症例

HOME > 症例

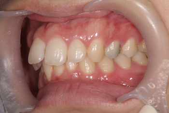
軽度口ゴボ(上顎前突)と叢生のインビザラインGoによる部分矯正

前歯部叢生の方のインビザラインGOによる部分矯正

口元が少し出ているのと、前歯の咬み合わせが気になりご相談に来られた患者様です。小さい頃から欠かさずに定期検診に来られていた患者様で、歯垢も少なくむし歯もないのですぐに矯正治療を始める予定でしたが、転んでしまい歯が少し動揺していましたので、落ち着いてからの進行となりました。

Before

今回はインビザラインGoによる部分矯正とマルチブラケット装置による全体矯正、インビザラインによるマウスピース全体矯正を提案させていただきました。患者様のご要望とカウンセリングにてお話させていただいたそれぞれのメリットやデメリットから考えていただき、今回はインビザラインGoでの治療を選択されました。

Simulation Before

Simulation After

マウスピースによる矯正治療の場合はご自身で行なっていただくホームホワイトニングを同時に進行することが可能です。整った歯並びを手に入れるのと同時に歯の色をキレイにできるホワイトニングをご希望される方も多くいらっしゃいます。ご希望があれば気軽にご相談ください。

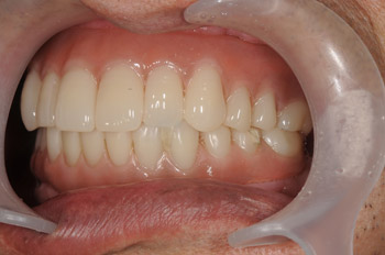
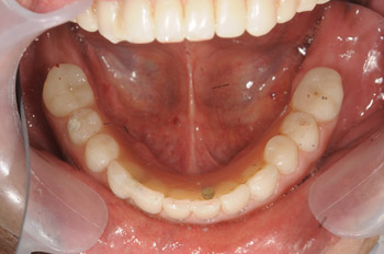
After

Before

After

インビザラインGoによる部分矯正が終了しました。マウスピース矯正装置は治療の前後をシミュレーションすることが可能です。実際に治療をしたらどんな歯並びになるんだろうと興味がありましたら気軽にお声がけください。当日すぐに口腔内スキャナーで撮影させていただければすぐに確認することが可能です。

今後は後戻りしないように、後戻り防止のリテーナーをつけ、今まで通り定期検診に通っていただき整った咬み合わせときれいな口腔内を維持していただけるように努めていきます。

治療の内容 マウスピース型矯正装置(インビザラインGo)による部分矯正とホームホワイトニングの治療
期間・回数 10ヶ月・9回(カウンセリング・検査含む)
費用 自由診療:マウスピース型矯正装置(部分矯正)+ホームホワイトニング 総額 400,000円(税込 440,000円)
リスク・副作用
  • 1日当りの所定の製品装着時間が守られない場合、製品が担当医師の指示通りに使用されない場合、アポイントメントが守られない場合、および/もしくは特殊な形状の歯が存在する場合については、望まれる治療結果の実現性に影響を与える場合があります。
  • 次のステージのアライナーに交換した後に、歯の圧痛を経験する場合があります。
  • 歯肉、頬及び唇に、製品による擦り傷または痛みが生じる場合があります。
  • 製品は一時的に発音に影響を与える場合があり、結果として舌のもつれを生ずる場合がありますが、製品に関連した発話障害は、通常1週間から2週間以内で軽減します。
  • 歯の移動を可能とするための空隙を創り出すため、歯の削合が必要となる場合があります。
  • 長期間にわたって重なっていた歯は、歯間接触下部の歯肉組織が失われている場合があり、歯列矯正を行うことで、「ブラックトライアングル」が発生する可能性があります。
  • 稀に、歯の寿命を縮める場合があり、歯内治療および/もしくは追加的な補綴修復処置等の追加的な歯科治療が必要となる可能性、および、歯が失われる可能性があります。 また、過去に歯の損傷があった場合、または大規模な補綴修復処置がなされていた場合、さらに悪化する可能性があります。
  • 稀に、顎関節に問題が生じる場合があり、それによって関節痛、頭痛または耳の障害が生じる場合があります。

前歯の捻転が気になる方のマウスピース部分矯正

歯のねじれが気になる方のインビザラインGoによる治療

前歯がねじれているのと、黄ばみが気になりご相談に来られた患者様です。矯正治療が必要なのかな?と思っていたようですが、どんな治療でどんな器具をつけるかわからないということでした。まずは精密検査をして診断をしていきました。

Before

インビザラインGoによるマウスピース部分矯正、マルチブラケット装置による部分矯正、前突感も気になるとのことでしたが、こちらは歯が並ぶスペースが足りず抜歯を伴う歯列矯正で全体的に咬み合わせ整える治療が必要でした。この3つを提案させていただきました。今回はインビザラインGoによる治療を選択されました。

Simulation Before

Simulation After

歯の黄ばみも気になるとのことでしたので、ホワイトニングのご提案もさせていただきました。マウスピースによる矯正治療の場合には矯正治療と同時進行でホームホワイトニングが可能です。今回は矯正治療終了後にもう一度考えるとのことでしたが、ご希望がありましたら適応できない歯もございますのでお気軽にご相談ください。

After

マウスピース矯正の期間と装着枚数が終了しましたが、少し動きが足りず追加の新しいマウスピースで半年間継続していきました。人それぞれ歯の動く量が違いますし、つける時間も変わってきますので工程が追加される可能性もありますが、歯科医師の指示通りに装着していただいてましたら、新しいマウスピースも費用は変わらず進行できます。

Before

After

矯正治療が完了しても動いた歯が安定するまでは元に戻る力が働いてしまいますので、リテーナーを装着していただきます。この整った口腔内環境を永く維持していけるように欠かさずリテーナーを装着し、定期的なプロのメインテナンスもきていただけるように、担当医として努めていきます。

治療の内容 マウスピース型矯正装置(インビザラインGo)による部分矯正による治療
期間・回数 1年4ヶ月・19回(カウンセリング・検査含む)
費用 自由診療:マウスピース型矯正装置(部分矯正) 総額 400,000円(税込 440,000円)
リスク・副作用
  • 1日当りの所定の製品装着時間が守られない場合、製品が担当医師の指示通りに使用されない場合、アポイントメントが守られない場合、および/もしくは特殊な形状の歯が存在する場合については、望まれる治療結果の実現性に影響を与える場合があります。
  • 次のステージのアライナーに交換した後に、歯の圧痛を経験する場合があります。
  • 歯肉、頬及び唇に、製品による擦り傷または痛みが生じる場合があります。
  • 製品は一時的に発音に影響を与える場合があり、結果として舌のもつれを生ずる場合がありますが、製品に関連した発話障害は、通常1週間から2週間以内で軽減します。
  • 歯の移動を可能とするための空隙を創り出すため、歯の削合が必要となる場合があります。
  • 長期間にわたって重なっていた歯は、歯間接触下部の歯肉組織が失われている場合があり、歯列矯正を行うことで、「ブラックトライアングル」が発生する可能性があります。
  • 稀に、歯の寿命を縮める場合があり、歯内治療および/もしくは追加的な補綴修復処置等の追加的な歯科治療が必要となる可能性、および、歯が失われる可能性があります。 また、過去に歯の損傷があった場合、または大規模な補綴修復処置がなされていた場合、さらに悪化する可能性があります。
  • 稀に、顎関節に問題が生じる場合があり、それによって関節痛、頭痛または耳の障害が生じる場合があります。

