メタルフリー治療(ノンメタル治療)

【新規の患者様】「歯の審美治療」予約の空き状況

その他の予約

お電話で予約 0120-952-118

希望日が ☓ でもお電話ではキャンセル枠や急患枠をご案内できる場合があります。

HOME > 自由診療 > メタルフリー治療(ノンメタル治療)

メタルフリー(ノンメタル)治療について

金属を使わない治療

お口の中にある金属は、時に見た目の弊害やアレルギーの原因となることがあります。

それらの原因となる金属を取り除き、ノンメタルの歯を入れることにより見た目を良くしたり、金属アレルギーによる症状を軽減できる可能性があります。

金属を用いた治療

金属を用いない医療

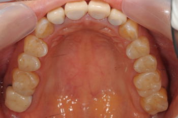
銀歯の除去と金属を使用しない補綴治療

治療の内容:銀の詰め物をセラミック13本をにやり変え、銀の被せ物(臼歯)を2本と前歯2本のやり変え
期間:1年4ヶ月
費用:1,128,600円(税込み)※自由診療
リスク:セラミックは陶材であるため、割れることがあります。

金属の害について

「金属アレルギー」といえば、多くの方が、発症頻度の高いピアスやネックレスによるアレルギーを連想されますが、ニッケル、クロム、コバルトなどはチョコレート、ココア、豆類、香辛料、貝類、胚芽などに多く含まれています。一方歯科金属はパラジウム、金、水銀、錫などを含有することが多く、時にニッケル、クロム、コバルトなども含むこともあります。これらの金属は皮膚、粘膜、腸管、気道の粘膜で吸収され、汗、乳汁、涙、尿そして糞便中に排泄されます。その金属が生体内に吸収されることにより、掌蹠膿疱症(手足に膿がでる病気)、汗疱状湿疹(手足に水ぶくれができる病気)、扁平苔癬(口の中にレース状の白色の苔のようなものや手背などに多角形の紫紅色のブツブツが出来る病気)、貨幣状湿疹(丸いジクジクした湿疹)、痒疹(虫刺されのようなものが全身にできる病気)、紅皮症(全身が真っ赤になる病気)などを発症もしくは増悪し、その摂取の制限により軽快することがあります。このような病気を全身性金属皮膚炎といいます。

以下の文献を参考に記しています:公益社団法人日本皮膚科学会 全身性金属皮膚炎(全身型金属アレルギー)はどのようなものですか?

金属アレルギーの症状
皮膚症状(アレルギー反応)
手足のかぶれ・シミ・シワ・肌荒れ・老化
ガルバニ電流
肩こり・ひざの痛み・頭痛・神経症状(水銀毒・重金属毒)・ うつ・立ちくらみ・不定愁訴・自律神経失調症
その他
癌・糖尿病・心筋梗塞など全身的な症状

アマルガムの現実

アマルガムの欠点は、1)金属色をしている、2)歯には接着しない、3)水銀が使用されることです。最近、歯の色をし、歯に接着し、水銀を使用しないプラスチックやセメントなど優秀な材料が、しかも改良を重ねて幅広く使用されています。したがって、当然ながらアマルガムの使用は、全世界的に減ってきているのが実情です。
参考文献:日本歯科保存学会 歯科用アマルガム(に含まれる水銀)に関する Q & A 集

歯の治療による金属アレルギー

金属の修復物による歯の治療時のご注意

歯科材料の金属によるアレルギーと回避方法

アレルギーとは、ある特定の物質に過敏に反応する状態で、免疫反応が関係するものをいいます。花粉症や、アトピー性皮膚炎などが代表的な例で、日本人の約3人に1人が何らかのアレルギーを持っているといわれています。そして歯医者で関係してくるのが金属アレルギーです。金属アレルギーは歯の詰め物や被せ物などに使われる合金が原因となるもので、主に皮膚にその症状は現れやすいと言われており、予備軍も含めその数は1,000万人にも上り、日本人の12人に1人が金属アレルギーを持っていることになります。

