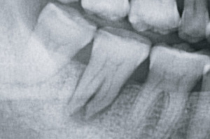
歯は通常、成人であれば28本(上下の親知らずを含めると32本)、上顎(あご)と下顎(あご)の歯が噛み合ってお互いの機能しています。理想的な咬み合わせは上顎1本に対し、下顎2本が咬み合う「一歯対二歯咬合」という状態です(図1)。
とはいえ、正常な咬合でなくても、必ずしも問題があるわけではありません。特に痛みや違和感を覚えず、日常生活に問題がなければ気にすることはありません。
しかし、咬み合わせの問題は年齢と共に現れたり、ある日突然症状が出てくることもあります。咬み合わせの治療は、その症状ごとに対応は異なってきます。
痛みや違和感に対し適切なアプローチをすることで、症状を抑えるだけでなくその原因を排除することを目的として行います。
日常生活の中で、お口の病気はむし歯や歯周病だけではありません。「何かおかしいな」と思ったらまずは歯科医師による診断を受けましょう。
図1:一歯対二歯咬合(理想的な臼歯の位置関係)
咬合性外傷は歯ぎしりや高さの合っていない歯の修復物などが原因となり、特定の歯に異常な力が加わり続けることによって起こる1次性咬合外傷と、歯周病により歯を支える骨が減少することで、通常の咀嚼程度でも受け止められなくなる二次性咬合性外傷の2つに分けれられます。
治療法はそれぞれの原因に応じて行う対処療法となり、1次性の場合は咬合調整や修復物の調整、やり直し、ナイトガード(マウスピース)による咬合力の緩和などを行っていきます。
二次性の場合は原因が歯周病となりますので、歯周病の治療を行い、状態を安定させるとともに、TBI(ブラッシング指導)によるセルフメインテナンスの見直しや、ナイトガードによる咬合力の緩和などを行っていきます。
一般的にはスプリントというマウスピースによる治療を行います。明らかに原因が不良補綴の場合は、補綴物の調整などを行います。スプリントによる顎関節症の治療は論文でも広く認められています。(※8)
咬合調整(歯を削って高さや咬み合わせを調節する)も行うことはありますが、一度削ると元には戻りませんので、初期治療での咬合調整は基本的には行わないことが多いです。
場合によっては開口訓練などのご提案も致します。
むし歯を繰り返すには原因があります。主に考えられるのは、不正咬合による清掃不良や歯の修復物の劣化による不適合、セルフメインテナンス不良などです。 このうち不正咬合が原因であれば、歯列矯正が有効な場合があります。その場合必要に応じて歯列矯正をご提案することもあります。
修復物の劣化も咬み合わせの強さによる影響が考えられます。これに関してはナイトガードやスプリントなどのマウスピースによる予防を行います。
咬み合わせが関わる歯周病としては、2次性の咬合性外傷が考えられます。また、咬み合わせにより歯の一部に大きな負担がかかり、歯周病を悪化させるおそれがあることも分かっています。そのため、歯周病の治療(スケーリングやSRPによる歯垢・歯石の除去)の他に、原因となった咬み合わせの状態を改善する治療を行います。
治療法は咬合の状態によって異なりますが、マウスピースや不良補綴のやり直し、咬合調整などが考えられます。
一般的にはスプリントというマウスピースによる治療を行います。明らかに原因が不良補綴の場合は、補綴物の調整などを行います。スプリントによる顎関節症の治療は論文でも広く認められています。(※8)
咬合調整(歯を削って高さや咬み合わせを調節する)も行うことはありますが、一度削ると元には戻りませんので、初期治療での咬合調整は基本的には行わないことが多いです。
場合によっては開口訓練などのご提案も致します。
むし歯の治療が正常に行われていても、咬合力の強さにより、修復物が変形したり脱離(取れる)することもあります。この場合、修復物の高さを調整したり、修復物の材料・形状を見直す必要があります。脱離や変形、破損を放置していまうと、その場所は特に虫歯菌が溜まりやすい巣窟となり、二次カリエスの原因となります。
むし歯を繰り返すとその都度歯を削る必要があり、どんどん歯質を失ってしまい、最終的には抜歯へと向かう負のループを招いてしまいます。また、むし歯になるのは修復物をしていた歯意外の歯にも大いに可能性がありますので、取れたり・割れたり、隙間を感じたらすぐに歯科に事が大切です。