インビザラインGOによる前歯のデコボコ治療

前歯部叢生の方のインビザラインGOによる部分矯正

インビザラインに興味がありご来院された患者様です。まずはCTやパノラマ、iTeroにて精密資料取りを行っていきました。

Before

インビザラインGoによる部分矯正の適応範囲では下顎の歯が並ぶスペースの確保やクロスバイトという上下の歯の重なりが逆になっている不正咬合があるため判断の難しい症例ではありましたが、精密資料撮りによる診断や矯正専門医との連携診断、患者様のご希望も踏まえ、追加の歯列矯正が必要になる場合もあることをお伝えし、想定しながらインビザラインGoによる部分矯正にて進行することとなりました。

Simulation Before

Simulation After

ホワイトニングもご希望であったため同時に進行していくこととなりました。マウスピース矯正中はそのマウスピースを使用し同時にホワイトニングも進行することが可能です。ご自身で薬液を使って進行していただくため、白さも調整いただけます。もちろん使用方法や注意点もお伝えさせていただき、マウスピース矯正の進行チェックとホワイトニングも定期的にチェックを行います。

After

マウスピース矯正の期間と装着枚数が終了し、懸念していた箇所も順調に歯列が並んできましたが、想定している咬み合わせまでは歯列が動ききりませんでしたので、追加のマウスピースで進行していきます。

Before

After

今後も患者様にアライナーをしっかりと1日つけていただくなどご協力いただきながら、整った歯並びを作り、また口腔内環境を永く維持していけるように担当医として努めていきます。

ガタガタに並ぶ歯並びの方は食べ物が詰まりやすい場合や歯磨きなどのセルフケアが行き届かず、むし歯や歯周病のリスクが高くなる場合もございます。気になる方はお気軽にご相談ください。

治療の内容 マウスピース型矯正装置(インビザラインGo)による部分矯正とホームホワイトニングによる治療
期間・回数 6ヶ月・7回(カウンセリング・検査含む)
費用 自由診療:マウスピース型矯正装置(部分矯正)+ホームホワイトニング 総額 450,000円(税込 495,000円)
リスク・副作用
  • 1日当りの所定の製品装着時間が守られない場合、製品が担当医師の指示通りに使用されない場合、アポイントメントが守られない場合、および/もしくは特殊な形状の歯が存在する場合については、望まれる治療結果の実現性に影響を与える場合があります。
  • 次のステージのアライナーに交換した後に、歯の圧痛を経験する場合があります。
  • 歯肉、頬及び唇に、製品による擦り傷または痛みが生じる場合があります。
  • 製品は一時的に発音に影響を与える場合があり、結果として舌のもつれを生ずる場合がありますが、製品に関連した発話障害は、通常1週間から2週間以内で軽減します。
  • 歯の移動を可能とするための空隙を創り出すため、歯の削合が必要となる場合があります。
  • 長期間にわたって重なっていた歯は、歯間接触下部の歯肉組織が失われている場合があり、歯列矯正を行うことで、「ブラックトライアングル」が発生する可能性があります。
  • 稀に、歯の寿命を縮める場合があり、歯内治療および/もしくは追加的な補綴修復処置等の追加的な歯科治療が必要となる可能性、および、歯が失われる可能性があります。 また、過去に歯の損傷があった場合、または大規模な補綴修復処置がなされていた場合、さらに悪化する可能性があります。
  • 稀に、顎関節に問題が生じる場合があり、それによって関節痛、頭痛または耳の障害が生じる場合があります。
  • ホワイトニングの処置後、何らかの不快な症状(歯の痛み・知覚過敏症状、また歯ぐきや口腔粘膜の炎症)が起きる場合があります。
  • ホワイトニングをしても白さは永久的に持続するものではありません。
  • ホワイトニングを行う歯の変色の原因によっては色調の改善が認められない場合もあります。
  • 以下の症状に心辺りがある場合はホワイトニングの処置が出来ない場合があります。
    • 呼吸器疾患を持った方
    • 強い嘔吐反射
    • 妊娠中・授乳中の方
    • 光線アレルギー
    • 過去にホワイトニング経験のある方
    • 知覚過敏のある方
    • 無カタラーゼ症の方
    • 3週間以内にフェイシャルのエステ・脱毛をされた方

義歯に慣れずに食事が困難だった方の上下All-on-4

上下ALL-ON-4と骨造成による治療

歯周病で歯が抜けてしまい義歯を装着していましたが、義歯が合わずご飯も柔らかいものしか食べられないというお悩みで来院されました。

Before

歯周病で多くの歯を失い、残っている歯も延命は難しかったので、4本(上顎は6本)のインプラントですべての歯を並べるAll-on-4についてご説明させていただいき、All-on-4で治療を進めることを選択されました。

After

、All-on-4にて一日で手術が終わり、術後は患者様のお手入れのご協力もあり問題も起きず手術からおよそ3ヶ月で最後の歯がキレイに並びました。

Before

After

今後も継続してメインテナンスに来ていただき、またご本人のセルフケアも継続して行っていただき、口腔内環境を保っていただけるよう担当医として努めていきます。

治療の内容 全顎オールオン4と骨造成による治療。
期間・回数 1年・14回(カウンセリング・検査含む)
費用 自由診療: 上下オールオン4+骨造成 総額 4,200,000円(税込 4,620,000円)
リスク・副作用
  • インプラント手術後、まれに唇、舌、頬、歯肉そして歯牙の感覚マヒが一時的に発生する場合もあります。また、近接歯牙、顎、上顎洞、鼻腔に対する炎症、疼痛、過敏症、組織治癒の遅延及び顔面部の内出血(紫斑や黄斑など)が避けられない方もまれにおられます。術後、3~4日目になると腫れ止めが切れるため傷口が腫れてきますが、殆どの場合、1週間程度で傷口は治ります。
  • 術中に、歯牙や骨の状態により手術内容が予定より変更することも起こりえます。
  • 術中に、予定していた骨の量が足りない場合には、追加の骨造成が必要になることがあります。(治療代5万円)
  • 喫煙、飲酒は正常な治療の妨げとなります。術後1週間は控えてください。
  • 処方された薬剤の服用により吐き気、めまい、眠気、咳、お腹が緩くなるなど一時的な副作用が現れることがあります。
  • インプラントの耐久性は、天然歯同様、口腔衛生状態(喫煙の有無、喫煙者の協力度、咬合力、咬み合わせ、骨量、歯肉量、歯磨き、メンテナンス)により変化します。
  • 成長過程にある方、免疫不全や1型糖尿病の方、放射線治療を受けられている方、ホルモン治療を受けられている方は治療出来ない場合があります。
  • 治療後、知覚過敏や痛みなどが出たり、吸収された骨が再生しなくなることがあります。
  • また、歯肉が退縮して歯が長く見えたり、歯と歯の隙間が広くなったりすることもあります。