アレルギー自体の症状も問題ですが、もっと深刻な問題は、歯に金属を使われてからすぐに症状がでず、数年後アレルギーの症状が出始めることにあります。
歯の補綴物によって金属アレルギーになった場合、特に症状が出やすいのが「手」と言われており、これらの治療には皮膚科によるアレルギーパッチテスト(保険で約3000円前後、自由診療の場合1万円前後が平均的な費用です)で原因を特定した上で、金属を使わない「ノンメタル治療」が有効的です。

通常の状態

歯科金属によるアレルギー

金属の修復物による歯の治療時のご注意

保険治療で使用する金属 パラジウム合金
保険治療で使用が認められている銀色の金属です。
ニッケルクロム合金
パラジウムよりもアレルギーリスクが高い合金です。
アマルガム
ひと昔前の歯科治療で多く使われたアレルギーリスクの高い水銀です。
銀合金
銀のアレルギーは低いとされますが、合金にアレルゲンが含まれます。

金属製の詰め物・被せ物による見た目の影響

ノンメタル治療を行なうことで、メタルタトゥーという歯ぐきの黒ずみを防ぐことも可能です。さらにノンメタル治療はアレルゲンを排除し、天然の歯に近い治療をすることが可能です。

メタルタトゥー

金属アレルギーのパッチテストについて【医科歯科連携】

金属アレルギーかな?と思ったら

金属アレルギーの診断は歯科ではできません。パッチテストに関しましては、皮膚科等への受診が必要となります。アップル歯科クリニックでは、ノンメタル治療をご希望される患者様で、パッチテストをされておられない患者様には提携している皮膚科への紹介を行っております。メタルアレルギーの治療時は、今ある金属を口腔内で削る事もありますので、一時的にアレルギーの症状が強く出ることがあります。その際にも、皮膚科の受診・もしくは投薬が必要となりますので、かかりつけの皮膚科がない場合は、提携皮膚科をご紹介させていだきます。検査は皮膚科にて行って頂きます。

提携皮膚科

はる皮フ科クリニック
明石市大久保町ゆりのき通2丁目2-4 INUIゆりのき通BLD 2F
院長 森田 康先生

電車で行かれる場合
JR大久保駅より南へ徒歩3分
バスで行かれる場合
TACOバス 「ゆりのき通2丁目」下車すぐ
お車で行かれる場合
明姫幹線「明姫大久保」交差点北へすぐ
イオン明石【2番街】向かい
駐車場はイオン駐車場をご利用ください。

マップ

はる皮膚科の診療時間
午前/午後
午前9:30~12:30
午後16:30~19:30
  • ●は短縮 13:30~16:30
  • 診療受付
  • 午前診療  9:15~ 夜間診療 16:00~(土曜午後 13:15~)
  • 休診日 木曜午後、日曜・祝日
  • ホームページ http://www.haru-skinclinic.com/

ノンメタル治療のQ&A

ノンメタル治療に関するよくある質問

Q虫歯治療をしたら銀歯を入れないといけないと言われました。 銀歯を入れることに抵抗があるんですけど他に治療法はないのでしょうか?
A現行の保険制度では、虫歯を治療した後には銀歯かプラスチックでしか治療できないのが現状です。ただし、保険診療ではなく自由診療ですと、銀歯を使わずに治療できるようになります。セラミックと言われる材料を用いると、見た目が自分の歯に近い仕上がりの治療できます。
Q歯科で用いられる銀歯にはどのような成分が含まれているのですか?
A主なものは金、銀、銅、パラジウムとなっており、その他に銅や亜鉛、鉄、アルミニウム、インジウム、ゲルマニウムなどの様々な成分が含まれています。
Q銀歯を入れたら皮膚が赤くなりました。何か関係がありますか?
A歯科で使用される金属によって金属アレルギーを起こしてしまった可能性があります。歯科金属アレルギーの症状として、金属と触れている所に起こる皮膚や粘膜の炎症や痛み、もしくは口から離れた遠隔部位であっても、湿疹様反応や掌蹠膿疱症なとが起こる可能性があります。(※1)特に金属アレルギーが関わる可能性が高い病変として、扁平苔癬というものがあります。扁平苔癬とは、皮膚や粘膜にできる炎症をともなう難治性の病変です。お口の中では頬の粘膜に頻繁に認められますが、舌や唇にも生じます。白い粘膜の角化(かっか)がレース状にみられ、周囲に赤みを伴うのが特徴です。しばしば、びらんや潰瘍を形成し、接触痛を認めたり、食物がしみたりします。まれにがん化することもあります。正確な原因は不明とされていますが、歯科用の金属によるアレルギーが関与するとされているため、治療で使用された金属をとると症状が良くなることがあります。(※2)
ただし、これらの症状が必ず歯科用金属と結びついているとは限らないので、金属アレルギーの症状=必ず歯科用金属が原因、と決めつけずに検査をする必要があります。もし違うと、せっかく費用をかけて金属アレルギーの診断には、どの金属に対するアレルギー反応が出るのかを調べるパッチテストと言われる検査が必要です。皮膚科に受診すると行ってくれるところが多いです。
Qノンメタル治療のメリット、デメリットについて教えてください
A主なものとして