治療法は咬合の状態によって異なりますが、マウスピースや不良補綴のやり直し、咬合調整などが考えられます。
咬み合わせに関連して起こるのが肩こり・頭痛・めまい・イライラなどの症状です【参考文献】(咬合と全身の機能との関係)。
これは顎の筋肉とつながっている筋肉や、それらをかばおうとして起こる筋肉の緊張、噛み締めによるバランスなどが考えられます。歯科ではこれらの咬合関連症の治療を目的とした治療はできません。しかし、咬み合わせの問題を解決することで、偶発的にこれらが改善することは論文などでも確認されています。
肩こりや頭痛が続いてお悩みの方、歯切りしや強い食いしばりはありませんか?咬み合わせをスプリント等で治療することでそれらの悩みが改善される可能性はあります。(※9)
参考文献
※1
※2
※3
※4
※5
※6
※7
※8)スプリントを装着により, 咬合不正者におけるタッピングポイントの『ばらつき』を減少させる傾向が示唆された。
※9)スプリントを装着することによって右回旋であった姿勢が左に旋回して正しい姿勢になった。また、スプリントの装着によって月経困難も回復し、背筋痛や腰痛の再発も認められず、安眠できるようになった
睡眠中「ギリギリ」と不快な音を出してしまう人といえば、頭に浮かぶ人もいるのではないでしょうか?この「ギリギリ」を歯科ではブラキシズムと言い、歯を悪くする原因の一つでもあります。
実はこのブラキシズム、就寝中のみと考えている人も多いようですが、日中も日常的に起こっているケースがあります。歯牙接触癖(Tooth Contacting Habit)と言い、睡眠中の歯ぎしりと同じく、歯を噛みしめることにより歯や歯を支える骨にダメージを与えています。
通常、起きているときは上下の歯は当たっていない状態が正常です。食事や発声のとき以外に歯が当たっていると感じたら、ブラキシズムかもしれません。一度歯や歯肉、歯を支える骨に問題がないか、歯科で見てもらいましょう。
就寝中の歯ぎしりの原因は、実は現在のところ解明されていません。今の所原因として考えられているのが、ストレス・遺伝・飲酒・喫煙・カフェイン・薬の服用などです。ストレスに置いては、「就職面接」「親子喧嘩」「急ぎの仕事」をしているときはブラキシズムが強く起き、「ハワイで休暇」を送っているときはブラキシズムの発生が弱かったという実験データがあります(※1)。
このことから、ストレスがブラキシズムに関わっていることが考えられます。とはいえ、原因がはっきりわかっていない以上、根治療法(悪くなった原因から取り除く治療)は難しいと言えますが、歯科ではその対処療法を行うことで、ブラキシズムから歯やその周りの組織を守る治療を行います。
※1)感情的要因(不安、恐怖、欲求不満、怒りなど)は、筋緊張と口癖を誘発するという点で、TMJ障害の病因に重要な役割を果たします。
歯ぎしりが強い人は、「ギリギリ」という不快な音を出してしまうだけでなく、自身の歯や身体にも影響を及ぼすことがあります。
歯ぎしりや食いしばる力によって、歯、や歯ぐき、歯を支えている骨、顎の関節を負傷する、咬み合わせによる外傷を負う可能性が高くなります。毎晩の歯ぎしりにより、特に失活歯(神経を抜いた歯)などがあれば、その応力によって破折(歯の根にヒビが入る状態)する可能性があります。破折すると多くの場合抜歯せざるを得なくなります。
歯の修復物は、金属やセラミックが利用されています。銀歯の場合、その硬さから噛み合う歯を傷めたり、繰り返す歯ぎしりによりズレが生じて、不良補綴となり二次カリエスの原因となることがあります。セラミックの場合は金属に比べて硬さはないため、噛み合う歯への影響は少ないものの、歯ぎしりや食いしばる力により割れたりかけたりすることがあります。
歯ぎしりによってギリギリと上下左右に歯をこすり続けると、歯の表面の組織であるエナメル質が減っていきます。エナメル質がなくなると中には象牙質・歯髄という柔らかい部分が露出し始め、冷たい飲み物や甘い物、歯ブラシ等の刺激によりしみたり痛みを感じることがあります。