叢生の方の歯列矯正と補綴による治療

元スタッフの歯列矯正とセラミック補綴による叢生の治療

入社前に試みた美容歯科治療が予後不良であることがわかり、やり替えが必要な状態でした。見た目を良くする治療により咬み合わせがおかしくなり、再治療を希望しました。歯科での知識を身に着けたことにより、不良補綴のみならず全体的な治療を望むようになりました。

Before

不正咬合の種類としては、叢生という歯がガタガタに並んだ状態でした。この歯並びを強引に補綴(被せ物)の向きによって変えようとしたことで、全体的な咬み合わせのバランスがおかしくなってしまったようです。きちんと矯正にて歯の根から動かし、正しい咬み合わせを作っていきました。

After

歯並びがしっかりと整いましたので不良補綴物のやり替えを行なっていきました。本人の希望でかなり白い色味に合わせていきました。天然歯を定期的にホワイトニングで調整する必要はありますが、白い歯を好まれる方にはこのような色味にすることも可能です。

Before

Process

After

すべてのセラミック矯正が悪いとは思いませんが、咬み合わせを考えないセラミック矯正は、彼女のように痛みや予後不良を起こす原因となることがあります。そのため、当院では特別な場合を除き、セラミックによる歯並び矯正は行っておりません。期間や費用は多少かかりますが、残りの人生の中で自分の歯を美しく健康に長く保つためには、歯列矯正の方が有効であることが多くあります。当院では、セラミック矯正のリペア治療も承っています。セラミック矯正をしたものの、咬み合わせがおかしくなったと感じたら、お早めにご相談下さい。

治療の内容 マルチブラケット(クリア)による歯列矯正とセラミック補綴による総合治療。
期間・回数 3年7ヶ月・28回(カウンセリング・検査含む)
費用 自由診療:マルチブラケット(クリア)+セラミッククラウン✕4歯+セラミックインレー✕1歯+ゴールドインレー✕1歯 総額 1,326,000円(税込1,458,600円)(調整料28回分含む)
リスク・副作用
  • 歯磨きがわるい場合には、虫歯や歯肉炎が進行することがあります。
  • 顎関節が弱い方の場合、関節異常が出ることがあります。矯正治療中顎の関節に音がする、痛くなる、口が開きにくくなる、といったような症状が出た場合には直にお知らせください。その場合は顎関節症の治療をすることがあります。 長期の矯正治療により歯根吸収が生じる恐れがあります。
  • 歯ぐきや歯槽骨が多少やせることがあります。そのため、術前の状態より歯肉が退縮し、隙間ができることがあります。
  • 体質により金属アレルギーを引き起こす事があります。
  • 治療後、知覚過敏や痛みなどが出たり、吸収された骨が再生しなくなることがあります。
  • 歯肉が退縮して歯が長く見えたり、歯と歯の隙間が広くなったりすることもあります。

11歳から始めた小児矯正

歯列育形成によるお子様の叢生の歯並び治療の症例

小さな頃から検診で通っていただいている患者様です。昔から歯の健康に気をつけておられましたが、歯並びについては悩んではおられるもののなかかな矯正には踏み出せずにおられました。 11歳になられてから、お母様から矯正についてのご相談があり、トリートメントコーディネーターからの説明を受けた後、矯正相談を希望されました。 11歳という年齢は、小児矯正(Ⅰ期矯正)を始めるには微妙な年齢ですが、矯正医の診断を受け、Ⅰ期矯正による咬合育形成という顎を拡げて歯を並べる矯正をスタートしました。

Before

装置は取り外しが可能な拡大装置という顎を広げる装置を使います。顎が広がった時点で、ブラケットにより歯並びの調節を行います。

After

小児矯正と成人矯正の違いは、歯を並べるスペースを拡げて作るか抜いて作るかというところがあります(※成人後も抜歯無しで並べれる場合もあります)。大人になってからの矯正では外科手術以外顎の骨格を変えることはできませんのが、Ⅰ期矯正を行うことで歯を並べるスペースを確保し、抜歯せずに歯を並べることが可能となります。約2年で、歯を並べるスペースを確保し、きっちり歯も並びました。

Before

After

子どものうちの矯正は賛否両論ありますが、アップル歯科ではお子様によっては必要な場合があると考えています。もちろん、Ⅱ期矯正が必要になる方もおられますが、それでも7本の歯をしっかり並べられるチャンスがあり、それがお子様の歯の健康に結びつくのであれば保護者の方と相談して治療するかを決めていきます。中には成人するまで待ったほうが良いお子様もおられます。それらを判断するために、一般歯科医の診断の後、矯正医による診断・相談を行っています。 お子様の歯並び、将来のことを考えておられるようでしたら、まずはご相談にお越し下さい。治療が必要か、可能か、やるべきか否か、歯並びの専門家としっかり相談しながら一緒に考えましょう。

治療の内容 歯列育形成によるお子様の叢生の歯並び治療。
期間・回数 2年・23回(カウンセリング・検査含む)
費用 自由診療:歯列育形成 総額 580,000円(調整料36回分含む)税込701,800円
リスク・副作用
  • 歯磨きがわるい場合には、虫歯や歯肉炎が進行することがあります。
  • 顎関節が弱い方の場合、関節異常が出ることがあります。矯正治療中顎の関節に音がする、痛くなる、口が開きにくくなる、といったような症状が出た場合には直にお知らせください。その場合は顎関節症の治療をすることがあります。
  • 長期の矯正治療により歯根吸収が生じる恐れがあります。
  • 歯ぐきや歯槽骨が多少やせることがあります。そのため、術前の状態より歯肉が退縮し、隙間ができることがあります。
  • 体質により金属アレルギーを引き起こす事があります。
  • 治療後、知覚過敏や痛みなどが出たり、吸収された骨が再生しなくなることがあります。
  • 歯肉が退縮して歯が長く見えたり、歯と歯の隙間が広くなったりすることもあります。

抜歯を希望されて来られた方のAll-on-4治療

上下オールオン4と骨造成による全顎の総合治療

グラつく歯があり、1本だけ飛びてて食事に困るため抜いて欲しいというご要望でご来院されました。過去に義歯を作られたそうですが嘔吐反射が激しく合わなかったため、できればインプラントによる治療をしたいとのことでしたが、腫れや痛みのことを気にされ、踏み切れないご様子でした。

Before

歯周病で多くの歯を失い、残っている歯も延命は難しかったので、4本(上顎は6本)のインプラントですべての歯を並べるAll-on-4についてご説明させていただきました。

