インビザラインGOによる前歯のデコボコ治療

HOME > 症例 > インビザラインGOによる前歯のデコボコ治療

前歯部叢生の方のインビザラインGOによる部分矯正

インビザラインに興味がありご来院された患者様です。まずはCTやパノラマ、iTeroにて精密資料取りを行っていきました。

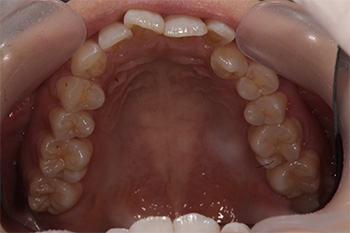
Before

インビザラインGoによる部分矯正の適応範囲では下顎の歯が並ぶスペースの確保やクロスバイトという上下の歯の重なりが逆になっている不正咬合があるため判断の難しい症例ではありましたが、精密資料撮りによる診断や矯正専門医との連携診断、患者様のご希望も踏まえ、追加の歯列矯正が必要になる場合もあることをお伝えし、想定しながらインビザラインGoによる部分矯正にて進行することとなりました。

Simulation Before

Simulation After

ホワイトニングもご希望であったため同時に進行していくこととなりました。マウスピース矯正中はそのマウスピースを使用し同時にホワイトニングも進行することが可能です。ご自身で薬液を使って進行していただくため、白さも調整いただけます。もちろん使用方法や注意点もお伝えさせていただき、マウスピース矯正の進行チェックとホワイトニングも定期的にチェックを行います。

After

マウスピース矯正の期間と装着枚数が終了し、懸念していた箇所も順調に歯列が並んできましたが、想定している咬み合わせまでは歯列が動ききりませんでしたので、追加のマウスピースで進行していきます。

Before

After

今後も患者様にアライナーをしっかりと1日つけていただくなどご協力いただきながら、整った歯並びを作り、また口腔内環境を永く維持していけるように担当医として努めていきます。

ガタガタに並ぶ歯並びの方は食べ物が詰まりやすい場合や歯磨きなどのセルフケアが行き届かず、むし歯や歯周病のリスクが高くなる場合もございます。気になる方はお気軽にご相談ください。

治療の内容 マウスピース型矯正装置(インビザラインGo)による部分矯正とホームホワイトニングによる治療
期間・回数 6ヶ月・7回(カウンセリング・検査含む)
費用 自由診療:マウスピース型矯正装置(部分矯正)+ホームホワイトニング 総額 450,000円(税込 495,000円)
リスク・副作用
  • 1日当りの所定の製品装着時間が守られない場合、製品が担当医師の指示通りに使用されない場合、アポイントメントが守られない場合、および/もしくは特殊な形状の歯が存在する場合については、望まれる治療結果の実現性に影響を与える場合があります。
  • 次のステージのアライナーに交換した後に、歯の圧痛を経験する場合があります。
  • 歯肉、頬及び唇に、製品による擦り傷または痛みが生じる場合があります。
  • 製品は一時的に発音に影響を与える場合があり、結果として舌のもつれを生ずる場合がありますが、製品に関連した発話障害は、通常1週間から2週間以内で軽減します。
  • 歯の移動を可能とするための空隙を創り出すため、歯の削合が必要となる場合があります。
  • 長期間にわたって重なっていた歯は、歯間接触下部の歯肉組織が失われている場合があり、歯列矯正を行うことで、「ブラックトライアングル」が発生する可能性があります。
  • 稀に、歯の寿命を縮める場合があり、歯内治療および/もしくは追加的な補綴修復処置等の追加的な歯科治療が必要となる可能性、および、歯が失われる可能性があります。 また、過去に歯の損傷があった場合、または大規模な補綴修復処置がなされていた場合、さらに悪化する可能性があります。
  • 稀に、顎関節に問題が生じる場合があり、それによって関節痛、頭痛または耳の障害が生じる場合があります。
  • ホワイトニングの処置後、何らかの不快な症状(歯の痛み・知覚過敏症状、また歯ぐきや口腔粘膜の炎症)が起きる場合があります。
  • ホワイトニングをしても白さは永久的に持続するものではありません。
  • ホワイトニングを行う歯の変色の原因によっては色調の改善が認められない場合もあります。
  • 以下の症状に心辺りがある場合はホワイトニングの処置が出来ない場合があります。
    • 呼吸器疾患を持った方
    • 強い嘔吐反射
    • 妊娠中・授乳中の方
    • 光線アレルギー
    • 過去にホワイトニング経験のある方
    • 知覚過敏のある方
    • 無カタラーゼ症の方
    • 3週間以内にフェイシャルのエステ・脱毛をされた方
タグ: , ,

インビザラインGOによる前歯のデコボコ治療 | 公開日: 2021/11/09 | 更新日: 2023/05/29 | by 明石アップル歯科

このページの関連記事

明石市でかかりつけの
歯医者をお探しの方へ

スライドします
曜日
診療開始 9:30 9:30 9:30 9:30 9:30 9:30
診療終了 18:30 18:30 13:00 18:30 18:30 17:00

休診日・診療日について

※日曜・祝日診療は右記診療カレンダーをご覧下さい。

診療カレンダー

2026年 5月
26
27
28
29
30
1
2
3
4
5
6
7
8
9
10
11
12
13
14
15
16
17
18
19
20
21
22
23
24
25
26
27
28
29
30
31
1
2
3
4
5
6

休診日

日曜・祝日診療

13時迄

明石アップル歯科への
アクセス・地図

明石以外でもアップル歯科の治療を受けられます

明石・神戸周辺のアップル歯科

明石市歯科

明石アップル歯科

明石アップル歯科

明石市大久保町高丘3-3-1

加古川市歯科

加古川アップル歯科

加古川アップル歯科

加古川市平岡町土山909-33

神戸市中央区歯科

三宮アップル歯科

三宮アップル歯科

神戸市中央区琴ノ緒町5-2-2 三信ビル3F

尼崎市歯科

アップル歯科尼崎駅前

アップル歯科尼崎駅前

尼崎市長洲本通1-4-18 ヴィラレオーネ 1F

伊丹市歯科

アップル歯科伊丹駅前

アップル歯科伊丹駅前

兵庫県伊丹市西台1丁目1番1号 伊丹阪急駅ビル4階

大阪市北区 梅田歯科

梅田アップル歯科

梅田アップル歯科

大阪市北区芝田2-3-9 EXCEL UMEDA 2F

大阪市中央区 なんば歯科

なんばアップル歯科

なんばアップル歯科

大阪市中央区難波千日前15-15 BRAVE難波503

枚方市 くずは歯科

枚方くずはアップル歯科

枚方くずはアップル歯科

枚方市楠葉花園町14-1 京阪くずは駅ビル2F

京都河原町歯科

アップル歯科京都河原町

アップル歯科京都河原町

京都市下京区奈良物町364 中央四条ビル3階

福岡市六本松周辺の歯科

アップル歯科六本松

アップル歯科六本松

福岡市中央区六本松2丁目5番1号 THE GROVE 3階

友だち追加

Copyight© 2019 Apple Dental Clinic. All Right Reserved.

Page Top