歯ぎしりには歯を横方向にギリギリと擦り合わせるグライディングと、上下の歯を噛みしめるクレンチングがあります。これらを繰り返すことで歯質は徐々にすり減ってしまい、最終的には露髄といって神経が露出してしまい痛みを伴うことにもなり得ます。
また、すり減りだけではなく時には欠けたり歯冠にヒビが入ったり、そこからむし歯になりおそれもあります。歯に入った亀裂はむし歯・歯の審美障害・歯の破折・歯髄疾患などのさまざまな症状を誘発するおそれがあることが分かっています(※2)。「歯が小さくなった」「欠けた」「ヒビのようなものがある」と感じたら早めの受診をお薦めします。
歯ぎしりは顎を上下・左右に動かす動作を繰り返します。その動作は無意識であっても筋肉を使っています。人が寝ているときの咬合力は、50kg〜100kgと言われており、ある研究では覚醒時思い切り噛む力の116%に相当するという結果も出ています。つまり、それだけの力を顎の筋肉が発揮しているということです。顎の筋肉は、肩や腰の筋肉にも干渉し、それが原因で肩こりや頭痛に関係することが分かっています。また、筋肉を毎日繰り返し使っていると、身体は筋肉質になるように、顎もそれによりエラが張ったり、口の中に骨隆起という力こぶができたりします。
加えて高齢者では亀裂が破折に進展したと思われる例もみられたが(図1F),これは亀裂線の拡大による歯質の弱体化,唾液分泌の減少による口腔乾燥環境の形成,多数歯欠損による残存歯への咬合力の集中などさまざまな影響を原因とするものであろう
歯根破折とは、歯の根にヒビが入ったり、割れたりする重症化した咬合性外傷の症状です。
歯根破折は外傷(ケガ)でも起こり得ますが、咬合力による歯根破折についての実験的研究の結果(※1)によると、繰り返しの応力による疲労破壊が原因と考えられています。
これは永年の咬合力によって小さな亀裂が生まれ、ストレスの蓄積により破折することが多いということです。ですから、年を老えば老うほど破折のリスクは高くなることが言えます。
歯根破折の原因は、前述した通り咬合力と応力の蓄積によるものであると考えられますが、正常な咬み合わせや咬合力では起こることはありません。しかし以下の条件が重なると破折しやすくなります。
特に神経を失った歯は天然歯のようなしなりが効かなくなり、上や横からの力に対する耐久力が落ちるため、食いしばりや歯ぎしりなどのストレスにより疲労し、最終的に破折する可能性は高くなります。
歯根破折を起こしてしまうと、どのような治療を行なっても予後が悪いため、抜歯の診断を下す場合がほとんどです。ショックを受ける患者様も多く、『抜けるまでそのまま使いたい』という方もおられますが、そのまま放置していると、顎の骨を溶かしたり隣の歯に悪影響など更に多くの歯を悪くしたり失う原因となってしまいます。そのため、残念ではありますが、「インプラント」「ブリッジ」「義歯(入れ歯)」の3つから、抜歯後の治療を検討していただく必要があります。
破折の可能性のある歯の周辺の歯肉が、歯周病のように腫れたりブヨブヨになることがあります。
サイナストラクトというポツリとしたでき物が出来ることがあります。このでき物は膿の出口のようなもので、歯肉の内部で何かが起こっているサインとして読み取れます。フィステルは歯根嚢胞の際にも出現します。
差し歯がグラグラし始めれば、破折を疑います。また、何度着け直しても取れる差し歯は歯の根が割れて広がったため、土台が抜けてしまった可能性があります。取れた差し歯に金属の棒などが付いていたら、破折の可能性は更に高まります。
残念ながら、歯根破折と診断された場合、ほとんどのケースが抜歯となります。もちろん100%ではありません。しかし、大多数の場合その歯を救うことができないというのが現状です。
中には、治療が可能な場合もあります。「歯の根の上部のみ破折している」「破折線が短い」などという例です。保存できる破折とできない破折については、こちらに詳しく説明しておりますので参考にしてください。 歯の根が割れたら治せない?歯根破折の症状と治療
WEBサイトなどでは、破折に対し「接着最植術」という、歯を意図的に抜いて接着剤で結合し、戻すという治療も散見しますが、こちらは早期に抜歯になるリスクや適合条件の厳しさ、失敗した場合の患者様の負担を考え、当院では積極的に行うことはありません。