After

術後は少し腫れて心配されておられましたが、All-on-4にて一日で手術が終わり、手術からおよそ3ヶ月で最後の歯がキレイに並びました。

Before

After

今後も継続してメインテナンスに来ていただき、口腔内環境を保っていただけるよう努めていきます。

治療の内容 全額オールオン4による治療。
期間・回数 9ヶ月・12回(カウンセリング・検査・歯周病治療含む)
費用 自由診療: 上下オールオン4(チタンフレーム) 総額 5,000,000円(税込 5,500,000円)
リスク・副作用
  • インプラント手術後、まれに唇、舌、頬、歯肉そして歯牙の感覚マヒが一時的に発生する場合もあります。また、近接歯牙、顎、上顎洞、鼻腔に対する炎症、疼痛、過敏症、組織治癒の遅延及び顔面部の内出血(紫斑や黄斑など)が避けられない方もまれにおられます。術後、3~4日目になると腫れ止めが切れるため傷口が腫れてきますが、殆どの場合、1週間程度で傷口は治ります。
  • 術中に、歯牙や骨の状態により手術内容が予定より変更することも起こりえます。
  • 術中に、予定していた骨の量が足りない場合には、追加の骨造成が必要になることがあります。(治療代5万円)
  • 喫煙、飲酒は正常な治療の妨げとなります。術後1週間は控えてください。
  • 処方された薬剤の服用により吐き気、めまい、眠気、咳、お腹が緩くなるなど一時的な副作用が現れることがあります。
  • インプラントの耐久性は、天然歯同様、口腔衛生状態(喫煙の有無、喫煙者の協力度、咬合力、咬み合わせ、骨量、歯肉量、歯磨き、メンテナンス)により変化します。
  • 成長過程にある方、免疫不全や1型糖尿病の方、放射線治療を受けられている方、ホルモン治療を受けられている方は治療出来ない場合があります。
  • 治療後、知覚過敏や痛みなどが出たり、吸収された骨が再生しなくなることがあります。
  • 食いしばり・歯ぎしりが強い場合、上部構造が破損する恐れがあります。
  • 血圧が高い場合、手術ができないことがあります。
  • 骨量が少ない場合はAll-on-4治療の手術自体ができない場合があります。

事故で歯と歯茎を失われた方の前歯部ガム付きインプラント

上顎 前歯3本のガム付きインプラント

事故で歯を4本失われた患者様です。 精密検査の結果、前歯と一緒に歯肉と骨もかなり失っておられたため単独のインプラントだけでは治療は困難でした。

Before

After

そのため、GBR(骨造成)と歯肉部付きのインプラント(ガム付きインプラント)にて対応することとなりました。

Before

Before

After

After

ガム付きインプラントは、部分的なAll-on-4のようなものです。上顎右2番と左1番、3番にインプラント治療を行い、ブリッジにて右2番〜左3番まで対応しました。もう少し骨や歯肉が残っていれば、歯肉の移植などの治療も考えられましたが、患者様と相談の上最良の治療を施すことに努めました。

Before

Before

After

After

今後は入れた歯がより丈夫に長持ちするように、引き続きメインテナンスを通して今回の治療箇所及びその周りの歯の健康のお手伝いをしていきます。

治療の内容 事故で失った4本の欠損補綴として、3本の歯肉付きインプラントに6本の歯冠を並べる治療を行った。
期間・回数 7ヶ月・7回(カウンセリング・検査含む)
費用 自由診療:ガム付きインプラント(インプラント3歯+歯肉部+歯冠6本)+骨造成 合計 1,850,000円(税込2,035,000円)
リスク・副作用
  • インプラント手術後、まれに唇、舌、頬、歯肉そして歯牙の感覚マヒが一時的に発生する場合もあります。また、近接歯牙、顎、上顎洞、鼻腔に対する炎症、疼痛、過敏症、組織治癒の遅延及び顔面部の内出血(紫斑や黄斑など)が避けられない方もまれにおられます。術後、3~4日目になると腫れ止めが切れるため傷口が腫れてきますが、殆どの場合、1週間程度で傷口は治ります。
  • 術中に、歯牙や骨の状態により手術内容が予定より変更することも起こりえます。
  • 術中に、予定していた骨の量が足りない場合には、追加の骨造成が必要になることがあります。(治療代5万円)
  • 喫煙、飲酒は正常な治療の妨げとなります。術後1週間は控えてください。
  • 処方された薬剤の服用により吐き気、めまい、眠気、咳、お腹が緩くなるなど一時的な副作用が現れることがあります。
  • インプラントの耐久性は、天然歯同様、口腔衛生状態(喫煙の有無、喫煙者の協力度、咬合力、咬み合わせ、骨量、歯肉量、歯磨き、メンテナンス)により変化します。

口ゴボ(上顎前突)と叢生の矯正相談

叢生と前突の方のマルチブラケットによる歯列矯正

歯並び矯正相談を希望されてご来院されました。歯に鈍痛が続いていて、前医では歯並びが原因と言われ、矯正を考え始めたそうです。他の矯正歯科にもご相談に行かれたそうですが、当院での治療をご希望されました。

Before

Before

歯並びの状態としては、上の歯は前に出ている「前突」という状態で、下顎はガタガタに並んだ叢生という状態です。お痛みがあったため、矯正治療開始までに3ヶ月を要しましたが、無理にブラケットを着けると歯周病やむし歯が進行するため予め治療を行う必要があります。前医のご指摘どおり歯のお痛みは歯並びが原因で、咬合痛(咬み合わせの痛み)や清掃不全によるむし歯・歯周病等により、痛みが出ることは少なくありません。

Process

Process

3年弱で前突もなくなり、下の歯もきちんと並びました。

After

After

歯並びが整ったとはいえ歯周病やむし歯になるリスクはゼロではありません。今後も検診に定期的にてサポートさせていただきます。

Before

After

治療の内容 マルチブラケット(クリア)による歯列矯正
期間・回数 3年2ヶ月・32回(カウンセリング・検査含む)
費用 自由診療:マルチブラケット(クリア) 総額 840,000円(税込924,000円)(調整料28回分含む)
リスク・副作用
  • 歯磨きがわるい場合には、虫歯や歯肉炎が進行することがあります。
  • 顎関節が弱い方の場合、関節異常が出ることがあります。矯正治療中顎の関節に音がする、痛くなる、口が開きにくくなる、といったような症状が出た場合には直にお知らせください。その場合は顎関節症の治療をすることがあります。 長期の矯正治療により歯根吸収が生じる恐れがあります。
  • 歯ぐきや歯槽骨が多少やせることがあります。そのため、術前の状態より歯肉が退縮し、隙間ができることがあります。
  • 体質により金属アレルギーを引き起こす事があります。
  • 治療後、知覚過敏や痛みなどが出たり、吸収された骨が再生しなくなることがあります。
  • 歯肉が退縮して歯が長く見えたり、歯と歯の隙間が広くなったりすることもあります。

