスピース矯正の大きなメリットは着脱可能なこと。
「結婚式が近いから」「人前で発表する機会があるから」など、イベント時に外したくても外せないために時期をズラしたり、そのまま矯正を諦めたりされた方もおられました。マウスピース矯正は毎日着脱が認められています。1日の使用時間は20時間(最低17時間)ですが、全く着脱出来ない装置とはそのメリットは大きく異なります。
※結婚式等で長時間外される場合は歯科医師に相談の上指示に従ってください。
着脱式ですから歯磨きも外して行います。ブラケットがないので凹凸を気にする必要はありません。従来どおりの歯磨きを行ってください。
マウスピース自体は水での洗浄や歯ブラシでの洗浄、入れ歯の洗浄剤やマウスウォッシュなどで洗えます。また、2週間おきに新しいマウスピースに替わるので、ナイトガード(食いしばりから歯を守るマウスピース)に比べても衛生的です。
矯正装置を着けると意外に大きな悩みとなるのが食事の制限。
ガムやキャラメル以外に、特に多くのものが禁止されているわけではありませんが、カレーやコーヒーなどは白いブラケットやワイヤーの着色の元となるため、避ける傾向になります。
マウスピース矯正は食事中ももちろん取り外しますので、装置の着色を気にする必要はありません。
矯正治療を始めると、ワイヤーやブラケットの調整を行うため、1〜2ヶ月に1度の通院が必要となります。
もちろん、マウスピース矯正でも調整日はありますが、2〜3ヶ月に一度と大幅に回数を減らす事ができます。矯正期間が2年の方であれば10回前後の違いになります。
マウスピースの素材は特殊なプラスチック。金属は使用されていません。
ですから、金属アレルギーの方も金属がアレルギーが心配な方も安心して矯正に臨めます。もちろん、空港の金属探知機などの心配もご無用です。
ご希望の方には、マウスピース矯正中にホワイトニングの施術を行っております。就寝前にマウスピースにホワイトニングの薬剤を入れ、歯列矯正しながらのホワイトニングが可能です。
別途の費用はいただいておりませんので、気軽にスタッフまでお申し付けください。詰め物や被せ物、抜髄している歯にはホワイトニングで白くできない場合もございます。患者様のご要望や口腔内環境に合わせてご提案させていただきます。
マウスピース矯正にももちろんデメリットはあります。場合によっては歯が並ばないこともあり得ますので、自身にあっているかどうか、しっかり歯科医師と相談して決めましょう。
インビザラインシステムによるマウスピース矯正の場合、アライナーによる矯正力をかけるために「アタッチメント」というポッチのようなものを歯に着けることがあります。
このアタッチメントはコンポジットレジンという樹脂でできたもので、ダイレクトボンディングなど歯の治療に使用するものと同じ素材でできています。
アタッチメントを着けると、写真のように少し凹凸ができるため、近くで見ると違和感を感じる人もおられるかもしれません。しかし、コンポジットレジンは審美的な治療にも使われる「歯に見た目が近い素材」ですので、大きく目立つものでもありません。アタッチメントは人によって着ける場所や数が異なるため、気になるかどうかはご本心様次第ですが、ワイヤー矯正のブラケットという装置に比べれば、それほど目立たないため、「気にならない」という人も多くおられます。
初回相談・検査
まずは相談からです。無料相談が可能です。光学印象という、歯型の代わりにカメラで撮影したDATAから、シミュレーションを行います。
矯正相談
マウスピース矯正で進めることになったら、更に詳しい治療計画の説明とご相談を行い、装置や枚数を決めていきます。
クリンチェック
歯科医師がDATA上で作成した治療計画をご確認いただき、OKならアライナー(マウスピース型矯正装置)の作成に入ります。
矯正スタート
約2〜4週間程度でアライナーが完成、手元に届きます。時間を守って装着し、定期的にチェックにお越しいただきます。
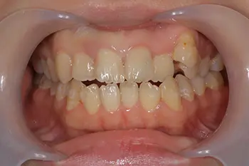
Before
After
| 治療の内容 | マウスピース型矯正装置(インビザライン)による歯列矯正とセラミックインレー、精密根管治療 |
|---|---|
