このページの目次
アップル歯科では、お子様の歯並びの状態・親御さんのご希望・お子様のキャラクターを考慮し、必要に応じてお子様の歯並び矯正をご提案したします。
| 小児矯正 | 歯列育形成 お子様の顎の成長を助け、歯がきれいに並ぶスペースを作る |
|---|---|
| マウスピース矯正 目立たない透明のマウスピースを使った小児矯正 |
|
| トレーニング矯正 マウスピースを使って歯並びや口腔筋の訓練を行う矯正 |
|
| 費用 | 歯列育形成 標準治療費 400,000円(税込440,000円) 難加算時 500,000円(税込550,000円) |
| マウスピース矯正(インビザライン・ファースト) 標準治療費 500,000円(税込550,000円) |
|
| 期間 | 2〜4年(インビザラインは18ヶ月程度) |
| 回数 | 36〜48回 |
歯並びが悪くなる原因には、遺伝や骨格などの「先天的な原因」と習癖や生活習慣からなる「後天的な原因」の2種類があります。
後者の「後天的な原因」で歯並びが悪くなる理由の一つは、アゴが小さく、すべての歯がきちんと生えることが出来ないためです。
より早い時期に、歯並びが悪くなる原因を取り除き、よりよいかみ合わせが出来るトレーニングを行うことで、より効果的な歯並びを作ります。
大人になって悪い歯並びにより歯を失ったり、自身が持てなかったり、抜歯をして矯正しないといけないようにならないためにも、お子様の内に歯並びを整えたほうが、良い場合があります。
【参考文献1】バイオネイター治療とヘッドギア治療の両方がクラスII大臼歯の関係を矯正し、オーバージェットと心尖部の基底部の食い違いを減少させ、後上顎の歯の動きを引き起こしたことを明らかにしています。
【参考文献2】特に上顎構造に対する長引く効果の大きさに関して、結合型上顎エキスパンダーとフェースマスク療法の組み合わせが後期混合歯列よりも早期混合歯列においてより効果的であることを示している。
大人の矯正と違い、子供の矯正はアゴを広げる治療です。小児矯正ができる時期は限られています。
アゴの拡大がしやすいのが混合歯列期という5〜12歳ぐらいです。(10才を越えると、アゴの拡大が難しくなるために、一般的な矯正治療の適応になるかも知れません。)厳密には前歯が2本ずつと、第一大臼歯が永久歯として生え揃った頃が、矯正開始のタイミングとなります。
ただし、反対咬合の場合は、早期に行なう治療もあります
従来、本人の協力が望みにくい3~4歳の乳歯列に関しては、積極的に治療は行ないません。歯の矯正は、適切な時期に短期間で治療するのが理想ですが、反対咬合のお子様は治療時期が遅くなると、程度がひどくなる傾向もあります。ムーシルドは反対咬合の早期治療として、幼児期から始められるマウスピース型の矯正装置です。
お子様の歯並び、気にりませんか?でも、歯に装置やワイヤーを付ける矯正や顎を広げる装置など、本格的な矯正治療となると、費用の問題や、「子供が耐えれるかどうか」など、尻込みしてしまうことも多いようです。そんな方に一度検討していただきたいのが「マウスピースによる歯並びの改善」です。
当院では、お子様の歯並び・不正咬合の改善方法の一つとして、トレーニング矯正装置【プレオルソ・マイオブレース(T4K)】による治療を取り入れています。
前歯のガタガタや出っ歯、前歯同士が噛んでいないポカン口、下の歯が上の歯より前に出ている受け口、いろんなお悩みがあると思います。では、なぜ歯並びは悪くなると思いますか?元々顎が小さいから?それとも歯自体が大きいから?もちろんそれもありますが、実は習癖(指しゃぶりや舌のクセ)が原因であることも多いのです。
トレーニング矯正装置【プレオルソ・マイオブレース(T4K)】は、そんな習癖によってなってしまった不正咬合を治療するマウスピースです。以下のような症状に効果が期待できます。
叢生
デコボコの歯並び
上顎前突(出っ歯)
上の歯が前に突出している
下顎前突(受け口)
下の顎が前に突出している。
開咬(ポカン口)
前歯が噛んでいない。
過蓋咬合
咬み合わせ深く下の歯が見えない。
ある程度大きくなってきたお子様が、指しゃぶりを続けていると歯並びが悪くなる可能性が高くなります。他にも、口呼吸を続けていたり、食べ物や飲み物の飲み込み方が悪いと、歯並びが悪くなる可能性が高くなります。これが歯並びを悪くする「習癖(くせ)」で、間違った呼吸や飲み込み方、指しゃぶりなどの悪い習慣があると、舌や頬、唇の筋肉は異常な動き方をしてしまいます。この状態が続くことで正常な筋肉、顎顔面の発達からどんどん離れていってしまいうため、顎の発達が悪くなり、歯並びが悪くなってしまうのです。
また、舌の位置によっても歯並びは影響を受けてしまいます。舌からの適切な力が歯にかかることで、適切な位置に歯が並ぶのです。こういった理由により子どもの頃に悪い癖があると、歯並びが悪くなるどころか、正しい顎顔面の成長まで妨げられてしまうのです
ご自身のお子様は指しゃぶりや口呼吸をしていませんか?そもそも正しい飲み込み方とはどういうものか分からないということはありませんか?