就寝中、食いしばりや歯ぎしりによる歯にかかるストレスを減らし、歯のすり減りも予防します。また、歯と歯の間の緩衝材のような効果も期待でき、顎関節への負担も減らします。
不良補綴(合っていない詰め物や被せ物)があれば作り変えや調整を行う必要があります。欠損がある場合は咬み合わせを考えた欠損補綴、不正咬合が原因の場合は矯正治療で咬み合わせを整えることも選択肢の一つとなります。
失活歯(歯の神経を抜いた歯)の場合、土台(コア)にファイバーコアなどの柔軟性のあるものを選ぶことで歯に優しく、破折リスクの軽減が期待できます。
※1)参考文献
上顎と下顎に何本か歯か残っているにも関わらず、自分の歯で咬むところがなくなってしまい、バランスの悪くなってしまった状態をすれ違い咬合といいます。
すれ違い咬合になってしまうと、「どんな治療をしてもどんどん悪くなる」「顔が歪んだように変形してしまう」「背筋が歪み、姿勢が悪くなる」等の深刻な症状が現れるという特徴があります。たとえば、上顎は右側の歯が、下顎は左側の歯のみ存在していればかむところは無し、すなわちすれ違い咬合ということになります。「欠損歯列の評価とリスク予測(※1)」という論文の中では『重症 な欠損歯列とは従来からいわゆる「すれ違い咬合」症例 と言われている』と記しています。つまり、歯を失った「欠損歯列」の中でも重症であるということになります。
同時に、歯科医師に対して『二歩三歩手前で可能な限りさ らなる重症化への流れを止めることが求められる』ともあり、すれ違い咬合による機能不全を起こす前に治療を開始する必要のある咬み合わせと言えます。
すれ違い咬合の主な原因は前述した通り歯を失ったことに起因します。状態としては上は「右側だけ歯がなく、下は右側の歯が残っている」、あるいは「上は左側だけ歯がなく右側だけ歯がなくなっている」場合、もちろんその左右前後対象も同じです。
片側だけ歯が残っている状態で入れ歯をした場合、入れ歯と自然の歯が咬み合うと、自然の歯の力の方が強くなります。また、自然の歯が咬み合っている部分はその部分に集中的に咬合力がかかり、ダメージが蓄積していきます。
それらが原因で、入れ歯がすぐに合わなくなったり、咬合平面という咬み合っている部分が削れて不安定になったり、「顎堤」という残された歯槽骨と粘膜によって形成される堤状の高まりの部分が異常に吸収され顎や顔が歪みはじめ、その影響で姿勢やバランスを悪くすることもあります。
すれ違い咬合を放っておくと、自然の歯と咬み合っている部分の歯肉と下の骨がどんどん吸収され、顎が薄くなっていき、顔つきが変わってきます。
さらに、残っている歯も咬み合う歯がないので、支えを失いもろく抜けやすくなります。
また、すれ違い咬合のほとんどが難症例となるため、放っておけばおくほど治療が困難になっていきます。
論文(※1)によると、『欠損歯列は長い時間軸でみると継続的に無歯顎方向に進行する』とあります。つまり時間の経過とともにすべての歯を失っていく過程を辿っているということになります。
その対策として『現在の問題解決』と『将来歯列を重症化させない対策』を考える必要があるということです。
まずは義歯やインプラントなどの治療により、これ医異常悪化しない咬み合わせにすることで、将来的に全ての歯を失うことを阻止する対策となります。すれ違い咬合の場合、通常の義歯では対処できない場合が多く、周りの歯に影響を与えず、単体で歯を支えるインプラント治療は有効な治療法と言えます。
※1)欠損歯列は長い時間軸でみると継続的に無歯顎方向に進行する
ただし、前述したとおり、すれ違い咬合のほとんどは難症例とされており、咬み合せを整えるよう考えられた治療計画が最も重要となってきます。
インプラントは咬み合せによっては天然歯を破壊してしまう場合も、その逆の天然歯によりダツリしてしまう場合も考えられます。また、磨り減ってしまった骨にそのままインプラントを埋入することもできなくなるので、早めの治療が大切です。
治療にはなるべく早目のアプローチと、重症化させないための治療計画を考える必要があります。歯が抜けて、顎や自分の顔に少しでも違和感を感じたら、お早めにご相談ください。