高校二年生から卒業までに並んだ叢生と前突の治療

前歯の前突と下顎の叢生治療

前歯の前突感と下あごの叢生(ガタガタの歯並び)が気になられて相談に来られた当時高校生の患者様です。歯並びが悪くなる原因は、遺伝や成長期の食生活、習癖などがあげられます。

Before

After

下あごの叢生で舌側に生えて来ている歯は、ご本人としては残したいとのご要望でしたが、咬み合わせを考えた結果3本の抜歯になることをご説明し、マルチブラケットにより歯を並べていきました。

Before

Process

After

無事に治療が完了し整った歯並びになりました。この先長く良い口腔内環境を保っていただくためにお口のホームドクターとして努めていきます。

治療の内容 マルチブラケット(クリア)による歯列矯正
期間・回数 1年9ヶ月・23回(カウンセリング・検査含む)
費用 自由診療:マルチブラケット(クリア) 総額 840,000円(税込924,000円)(調整料28回分含む)
リスク・副作用
  • 歯磨きがわるい場合には、虫歯や歯肉炎が進行することがあります。
  • 顎関節が弱い方の場合、関節異常が出ることがあります。矯正治療中顎の関節に音がする、痛くなる、口が開きにくくなる、といったような症状が出た場合には直にお知らせください。その場合は顎関節症の治療をすることがあります。 長期の矯正治療により歯根吸収が生じる恐れがあります。
  • 歯ぐきや歯槽骨が多少やせることがあります。そのため、術前の状態より歯肉が退縮し、隙間ができることがあります。
  • 体質により金属アレルギーを引き起こす事があります。
  • 治療後、知覚過敏や痛みなどが出たり、吸収された骨が再生しなくなることがあります。
  • 歯肉が退縮して歯が長く見えたり、歯と歯の隙間が広くなったりすることもあります。

《叢生》アゴの小ささが原因の叢生の治療

矯正用ミニインプラントを使用した歯列矯正の症例

高校生の頃に歯並びのご相談で来られた患者様です。見た目の問題と、口の中をよく噛むということで悩まれておられました。顎が小さいための叢生という症状です。歯並びは、顎の発育や遺伝、習癖が大きく関わってきます。こちらの患者様の場合、顎が小さいために並びきらなかった歯がガタガタに生えてきてしまった状態です。

Before

After

ちょうど成長が止まった頃でしたので、保護者の方と一緒に矯正の専門カウンセリングを受けていただき、咬み合わせを考えた結果4本の抜歯になることをご説明し歯列矯正を行うことになりました。Processの写真①の後ろ側に生えた歯が口の中をよく噛む原因となる歯です。

Before

Process

After

無事に整った歯並びとなり、正中(歯の真ん中)も中心になりました。歯並びでお悩みでしたら、お気軽にご来院下さい。日本矯正歯科学会認定医による歯並び相談も行っております。

治療の内容 マルチブラケット(クリア)と矯正用ミニインプラント(ワイヤーをかける土台)による歯列矯正
期間・回数 2年4ヶ月・30回(カウンセリング・検査含む)
費用 自由診療:マルチブラケット(クリア)+矯正用ミニインプラント✕4本 総額 860,000円(税込946,000円)(調整料26回分含む)
リスク・副作用
  • 歯磨きがわるい場合には、虫歯や歯肉炎が進行することがあります。
  • 顎関節が弱い方の場合、関節異常が出ることがあります。矯正治療中顎の関節に音がする、痛くなる、口が開きにくくなる、といったような症状が出た場合には直にお知らせください。その場合は顎関節症の治療をすることがあります。 長期の矯正治療により歯根吸収が生じる恐れがあります。
  • 歯ぐきや歯槽骨が多少やせることがあります。そのため、術前の状態より歯肉が退縮し、隙間ができることがあります。
  • 体質により金属アレルギーを引き起こす事があります。
  • 治療後、知覚過敏や痛みなどが出たり、吸収された骨が再生しなくなることがあります。
  • 歯肉が退縮して歯が長く見えたり、歯と歯の隙間が広くなったりすることもあります。

前歯のインプラントと矯正による咬み合せの改善

マルチブラケットによる歯列矯正とインプラント治療による総合的な治療の症例

40代の女性の患者様です。小学生の頃にぶつけて神経がダメになった前歯の状態がひどくなり、その治療のご相談に来られました。前医では1番の前歯を抜歯してブリッジにするという提案があり、他に治療法がないか、インプラントは可能かどうかということでご相談に来られました。1番の歯は破折しており、これはおそらく下の歯の突き上げによって起こったものと考えられます。前歯で噛めないことや見た目のことももちろん大切ですが、咬み合わせに問題があることをご説明させて頂きました。

Before

After

治療計画は、①インプラントによる前歯の治療と、②矯正を含めた全体的な治療をご提案させて頂きました。他の歯へのリスクを減らすことができるということを加味され矯正治療を含んだ治療計画を選ばれました。

Before

After

破折していた1番は、難易度は高かったものの無事インプラントも定着し、矯正治療によって他の歯もキレイに、そして健康的な咬み合わせを整えることができました。 アップル歯科では最も良くなる方法も合わせてご説明させて頂いています。どこまで治すかを決めるのは患者様ですが、出来るだけ多くの選択肢をご提案できるよう努めていきます。

治療の内容 マルチブラケットと矯正用ミニインプラント2本による歯列矯正と、前歯部インプラント1本の治療。
期間・回数 3年10ヶ月・37回(カウンセリング・検査含む)
費用 自由診療:スタンダードインプラント✕1歯+マルチブラケット+矯正用ミニインプラント✕2本 総額 1,310,000円(税込1,441,000円)(調整料24回分含む)
リスク・副作用
  • 歯磨きがわるい場合には、虫歯や歯肉炎が進行することがあります。
  • 顎関節が弱い方の場合、関節異常が出ることがあります。矯正治療中顎の関節に音がする、痛くなる、口が開きにくくなる、といったような症状が出た場合には直にお知らせください。その場合は顎関節症の治療をすることがあります。 長期の矯正治療により歯根吸収が生じる恐れがあります。
  • 歯ぐきや歯槽骨が多少やせることがあります。そのため、術前の状態より歯肉が退縮し、隙間ができることがあります。
  • 体質により金属アレルギーを引き起こす事があります。
  • 治療後、知覚過敏や痛みなどが出たり、吸収された骨が再生しなくなることがあります。
  • 歯肉が退縮して歯が長く見えたり、歯と歯の隙間が広くなったりすることもあります。
  • インプラント手術後、まれに唇、舌、頬、歯肉そして歯牙の感覚マヒが一時的に発生する場合もあります。また、近接歯牙、顎、上顎洞、鼻腔に対する炎症、疼痛、過敏症、組織治癒の遅延及び顔面部の内出血(紫斑や黄斑など)が避けられない方もまれにおられます。術後、3~4日目になると腫れ止めが切れるため傷口が腫れてきますが、殆どの場合、1週間程度で傷口は治ります。
  • 術中に、歯牙や骨の状態により手術内容が予定より変更することも起こりえます。
  • 術中に、予定していた骨の量が足りない場合には、追加の骨造成が必要になることがあります。(治療代5万円)
  • 喫煙、飲酒は正常な治療の妨げとなります。術後1週間は控えてください。
  • 処方された薬剤の服用により吐き気、めまい、眠気、咳、お腹が緩くなるなど一時的な副作用が現れることがあります。
  • インプラントの耐久性は、天然歯同様、口腔衛生状態(喫煙の有無、喫煙者の協力度、咬合力、咬み合わせ、骨量、歯肉量、歯磨き、メンテナンス)により変化します。