| 期間・回数 | 2年2ヶ月・30回(カウンセリング・検査含む) |
| 費用 | 自由診療:マウスピース型矯正装置(全体矯正)+精密根管治療×2歯+オールセラミックインレー×7歯 総額 1,265,000円(税込 1,.391,500円) |
| リスク・副作用 |
|
Before
After
| 治療の内容 | マウスピース型矯正装置(インビザラインGo)による部分矯正とホームホワイトニングによる治療 |
|---|---|
| 期間・回数 | 6ヶ月・7回(カウンセリング・検査含む) |
| 費用 | 自由診療:マウスピース型矯正装置(部分矯正)+ホームホワイトニング 総額 450,000円(税込 495,000円) |
| リスク・副作用 |
|
アップル歯科で取り扱うマウスピース型矯正装置

アメリカ・アラインテクノロジー社製のマウスピース矯正装置。世界90か国以上で使用されています。

中国・エンジェルアラインテクノロジー社製のマウスピース矯正装置。世界50か国以上で使用されています。
自由診療:標準治療費全歯48万〜85万円(税込52万8,000〜93万5,000円)
中等度から重度の全顎矯正
コンプリヘンシブ
Select Unlimited・Pro
軽度の全顎矯正
モデレート
Select 30
部分的(前歯向)マウスピース矯正
Go・Go Plus
Select 10・Select 20
部分的(軽微)マウスピース矯正
ライト・Express
明石アップル歯科では、お支払い回数に応じた3つの分割プランをご用意しています。
支払回数:最大5回(矯正は最大10回)
金利0円
デンタルローンを使わず、医院内で分割してお支払いいただくプランです。
※金利・手数料はかかりません。
支払回数:最大36回(均等払い)
金利0円
36回までに支払いを完了することで金利0円でデンタルローンを利用するプランです。
※金利・手数料はかかりません。
支払回数:最大120回
年率3.9%
長期でゆっくり支払いたい方のためのデンタルローンプランです。
※金利・手数料がかかります。
※年率は選択金融機関により異なる場合があります。
その他、クレジットカードによる分割払いにも対応しています。手数料についてはカード会社へご確認ください。
当院では前歯等の部分的(5番から5番)な矯正に対し、マウスピース型矯正装置を使用するアライン社のインビザラインGoシステムを採用しております。
近年、ワイヤー矯正からマウスピース矯正の需要が増えつつあります。「人に気づかれにくいマウスピース矯正は今まで矯正はしたいけど、ワイヤー見えるのはちょっと」という方にとっては、ハードルの低い矯正装置になります。マウスピース型の矯正装置は従来までのワイヤー矯正に比べ、取り外しが可能で違和感も少なく、歯磨きもしやすいというメリットも手伝い、現在希望者が増えている矯正装置です。
ただし、マウスピース型矯正装置にとって得意な動かし方や、苦手な動かし方というものもあり、適応しない場合や期間が長くなる場合があります。特に全体を動かす矯正となると、使用するマウスピースの枚数も多くなり、その分期間も長いものとなります。しかしこのマウスピース型矯正装置インビザラインGoシステムであれば、ちょっとした前歯の隙間や凸凹、気になる捻転(捻れてはえてきた歯)だけ治したいという方にとって、比較的(全顎矯正と比べて)短期間で終わり、導入しやすい矯正装置と言えます。
マウスピース型矯正装置インビザラインGoシステムによる部分矯正の場合、お口の型取りや診断に、口腔内スキャナーというカメラを使った光学印象を使用しますので、苦手な方も多い「型取り」をする必要がありません。また、口腔内スキャナーで読み込んだ情報を元に、その場で部分矯正が可能かどうかをシュミレーションしたり、難易度が高いか低いかなどもすぐに知ることが出来ます。
マウスピース型矯正装置は、マウスピースの形状により歯に力を加え刃を動かしていきます。1枚のマウスピースで動く距離は0.25mm程度で、マウスピースを1〜2週間ごとに交換することで歯を動かしていきます。マウスピースを交換したての頃は痛みを感じやすいですが、通常数日で気にならなくなるという方が多いです。マウスピースはまとめてお渡ししますので、歯科医師の指示に従ってマウスピースを装着・交換をして頂く必要があります。