当院ではiTeroという光学式カメラを利用した印象採得を行っています。iTeroはレーザー等により口腔内を直接計測し、咬み合わせや歯の形状、歯並びを立体的にデータとして読み込む装置です。これまでは歯を作るために「模型」を作ることで歯科技工士がそれに合わせて歯を作ってきましたが、光学式カメラによる印象採得を行うことで、DATA上で歯を作り、3Dプリンターやミリングマシンで歯を削り出すことが出来るようになりました。また、撮影したDATAから歯石や咬み合わせの不調、歯の磨り減りなども確認することができますので、お口の中の検診にも応用できる口腔内スキャナーです。
前述したようにiTeroはレーザー等により口腔内を直接計測し、咬み合わせや歯の形状、歯並びを立体的にデータとして読み込むため最も大きな特徴としては「模型を作る必要がない」という点があげられます。つまり、模型を作るための印象採得(印象材というゴムのような材料を噛んで歯型を取る作業)の代わりになるということです。印象採得は独特の匂いや嘔吐反射などにより、苦手な方にとっては嬉しい装置と言えます。
そしてもう一つの特徴は、読み取ったDATAを元に、マウスピース型矯正装置による歯並び矯正の治療予測ができるという特徴です。現在のところ、当院では実際に歯を作ることに関しては治療精度の問題から運用を行っていませんが、矯正に関しては撮影したDATAから治療のシミュレーション、治療計画、矯正用マウスピースの作成まで一連の作業をこのiTeroを使って運用することが可能となっています。
自分のお口の中の状況がどんな状態なのか、例えば矯正治療をすればどうなるのか自身の目で確認したいという方、お気軽にスタッフまでお声掛けください。
当院が導入しているiTero element 5Dは、口腔内をスキャンするだけでなく、近赤外光画像技術を用いて歯の内部を視覚化することが可能です。
つまり、発見が難しい隣接面のむし歯や歯の内側に広がるむし歯をレントゲンのように放射線を使わず見つけることも出来るということです。また、内蔵の口腔内カメラによる口腔内カラー写真はリアルタイムの歯の状態をモニターに写すだけではなく、取り残した歯石を患者様本人も目で確認することが出来ます。これらの機能を定期検診で使うことにより、定期検診によってこれまで見つからなかった問題や疾患を早期に発見することが出来ます。
iTero element 5Dの一つである咬合クリアランスツールを使えば、歯のどの部分が噛み合い、すり減っているのかを分析することが可能です。それらの分析結果はクラウド上に保存され、定期検診で毎回このiTeroによる撮影を行うことで、経時的にお口の状態がどうなっているのかを確認することができます。
例えば3ヶ月ごとに撮影した画像でこのタイプラプラス機能を使えば、3ヶ月でどれだけ歯がすり減ったのか、またどの程度歯肉が退縮したのかなども視覚的に見ることができるということです。口腔内スキャナーは歯型を取るだけのものではなく、様々な機能でお口の健康をサポートしてくれます。
歯列矯正を行う場合の撮影から矯正スタートまでの流れ

STEP1
光学式カメラで口腔内を撮影します。約10〜15分の撮影時間でスキャンができますので、治療や検診の合間を使ってスキャンすることが可能です。

STEP2
歯列矯正前と歯列矯正後の予測データをすぐに確認することが可能です。どのように歯が動くのか、その場で確認することができます。

STEP3
歯列矯正のカウンセリングを受けていただきます。当院では月に1〜2回、日本矯正歯科学会認定医による矯正相談を実施しております。専門的な知識を基にをご提案させていただきます。

STEP4
iTeroでスキャンしたデータで治療計画を立て、クリンチェックで確認をすればマウスピースの作成が始まります。マウスピースが出来上がった時点から矯正スタートとなります。
コスト・期間等
| 種類 | 説明 | 料金 |
|---|---|---|
![]() インビザラインGo |
透明のマウスピース型の部分矯正装置です。目立ちにくく、脱着可能なワイヤーのない矯正装置です。 期間:半年〜1年 |