義歯とインプラントで迷われておられた患者様のAll-on-4治療

上顎・下顎の両方のオールオン4による治療

抜けた歯の治療と、グラついている歯のご相談に来られた患者様です。他にも歯科を回っておられたようで、全体的な治療をご検討されておられました。状態としては重度の歯周病で、何本かの歯は残せる状態で、治療については歯周病の治療をご提案していきました。欠損部分については、保険の義歯での治療と、ご本人様がHPで調べてこられたということで、All-on-4についてもご説明させて頂きました。まずは歯周病の治療を進めていきましたが、やはり残せない歯も多く、ご本人様も痛みや腫れもあることからダメな歯は諦めて、インプラント治療を検討されるようになりました。最終的にコストパフォーマンスを考え、残せる歯も諦め、All-on-4による治療をご希望されました。

Before

手術前は不安になられる患者様も多くいますので、オペ前カウンセリングや治療時は、少しでもリラックス出来るよう、トリートメントコーディネーターと歯科医師で不安へのケアとしっかりとした説明を行っいきます。

After

当初は残せる歯も数本あるため維持しながら治療を進める予定でしたが、治療中の痛みや腫れによる生活への影響と、個別にインプラント治療を行っていく際はコストが膨らむため、患者様とのカウンセリングの結果、治療方法はAll-on-4という選択となりました。

Before

After

All-on-4は鎮静麻酔下で行う手術を伴う治療のため、不安に思われる方も多いかもしれません。しかし、アップル歯科では鎮静を熟知した歯科麻酔医と、万全の環境を整えております。術前のご説明もしっかり行っておりますので、不安に思われる方はカウンセリングにてお尋ね下さい。しっかりご説明させて頂き、長くより良い口腔内環境を維持していくために努めていきます。

治療の内容 全顎オールオン4と骨造成による治療。
期間・回数 6ヶ月・12回(カウンセリング・検査含む)
費用 自由診療: 上下オールオン4+骨造成 総額 4,200,000円(税込 4,620,000円)
リスク・副作用
  • インプラント手術後、まれに唇、舌、頬、歯肉そして歯牙の感覚マヒが一時的に発生する場合もあります。また、近接歯牙、顎、上顎洞、鼻腔に対する炎症、疼痛、過敏症、組織治癒の遅延及び顔面部の内出血(紫斑や黄斑など)が避けられない方もまれにおられます。術後、3~4日目になると腫れ止めが切れるため傷口が腫れてきますが、殆どの場合、1週間程度で傷口は治ります。
  • 術中に、歯牙や骨の状態により手術内容が予定より変更することも起こりえます。
  • 術中に、予定していた骨の量が足りない場合には、追加の骨造成が必要になることがあります。(治療代5万円)
  • 喫煙、飲酒は正常な治療の妨げとなります。術後1週間は控えてください。
  • 処方された薬剤の服用により吐き気、めまい、眠気、咳、お腹が緩くなるなど一時的な副作用が現れることがあります。
  • インプラントの耐久性は、天然歯同様、口腔衛生状態(喫煙の有無、喫煙者の協力度、咬合力、咬み合わせ、骨量、歯肉量、歯磨き、メンテナンス)により変化します。
  • 成長過程にある方、免疫不全や1型糖尿病の方、放射線治療を受けられている方、ホルモン治療を受けられている方は治療出来ない場合があります。
  • 食いしばり・歯ぎしりが強い場合、上部構造が破損する恐れがあります。
  • 血圧が高い場合、手術ができないことがあります。
  • 骨量が少ない場合はAll-on-4治療の手術自体ができない場合があります。

奥歯のインプラント治療による機能回復

奥歯 左上(5、6番)と左、右下(各6番)のインプラント治療

歯ぐきの腫れと痛みが気になるということでご来院されました。歯医者が苦手で、10年以上歯医者に行けなかったために、お口の状態がコンプレックスになっておられるようで、人前に出るときにはマスクが手放せなかったそうです。 残念ながら奥歯を保存することはできませんでした、その奥歯の欠損補綴(歯が抜けた後の治療法)にはインプラントを選択されました。

Before

Before

骨量が少ないので骨造成を行い、インプラント治療を合計4本行いました。

After

After

アップル歯科クリニックでは、患者様毎の要望やご希望、そして将来のお口のことを考えた上で、パーソナリティに応じた治療計画をご提案するよう努めています。 「歯医者が怖い」とお悩みの方、まずは勇気を出して相談だけでもお越し下さい。

Before

After

治療の内容 インプラント治療4本と骨造成の治療。
期間・回数 1年2ヶ月・11回(カウンセリング・検査・歯周病治療含む)
費用 自由診療:スタンダードインプラント✕4歯+骨造成 合計 1,630,000円(税込1,793,000円)
リスク・副作用
  • インプラント手術後、まれに唇、舌、頬、歯肉そして歯牙の感覚マヒが一時的に発生する場合もあります。また、近接歯牙、顎、上顎洞、鼻腔に対する炎症、疼痛、過敏症、組織治癒の遅延及び顔面部の内出血(紫斑や黄斑など)が避けられない方もまれにおられます。術後、3~4日目になると腫れ止めが切れるため傷口が腫れてきますが、殆どの場合、1週間程度で傷口は治ります。
  • 術中に、歯牙や骨の状態により手術内容が予定より変更することも起こりえます。
  • 術中に、予定していた骨の量が足りない場合には、追加の骨造成が必要になることがあります。(治療代5万円)
  • 喫煙、飲酒は正常な治療の妨げとなります。術後1週間は控えてください。
  • 処方された薬剤の服用により吐き気、めまい、眠気、咳、お腹が緩くなるなど一時的な副作用が現れることがあります。
  • インプラントの耐久性は、天然歯同様、口腔衛生状態(喫煙の有無、喫煙者の協力度、咬合力、咬み合わせ、骨量、歯肉量、歯磨き、メンテナンス)により変化します。
  • 治療後、知覚過敏や痛みなどが出たり、吸収された骨が再生しなくなることがあります。
  • また、歯肉が退縮して歯が長く見えたり、歯と歯の隙間が広くなったりすることもあります。

マルチブラケットの歯列矯正による顔貌の変化

前突の方のマルチブラケットによる歯列矯正

前歯の前突感を気にされ、部分矯正を希望で矯正相談にお越し頂いた患者様です。前医でも部分矯正の相談をされたそうですが、全体矯正が必要と言われたそうで、他の歯科での診断も気になるということで来られたそうです。