また、歯をより早く動かすためにアタッチメントというポッチのようなものを歯につけ、それをマウスピースに引っ掛けることで正しい方向に強く力が伝わるようになります。矯正治療に年齢制限はありませんので、どの年代の患者様でも使用は可能ですが、年齢を重ねていくと歯の動くスピードが遅くなることが多いです。
全体矯正は臼歯から前歯まであらゆる歯をワイヤーと矯正用ブラケット、あるいはマウスピースにて動かしていきます。一方のインビザラインGoシステムは治療の範囲が前歯〜小臼歯までとなりますので、基本的に奥歯を動かしません。そのため、奥歯の咬み合わせが不安定な方や問題のある方にはすこし不向きかもしれません。
ただし、動かす歯は前歯から小臼歯までですが、マウスピースは全ての歯を覆います。
矯正開始後は、1日20〜22時間の装着を目処に使用していただきます。17時間を切ると歯の動きがシュミレーションから変わってしまい、次のマウスピースが上手く歯に入らなくなることもあります。お食事や間食を摂るときは、マウスピースは外していただいて結構です。食事後はしっかりブラッシングをした上でマウスピースをお口にセットしてください。ジュースやコーヒーなどの飲みものを飲まれるときも外される方が好ましいです。歯磨きが難しい場合は、よくお口をゆすいでからセットしてください。
マウスピース矯正で思う通りに歯が動かなかった、合わなくなったために途中で辞めてしまったという方の多くは、時間通りにマウスピースを装着されなかったことや、しっかりマウスピースが装着されなかったことが原因である場合が多いです。全顎矯正に比べてに短い期間の矯正治療ですので、歯科医師の指示に従い、きれいな歯並びを手に入れましょう。
インビザラインGoは、主に5番から5番までの審美部位を矯正するマウスピース型矯正装置です。
しかし、矯正し治療をご希望される患者様の中には「1歯だけ治療したい」、「過去に矯正した歯が戻ってきたので軽微な修正をしたい」というご要望の患者様も少なくありません。そんなご要望においては、インビザラインGoより、もっと軽微な治療向けの「インビザライン エクスプレス」プランがご提案可能です。
エクスプレスプランは7ステージまでの短期間・少ないマウスピースによる治療で、場合によっては片顎のみの矯正も可能なプランです。ただし、すべての症例に適応可能なプランではなく、あくまで軽微な歯の移動にのみ適応できます。ご自身の歯並びの状態でエクスプレスプランが可能か、インビザラインGoになるのか等、気になる場合はお気軽に担当医にご相談ください。
自由診療:標準治療費全歯35万〜50万円(税込38万5,000〜55万5,000円)
部分的(前歯向)マウスピース矯正
Go・Go Plus
部分的・前歯向マウスピース矯正
Select 10・Select 20
部分的(軽微)マウスピース矯正
ライト・Express
| 曜日 | 月 | 火 | 水 | 木 | 金 | 土 |
|---|---|---|---|---|---|---|
| 診療開始 | 9:30 | 9:30 | 9:30 | 9:30 | 9:30 | 9:30 |
| 診療終了 | 18:30 | 18:30 | 13:00 | 18:30 | 18:30 | 17:00 |
※日曜・祝日診療は右記診療カレンダーをご覧下さい。
| 日 | 月 | 火 | 水 | 木 | 金 | 土 | ||||||||||||||
|---|---|---|---|---|---|---|---|---|---|---|---|---|---|---|---|---|---|---|---|---|
| ||||||||||||||||||||
| ||||||||||||||||||||
| ||||||||||||||||||||
| ||||||||||||||||||||
| ||||||||||||||||||||
| ||||||||||||||||||||
休診日
日曜・祝日診療
13時迄
明石以外でもアップル歯科の治療を受けられます
明石・神戸周辺のアップル歯科