税込440,000円~ (来院毎の調整料含む) |
![]() インビザライン |
透明のマウスピース型の矯正装置です。目立ちにくく、脱着可能なワイヤーのない矯正装置です。 期間:半年〜1年 |
税込880,000円~ (来院毎の調整料含む) |
![]() iTero診断 |
口腔内をカメラで撮影することで、歯並びや噛み合わせを3次元データで読み取ることができます。 撮影時間:10分〜15分 |
0円 (撮影は無料です) |
顎関節症(がくかんせつしょう)はむし歯、歯周病に次ぐ第3の歯科疾患と言われ、学校歯科検診にも取り入れられているメジャーな疾患です。 顎関節症という疾患が有名になったのは、1956年以来。病気として認知されたのはむし歯や歯周病に比べれば近年の話です。そのため、顎(あご)に痛みや違和感を感じた際、どこに通院すれば良いのか悩む方もおられますが、概ね「歯科口腔外科」「歯科」での通院で結構です。 一般歯科での治療が困難であれば大学病院への紹介となりますので、かかりつけの歯科での相談で大丈夫ですが、標榜に「歯科口腔外科」と掲げていたり、歯科口腔外科出身の歯科医師のいる歯科医院の方が、顎関節に対する知識は豊富なこともあります。
たとえレントゲンで、顎関節の形態が認められても上記症状を有しない場合は顎関節症とは診断できません。(※1)
※1)顎関節症は,顎関節や咀嚼筋の疼痛,関節(雑)音,開口障害ないし顎運動異常を主要症候とする障害の包括的診断名である。その病態は咀嚼筋痛障害,顎関節痛障害,顎関節円板障害および変形性顎関節症である
以下の部分の開閉口時のお痛みが多いです。
当院での治療ではスプリントを使った治療がメインとなりますが、お痛みへの対処・原因除去のためのアプローチとして投薬治療や生活指導を行います。

4個以上チェックのある方は要注意です。ご心配な方は一度ご相談ください。
この記事の編集・責任者は歯科医師の井津上卓也です。
歯科医師 井津上 卓也

ボトックスとはボツリヌス菌によって産出されるA型ボツリヌス毒素(天然のタンパク質)を有効成分とする薬剤です。
毒素と聞くと不安になる方もおられますが、薬剤として使用するためにボツリヌス菌を精製して毒性を制御して使用しますのでご安心ください。
また、ボツリヌス菌を注射するわけではないため、ボツリヌス菌に感染するといった危険性もありません。
咬筋ボツリヌス治療は、ボツリヌス菌が作り出す天然のタンパク質であるボトックスを、緊張した筋肉に打つことで緊張した筋肉を和らげる効果が期待でき、歯科治療では食いしばりや歯ぎしりなどの改善目的に使用されています。
ボトックスには筋肉の緊張を緩和させる作用があります。
咬筋へボトックスを注入することで、歯ぎしりや食いしばりによる筋肉の動きを緩め、それらの症状の改善が期待できます。
歯ぎしりや食いしばりは、歯へダメージを与え、歯をすり減らし、知覚過敏や破折(歯が欠けたり、折れたりすること)のリスクがあるだけでなく、顎関節症を引き起こす可能性もあります。
このように、様々なデメリットが多い食いしばりや歯ぎしりは、ストレスなどが原因で起こると言われているため、無意識にしてしまう癖であり、根本的に治すことは難しいです。
そこで、ボトックスを用いて咬筋を緩め、力が伝わりにくい状態にすることで、歯ぎしりや食いしばりによるダメージを緩和させるという対処を行うというわけです。
前述したように、咬筋ボツリヌス治療は、ボトックスを咬筋といわれる筋肉に注射を打つ治療です。
咬筋とは、歯を食いしばった時に、顎の外側で硬くなる筋肉を指します。
咬筋は、硬い食べ物を噛み砕いたり、会話するための役割があり、私達の生活には欠かせない重要な筋肉です。
そのため、ボトックスによって咬筋を緩めると日常生活に支障をきたすのでは?と不安がられるかもしれませんが、 薬剤は必要量を遵守することはもちろん、きちんと安全が確認できた上で治療を行いますのでご安心ください。
基本的にボトックスは麻酔なしで施術を行います。
麻酔をしないため、痛そうなイメージを持たれるかもしれませんが、 実際は、注射する際にチクッとした痛みと、薬剤が入る感覚はあるものの、痛みはほとんどなかったという方もいます。