Before

Before

当院の診断としても部分矯正ではなく全体矯正が必要という診断となりました。前突(出っ歯)の場合、「気になるのは前歯だけだから」と部分矯正を希望される方はたくさんおられますが、前突の原因は歯が並ぶスペースがないために前に傾斜することでスペースを確保しようとする働きによるものが大多数です。傾斜せずに並べるためには、歯を並べるスペースを作る必要があり、そのためには歯を全体的に動かす全体矯正が必要となります。

Before

Before

また、部分矯正のご要望は多いのですが、部分矯正の弊害は咬み合わせがおかしくなることもあげられます。歯は一本一本が隣り合う歯や対合の歯とバランスをとりながら機能しています。例えば悪い歯並びを咬み合わせを考えずに動かしてしまうと、そのバランスが崩れ歯のすり減りや顎の痛み、最悪の場合咬み合せの崩壊の原因となることがあります。

After

After

最終的に全ての歯がキレイに並びました。咬み合わせも良好で、清掃性も高くなっています。

After

After

今後もメインテナンスを行い、現在の口腔内環境を保てるように、お口のホームドクターとして末永くお手伝いできるように努めていきます。

Before

After

    
治療の内容 マルチブラケット(クリア)と矯正用ミニインプラント1本による歯列矯正。
期間・回数 3年5ヶ月・42回(カウンセリング・検査含む)
費用 自由診療:マルチブラケット(クリア)+矯正用ミニインプラント✕1本 総額 790,000円(税込869,000円)(調整料24回分含む)
リスク・副作用
  • 歯磨きがわるい場は、虫歯や歯肉炎が進行することがあります。
  • 顎関節が弱い方の場合、関節異常が出ることがあります。矯正治療中顎の関節に音がする、痛くなる、口が開きにくくなる、といったような症状が出た場合には直にお知らせください。その場合は顎関節症の治療をすることがあります。 長期の矯正治療により歯根吸収が生じる恐れがあります。
  • 歯ぐきや歯槽骨が多少やせることがあります。そのため、術前の状態より歯肉が退縮し、隙間ができることがあります。
  • 体質により金属アレルギーを引き起こす事があります。
  • 治療後、知覚過敏や痛みなどが出たり、吸収された骨が再生しなくなることがあります。
  • 歯肉が退縮して歯が長く見えたり、歯と歯の隙間が広くなったりすることもあります。

習癖によってできた空隙歯列(すきっ歯)の矯正

マルチブラケットによる空隙歯列(すきっ歯)の方の症例

歯がしみるということでご相談に来られた患者様ですが、カウンセリングを進める中で、前歯のすき間が気になられておられるとのことでした。子供の頃に舌癖の指摘を受けたことがあるとのことでしたので、おそらくその頃の習癖が問題で少し歯と歯の間が広がってしまったものと考えられます。 過去にも矯正に興味はあったようですが行動までには至らず、今回しみる歯の治療に合わせて矯正に踏み切ることとなりました。

before

before

after

before

歯のすき間には、生まれつきの歯並びによるものと、習癖(くせ)によるものがあります。こちらの患者様の場合は後者で後天的なものです。1年10ヶ月程度ですき間が埋まりました。

before

before

after

before

空隙歯列(すきっ歯)は、見た目を気にしなければ放置してしまうことも多い咬み合わせですが、すき間があるということは食物がつまりやすかったり、発音に問題が生じることもあります。 治療方法には矯正以外にラミネートベニア(付け爪のようなセラミックの補綴物)やダイレクトボンディング、クラウンなども考えられますが、矯正で治療が可能な方は歯を削らずに治療することに越したものはありません。 今回は矯正治療をしたことにより、こちらの患者様の歯が、今後も末永く続くよう歯医者としてお手伝いし続けていきたいと思います。 空隙歯列で「どんな治療法があるの?」とお悩みの方がおられましたらお気軽にご相談下さい。現在の状態やご予算、ご要望に応じてご提案が可能です。

治療の内容 マルチブラケットによる歯列矯正。
期間・回数 1年10ヶ月・24回(カウンセリング・検査含む)
費用 自由診療:マルチブラケット 総額 735,000円(税込808,500円)(調整料17回分含む)
リスク・副作用
  • 歯磨きがわるい場合には、虫歯や歯肉炎が進行することがあります。
  • 顎関節が弱い方の場合、関節異常が出ることがあります。矯正治療中顎の関節に音がする、痛くなる、口が開きにくくなる、といったような症状が出た場合には直にお知らせください。その場合は顎関節症の治療をすることがあります。長期の矯正治療により歯根吸収が生じる恐れがあります。
  • 歯ぐきや歯槽骨が多少やせることがあります。そのため、術前の状態より歯肉が退縮し、隙間ができることがあります。
  • 体質により金属アレルギーを引き起こす事があります。
  • 治療後、知覚過敏や痛みなどが出たり、吸収された骨が再生しなくなることがあります。
  • 歯肉が退縮して歯が長く見えたり、歯と歯の隙間が広くなったりすることもあります。

パーフォレーションした歯の抜歯後即時埋入インプラント

左上 前歯のインプラント症例

事故で前歯を打ち、他院にて破折(歯の根にヒビが入り)・失活(神経を抜く処置をした)した後補綴治療した歯が気になるということで相談に来られた患者様です。

Before

Process

After

口腔内を見たところ、治療部位の歯肉上部にある出来物がありました。これはフィステルという破折やパーフォレーション(治療時に穴が開いてしまうこと)時に膿が歯肉から出る際に出来るものである可能性が疑われます。また、歯頸部の黒ずみも気になります。フィステルは歯の根に異常を来しているサインでもありますので、この原因を確認する必要があります。

パノラマ・デンタルレントゲン、歯科用CTなどで確認した結果、残念ながらパーフォレーション(穿孔)が確認され、保存は難しいと判断しました。例え痛みが少なくても、フィステルは膿が出ている証拠ですから、放置してしまうとその膿が歯の根の周りの骨を溶かしはじめます。患者様に説明した結果「キレイに治したい」という希望もありましたので、インプラントによる治療計画を立てていきました。

Before

After

幸い歯槽骨にはまだ以上は見られませんでしたので、抜歯後即時埋入術という歯を抜いた当日にインプラントを埋入する術式を行うことができました。これにより抜歯後骨が出来るのを待つ通常の治療に比べ、治療期間の短縮が可能となるため、患者様の負担も小さくなります。

パーフォレーションは、必ずしも歯科医師のミスというわけではなく、歯を残そうとする治療の上でどうしても起こり得る可能性のあるものです。肝心なのはパーフォレーションした後の治療です。 幸い、今回は膿が周りの骨を溶かすという最悪の事態は免れることができましたが、もし骨が溶け出してしまうと、インプラント治療が困難になることもあります。 治療した歯の回りにプクッとした出来物が出来ていたり、膿の臭いを感じたときはお気軽にご相談下さい。精密検査で特定することが可能です。