小さな頃は、「可愛いと思った仕草」が実はお子様の健康な歯並びを育む邪魔をします。こういう悪い習慣を改善し、適切な発育を育むための装置が“T4K”や“プレオルソ”という、トレーニング矯正装置です。T4K・ぷれ、歯に金属のワイヤーを貼り付けて、、、みたいなイメージがあるのではないでしょうか。プレオルソ、T4Kは、取り外し可能な、大型のマウスピースのような装置です。
以下の文献でもその効果が示されています。
参考文献
Influence of Pre-Orthodontic Trainer treatment on the perioral and masticatory muscles in patients with Class II division(クラス2の患者に対してのT4Kを用いた歯並びの影響)Application of functional orthodontic appliances to treatment of “mandibular retrusion syndrome”
—Effective use of the TRAINER SystemTM— (Japanese Journal of Clinical Dentistry for Children, Volume 14, No.4, April 2009
年齢としては、だいたい6歳くらいから開始することが多いです。12歳まで(混合歯列期)装置の装着時間は、日中の1時間と就寝中になります。また、装置を装着するだけではなく、トレーニングをしてもらう必要があります。
具体的には
等のトレーニングです
お子様の歯並びについて、気になることがありましたらお気軽にご相談下さい。通常の小児矯正(咬合育形成)にも力を入れています。詳しくはこちらをご覧ください。
| 種類 | 説明 | 料金 |
|---|---|---|
![]() T4K |
トレーニングフォーキッズ。就寝時と、家にいる時間の中で1時間程度使用します。 |
※小児矯正治療費に含まれます 小児矯正治療 400,000円〜 (税込440,000円〜) |
![]() プレオルソ |
就寝時と、家にいる時間の中で1時間程度使用します。 | ※小児矯正治療費に含まれます 小児矯正治療 400,000円〜 (税込440,000円) |
※T4Kとプレオルソはトレーニング矯正装置になります。装置を装着するだけで小児の矯正治療が完了することは少ないため、小児矯正治療と合わせてご提供させていただいております。
この記事の編集・責任者は歯科医師の井津上卓也です。
歯科医師 井津上 卓也

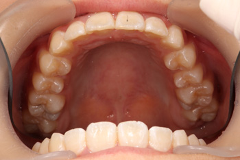
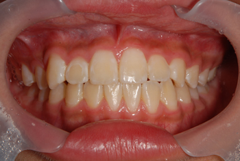
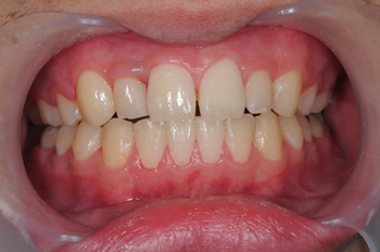
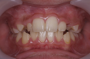
Before
After
| 治療の内容 | 歯列育形成によるお子様の叢生の歯並び治療。 |
|---|---|
| 期間・回数 | 2年・23回(カウンセリング・検査含む) |
| 費用 | 自由診療:歯列育形成 総額 500,000円(調整料35回分含む) 税込550,000円 |
| リスク・副作用 |
|
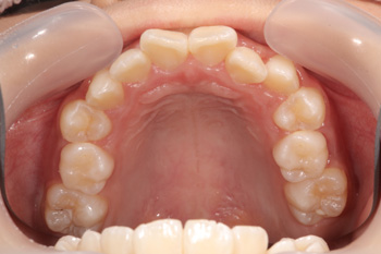
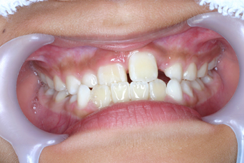
Before
After
| 治療の内容 | 歯列育形成による叢生の改善。 |
|---|---|
| 期間・回数 | 3年・35回(カウンセリング・検査含む) |
| 費用 | 自由診療:歯列育形成 総額 570,000円(調整料34回分含む) 税込627,000円 |
| リスク・副作用 |
|
Before
After
| 治療の内容 | 歯列育形成による叢生の改善。 |
|---|---|
| 期間・回数 | 4年・44回(カウンセリング・検査含む) |
| 費用 | 自由診療:歯列育形成 総額 610,000円(調整料42回分含む) 税込671,000円 |
| リスク・副作用 |
|
Before
After
| 治療の内容 | 歯列育形成による反対咬合の治療。 |
|---|---|
| 期間・回数 | 4年・42回(カウンセリング・検査含む) |
| 費用 | 自由診療:歯列育形成 総額 600,000円(調整料40回分含む) 税込66万円 |
| リスク・副作用 |
|
| 曜日 | 月 | 火 | 水 | 木 | 金 | 土 |
|---|---|---|---|---|---|---|
| 診療開始 | 9:30 | 9:30 | 9:30 | 9:30 | 9:30 | 9:30 |
| 診療終了 | 18:30 | 18:30 | 13:00 | 18:30 | 18:30 | 17:00 |
※日曜・祝日診療は右記診療カレンダーをご覧下さい。
| 日 | 月 | 火 | 水 | 木 | 金 | 土 | ||||||||||||||
|---|---|---|---|---|---|---|---|---|---|---|---|---|---|---|---|---|---|---|---|---|
| ||||||||||||||||||||
| ||||||||||||||||||||
| ||||||||||||||||||||
| ||||||||||||||||||||
| ||||||||||||||||||||
| ||||||||||||||||||||
休診日
日曜・祝日診療
13時迄
明石以外でもアップル歯科の治療を受けられます
明石・神戸周辺のアップル歯科