また、咬筋ボトックス(ボツリヌス)治療で用いる注射針は極細であるため、より痛みを感じにくくできるかと思われます。
もちろん、痛みには個人差がありますので、完全に痛みがないとは言い切れませんが、できる限り痛みを抑えるための配慮はいたします。
自由診療(保険適用はありません。)
1回30,000円(税込33,000円)
ボトックスによる効果は目安として4日〜2週間程度で現れることが多いです。
ただし、ボトックスの効果は永遠に続くものではなく、 およそ3〜4ヶ月持続し、時間の経過とともに徐々に効果が薄れていき、やがて神経の働きが注射前の状態に戻るため、継続的に治療を行う必要があります。
個人差はありますが、施術後に多少の赤みや腫れが見られる場合、1〜2日で治まることが多く、 稀に腫れが強くでたり、内出血が起こりますが1〜2週間で落ち着きます。
また、一時的に、ボトックスを打った部分の周りに、かゆみ、注射部疼痛、筋痛、発疹といった症状が起こることがあります。
妊娠中および授乳中の方は、安全性が認められていないため、咬筋ボツリヌス治療はできません。
また、過去にボトックスを使用したことで、アレルギー反応が起こった方や、もともとアレルギー体質である方は事前にお伝え下さい。
下記にあてはまる方は、事前に歯科医師に申し出てください。
一般的にボトックスは、お顔のエラ改善や、小顔効果といった美容目的で使用されるイメージを持たれている方が多いかと思いますが、 歯科で行う咬筋ボツリヌス治療は、ボトックスを用いて食いしばりや歯ぎしりによる歯の負担を軽減することを目的とした施術です。
歯ぎしりや食いしばりが何年も続くと、歯や顎に異常が現れ、いずれは全身にも影響を及ぼすこともあります。
気になる方はぜひ一度検査にお越しください。咬筋ボツリヌス治療以外の治療方法も含めて、患者様に合った治療をご提案します。
この記事の編集・責任者は歯科医師の井津上卓也です。
歯科医師 井津上 卓也

| 種類 | 説明 | 料金 |
|---|---|---|
![]() 咬合治療 通常症例 |
診断・精密検査を行い、スプリントという装着物(マウスピース)により痛み・炎症の原因の緩和や顎位の調整を行います。 リスク・副作用 |
50,000円 税込55,000円 |
![]() 咬合治療 難症例 |
診断・精密検査を行い、スプリントという装着物(マウスピース)により痛み・炎症の原因の緩和や顎位の調整を行います。難症例と判断された場合、通常より精密に、処置を進めていきます。 リスク・副作用 |
100,000円 税込110,000円 |
![]() 調整料 |
スプリントの調整や経過監察、顎位・咬み合わせの高さ調整などを行います。 | 1回/5,000円 税込5,500円 |
※1)観測された睡眠時咬合力の最大値は81.2kgfであった.またこの値は,被験者の覚醒時における最大随意咬合力の111.6%に相当していた.
| 曜日 | 月 | 火 | 水 | 木 | 金 | 土 |
|---|---|---|---|---|---|---|
| 診療開始 | 9:30 | 9:30 | 9:30 | 9:30 | 9:30 | 9:30 |
| 診療終了 | 18:30 | 18:30 | 13:00 | 18:30 | 18:30 | 17:00 |
※日曜・祝日診療は右記診療カレンダーをご覧下さい。
| 日 | 月 | 火 | 水 | 木 | 金 | 土 | ||||||||||||||
|---|---|---|---|---|---|---|---|---|---|---|---|---|---|---|---|---|---|---|---|---|
| ||||||||||||||||||||
| ||||||||||||||||||||
| ||||||||||||||||||||
| ||||||||||||||||||||
| ||||||||||||||||||||
| ||||||||||||||||||||
休診日
日曜・祝日診療
13時迄
明石以外でもアップル歯科の治療を受けられます
明石・神戸周辺のアップル歯科