治療の内容 パーフォレーション(歯の根に穴が開く症状)した歯に対して、抜歯即時埋入術によるインプラント治療を行った
期間・回数 10ヶ月・7回(カウンセリング・検査含む)
費用 自由診療:プレミアムインプラント✕1歯 450,000円(税込495,000円)
リスク・副作用
  • インプラント手術後、まれに唇、舌、頬、歯肉そして歯牙の感覚マヒが一時的に発生する場合もあります。また、近接歯牙、顎、上顎洞、鼻腔に対する炎症、疼痛、過敏症、組織治癒の遅延及び顔面部の内出血(紫斑や黄斑など)が避けられない方もまれにおられます。術後、3~4日目になると腫れ止めが切れるため傷口が腫れてきますが、殆どの場合、1週間程度で傷口は治ります。
  • 術中に、歯牙や骨の状態により手術内容が予定より変更することも起こりえます。
  • 術中に、予定していた骨の量が足りない場合には、追加の骨造成が必要になることがあります。(治療代5万円)
  • 喫煙、飲酒は正常な治療の妨げとなります。術後1週間は控えてください。
  • 処方された薬剤の服用により吐き気、めまい、眠気、咳、お腹が緩くなるなど一時的な副作用が現れることがあります。
  • インプラントの耐久性は、天然歯同様、口腔衛生状態(喫煙の有無、喫煙者の協力度、咬合力、咬み合わせ、骨量、歯肉量、歯磨き、メンテナンス)により変化します。

事故によって破折した前歯の抜歯即時インプラント

事故によって破折した前歯のインプラント症例

バイクの転倒時に前歯を破損され、治療の相談に来られた患者様です。レントゲン・CTで確認した結果、残っている歯根も縦に破折線が出ており、抜歯を余儀なくされました。 相談の結果、やはり見た目や使用感が元の歯に近いものが良いということで、インプラントによる欠損補綴(歯を抜いた後の治療)の治療計画を立てていきました。

Before

Process

After

手術は抜歯即時埋入という方法で、残った根っこを抜いた際、そのまま抜歯をしたところにインプラントを埋入する方法になります。抜歯即時埋入の場合、抜歯後骨が出来るのを待つ免荷期間がないため治療期間は大幅に短縮されますので、患者様にとってもメリットの大きな治療となります。

最終的なセラミックの歯が入り、見た目では天然歯と人工歯の区別はつかない程度の仕上がりになりました。

歯を失う大半の原因は歯周病、ついでむし歯となります。しかし、こちらの患者様のように、不慮の事故で歯を失われる方も一定数おられます。歯は、失ってしまうと二度と元には戻りませんが、インプラントは欠損部分を補う上で他の臓器や身体の部位に比べて再現率の高い治療であると考えられます。今回のように突然抜歯となってしまった患者様にとっては、以前の歯よりもきれいになることで、気持ちの上でも納得が行くこともあります。 そのような患者様のためにも、我々歯科医師はより自分の歯に近い歯を取り戻せるよう、様々な治療の種類と技術力を高めていく必要があると考えます。

治療の内容 歯根破折した歯の抜歯、抜歯即時埋入によるインプラント、隣在歯の補綴治療。
期間・回数 10ヶ月・11回(カウンセリング・検査・歯周病治療含む)
費用 自由診療:スタンダードインプラント✕1歯+補綴治療✕1歯+骨造成 合計 550,000円(税込605,000円)
リスク・副作用
  • インプラント手術後、まれに唇、舌、頬、歯肉そして歯牙の感覚マヒが一時的に発生する場合もあります。また、近接歯牙、顎、上顎洞、鼻腔に対する炎症、疼痛、過敏症、組織治癒の遅延及び顔面部の内出血(紫斑や黄斑など)が避けられない方もまれにおられます。術後、3~4日目になると腫れ止めが切れるため傷口が腫れてきますが、殆どの場合、1週間程度で傷口は治ります。
  • 術中に、歯牙や骨の状態により手術内容が予定より変更することも起こりえます。
  • 術中に、予定していた骨の量が足りない場合には、追加の骨造成が必要になることがあります。(治療代5万円)
  • 喫煙、飲酒は正常な治療の妨げとなります。術後1週間は控えてください。
  • 処方された薬剤の服用により吐き気、めまい、眠気、咳、お腹が緩くなるなど一時的な副作用が現れることがあります。
  • インプラントの耐久性は、天然歯同様、口腔衛生状態(喫煙の有無、喫煙者の協力度、咬合力、咬み合わせ、骨量、歯肉量、歯磨き、メンテナンス)により変化します。
  • 治療後、知覚過敏や痛みなどが出たり、吸収された骨が再生しなくなることがあります。
  • また、歯肉が退縮して歯が長く見えたり、歯と歯の隙間が広くなったりすることもあります。
1 2 3 4 5 6 7

明石市でかかりつけの
歯医者をお探しの方へ

スライドします
曜日
診療開始 9:30 9:30 9:30 9:30 9:30 9:30
診療終了 18:30 18:30 13:00 18:30 18:30 17:00

休診日・診療日について

※日曜・祝日診療は右記診療カレンダーをご覧下さい。

診療カレンダー

2026年 5月
26
27
28
29
30
1
2
3
4
5
6
7
8
9
10
11
12
13
14
15
16
17
18
19
20
21
22
23
24
25
26
27
28
29
30
31
1
2
3
4
5
6

休診日

日曜・祝日診療

13時迄

明石アップル歯科への
アクセス・地図

明石以外でもアップル歯科の治療を受けられます

明石・神戸周辺のアップル歯科

明石市歯科

明石アップル歯科

明石アップル歯科

明石市大久保町高丘3-3-1

加古川市歯科

加古川アップル歯科

加古川アップル歯科

加古川市平岡町土山909-33

神戸市中央区歯科

三宮アップル歯科

三宮アップル歯科

神戸市中央区琴ノ緒町5-2-2 三信ビル3F

尼崎市歯科

アップル歯科尼崎駅前

アップル歯科尼崎駅前

尼崎市長洲本通1-4-18 ヴィラレオーネ 1F

伊丹市歯科

アップル歯科伊丹駅前

アップル歯科伊丹駅前

兵庫県伊丹市西台1丁目1番1号 伊丹阪急駅ビル4階

大阪市北区 梅田歯科

梅田アップル歯科

梅田アップル歯科

大阪市北区芝田2-3-9 EXCEL UMEDA 2F

大阪市中央区 なんば歯科

なんばアップル歯科

なんばアップル歯科

大阪市中央区難波千日前15-15 BRAVE難波503

枚方市 くずは歯科

枚方くずはアップル歯科

枚方くずはアップル歯科

枚方市楠葉花園町14-1 京阪くずは駅ビル2F

京都河原町歯科

アップル歯科京都河原町

アップル歯科京都河原町

京都市下京区奈良物町364 中央四条ビル3階

福岡市六本松周辺の歯科

アップル歯科六本松

アップル歯科六本松

福岡市中央区六本松2丁目5番1号 THE GROVE 3階

友だち追加

Copyight© 2019 Apple Dental Clinic. All Right Reserved.

Page Top