11歳から始めた小児矯正

HOME > 症例 > 11歳から始めた小児矯正

歯列育形成によるお子様の叢生の歯並び治療の症例

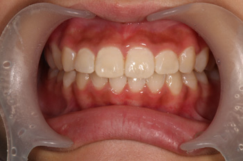
小さな頃から検診で通っていただいている患者様です。昔から歯の健康に気をつけておられましたが、歯並びについては悩んではおられるもののなかかな矯正には踏み出せずにおられました。 11歳になられてから、お母様から矯正についてのご相談があり、トリートメントコーディネーターからの説明を受けた後、矯正相談を希望されました。 11歳という年齢は、小児矯正(Ⅰ期矯正)を始めるには微妙な年齢ですが、矯正医の診断を受け、Ⅰ期矯正による咬合育形成という顎を拡げて歯を並べる矯正をスタートしました。

Before

装置は取り外しが可能な拡大装置という顎を広げる装置を使います。顎が広がった時点で、ブラケットにより歯並びの調節を行います。

After

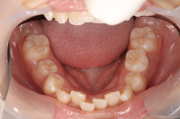
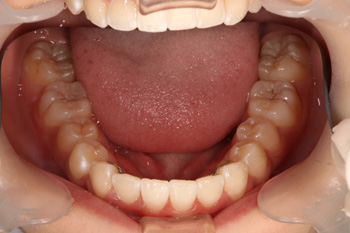
小児矯正と成人矯正の違いは、歯を並べるスペースを拡げて作るか抜いて作るかというところがあります(※成人後も抜歯無しで並べれる場合もあります)。大人になってからの矯正では外科手術以外顎の骨格を変えることはできませんのが、Ⅰ期矯正を行うことで歯を並べるスペースを確保し、抜歯せずに歯を並べることが可能となります。約2年で、歯を並べるスペースを確保し、きっちり歯も並びました。

Before

After

子どものうちの矯正は賛否両論ありますが、アップル歯科ではお子様によっては必要な場合があると考えています。もちろん、Ⅱ期矯正が必要になる方もおられますが、それでも7本の歯をしっかり並べられるチャンスがあり、それがお子様の歯の健康に結びつくのであれば保護者の方と相談して治療するかを決めていきます。中には成人するまで待ったほうが良いお子様もおられます。それらを判断するために、一般歯科医の診断の後、矯正医による診断・相談を行っています。 お子様の歯並び、将来のことを考えておられるようでしたら、まずはご相談にお越し下さい。治療が必要か、可能か、やるべきか否か、歯並びの専門家としっかり相談しながら一緒に考えましょう。

治療の内容 歯列育形成によるお子様の叢生の歯並び治療。
期間・回数 2年・23回(カウンセリング・検査含む)
費用 自由診療:歯列育形成 総額 580,000円(調整料36回分含む)税込701,800円
リスク・副作用
  • 歯磨きがわるい場合には、虫歯や歯肉炎が進行することがあります。
  • 顎関節が弱い方の場合、関節異常が出ることがあります。矯正治療中顎の関節に音がする、痛くなる、口が開きにくくなる、といったような症状が出た場合には直にお知らせください。その場合は顎関節症の治療をすることがあります。
  • 長期の矯正治療により歯根吸収が生じる恐れがあります。
  • 歯ぐきや歯槽骨が多少やせることがあります。そのため、術前の状態より歯肉が退縮し、隙間ができることがあります。
  • 体質により金属アレルギーを引き起こす事があります。
  • 治療後、知覚過敏や痛みなどが出たり、吸収された骨が再生しなくなることがあります。
  • 歯肉が退縮して歯が長く見えたり、歯と歯の隙間が広くなったりすることもあります。
タグ: ,

11歳から始めた小児矯正 | 公開日: 2018/08/01 | 更新日: 2026/02/26 | by 明石アップル歯科

このページの関連記事

明石市でかかりつけの
歯医者をお探しの方へ

スライドします
曜日
診療開始 9:30 9:30 9:30 9:30 9:30 9:30
診療終了 18:30 18:30 13:00 18:30 18:30 17:00

休診日・診療日について

※日曜・祝日診療は右記診療カレンダーをご覧下さい。

診療カレンダー

2026年 5月
26
27
28
29
30
1
2
3
4
5
6
7
8
9
10
11
12
13
14
15
16
17
18
19
20
21
22
23
24
25
26
27
28
29
30
31
1
2
3
4
5
6

休診日

日曜・祝日診療

13時迄

明石アップル歯科への
アクセス・地図

明石以外でもアップル歯科の治療を受けられます

明石・神戸周辺のアップル歯科

明石市歯科

明石アップル歯科

明石アップル歯科

明石市大久保町高丘3-3-1

加古川市歯科

加古川アップル歯科

加古川アップル歯科

加古川市平岡町土山909-33

神戸市中央区歯科

三宮アップル歯科

三宮アップル歯科

神戸市中央区琴ノ緒町5-2-2 三信ビル3F

尼崎市歯科

アップル歯科尼崎駅前

アップル歯科尼崎駅前

尼崎市長洲本通1-4-18 ヴィラレオーネ 1F

伊丹市歯科

アップル歯科伊丹駅前

アップル歯科伊丹駅前

兵庫県伊丹市西台1丁目1番1号 伊丹阪急駅ビル4階

大阪市北区 梅田歯科

梅田アップル歯科

梅田アップル歯科

大阪市北区芝田2-3-9 EXCEL UMEDA 2F

大阪市中央区 なんば歯科

なんばアップル歯科

なんばアップル歯科

大阪市中央区難波千日前15-15 BRAVE難波503

枚方市 くずは歯科

枚方くずはアップル歯科

枚方くずはアップル歯科

枚方市楠葉花園町14-1 京阪くずは駅ビル2F

京都河原町歯科

アップル歯科京都河原町

アップル歯科京都河原町

京都市下京区奈良物町364 中央四条ビル3階

福岡市六本松周辺の歯科

アップル歯科六本松

アップル歯科六本松

福岡市中央区六本松2丁目5番1号 THE GROVE 3階

友だち追加

Copyight© 2019 Apple Dental Clinic. All Right Reserved.

Page Top