メリット

  • 金属アレルギーの心配がない
  • 見た目が自分の歯に近いものができる
  • セラミックの場合、自由診療になるため性能の良い接着剤を使える
  • セラミックの場合、熱と電気を通しにくいため刺激が伝わりにくい

デメリット

  • 金属に比べ、脆いため割れてしまうリスクがある
  • 自由診療のため、費用が高額になることが多い
などが挙げられます。

※1)歯科金属アレルギーは口腔内の金属補綴修復物に含まれる金属元素をアレルゲンとしてアレルギー反応が感作,惹起され,局所性,全身性の接触皮膚炎を病態とする疾患として理解されている

※2)歯科用金属によるアレルギーが疑われる場合は、原因と思われる充填物(つめもの)や冠(かぶせもの)を除去する必要があります。

明石市でかかりつけの歯医者を
お探しなら明石アップル歯科へ

スライドします
曜日
診療開始 9:30 9:30 9:30 9:30 9:30 9:30
診療終了 18:30 18:30 13:00 18:30 18:30 17:00

休診日:日曜・祝日

※日曜・祝日診療は右記診療カレンダーをご覧下さい。

診療カレンダー

2025年 11月
26
27
28
29
30
31
1
2
3
4
5
6
7
8
9
10
11
12
13
14
15
16
17
18
19
20
21
22
23
24
25
26
27
28
29
30
1
2
3
4
5
6

休診日

日曜・祝日診療

13時迄

明石アップル歯科への
アクセス・地図

明石以外でもアップル歯科の治療を受けられます

明石・神戸周辺のアップル歯科

明石市周辺の歯科

明石アップル歯科

明石アップル歯科

明石市大久保町高丘3-3-1

神戸市中央区周辺の歯科

三宮アップル歯科

三宮アップル歯科

神戸市中央区琴ノ緒町5-2-2 三信ビル3F

尼崎市周辺の歯科

アップル歯科尼崎駅前

アップル歯科尼崎駅前

尼崎市長洲本通1-4-18 ヴィラレオーネ 1F

伊丹市周辺の歯科

アップル歯科伊丹駅前

アップル歯科伊丹駅前

兵庫県伊丹市西台1丁目1番1号 伊丹阪急駅ビル4階

大阪市北区 梅田周辺の歯科

梅田アップル歯科

梅田アップル歯科

大阪市北区芝田2-3-9 EXCEL UMEDA 2F

大阪市中央区 なんば周辺の歯科

なんばアップル歯科

なんばアップル歯科

大阪市中央区難波千日前15-15 BRAVE難波503

枚方市 くずは周辺の歯科

枚方くずはアップル歯科

枚方くずはアップル歯科

枚方市楠葉花園町14-1 京阪くずは駅ビル2F

京都河原町周辺の歯科

アップル歯科京都河原町

アップル歯科京都河原町

京都市下京区奈良物町364 中央四条ビル3階

福岡市六本松周辺の歯科

アップル歯科六本松

アップル歯科六本松

福岡市中央区六本松2丁目5番1号 THE GROVE 3階

友だち追加

Copyight© 2019 Apple Dental Clinic. All Right Reserved.

Page Top