Ⅰ期治療(拡大床による骨格矯正)による叢生の小児矯正

HOME > 症例 > Ⅰ期治療(拡大床による骨格矯正)による叢生の小児矯正

Ⅰ期矯正による叢生の治療症例

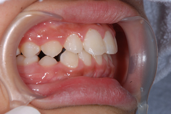
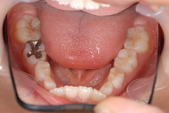
小さい頃から通って頂いている患者様です。大きくなるに連れ、前歯の歯並びが特に気になりだしたということで、ご両親ともカウンセリングにお越しいただき、現状と今後についてしっかりお話させて頂いた結果、矯正治療をスタートすることになりました。

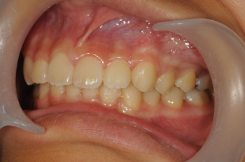
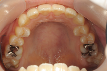
Before

Before
Before
Before
Before
Before

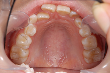
Ⅰ期治療(拡大床による骨格治療)で、少しワイヤーを使うだけでここまでキレイに並びました。

After

After
After
After
After
After

小学校3年生から始めて中学1に上がるまで期間はかかりましたが、キレイに並んで本人もご家族もご満足いただけました。お子様の歯並びは、将来のお子様の歯の健康や心身の健康に大きく関わってきます。また、歯並びが悪いとどうしても磨き残しや食べかすが詰まりやすくなり、若いうちからむし歯によって歯が悪くなることが多々有る上、判断が遅れⅡ期治療からになると、抜歯を余儀なくすることもあり得ます。

Before

Before

After

After

こちらの患者さんのご両親のように、お子様の歯並びに関しても関心を持って頂ければ、歯をキレイに並べ、強くしっかり噛める歯列に整えることができます。 「歯並びくらい」とお考えの親御さんもまだまだいらっしゃるようですが、私たちも歯並びの大切さや歯の大切さを、カウセリングを通じて一人でも多くの方にお伝えできればと思います。 お子様の歯並びでお悩みの方は是非一度相談だけでもお越しいただければと思います。

治療の内容 歯列育形成による叢生の改善。
期間・回数 4年・44回(カウンセリング・検査含む)
費用 自由診療:歯列育形成 総額 610,000円(調整料42回分含む)税込671,000円
リスク・副作用
  • 歯磨きがわるい場合には、虫歯や歯肉炎が進行することがあります。
  • 顎関節が弱い方の場合、関節異常が出ることがあります。矯正治療中顎の関節に音がする、痛くなる、口が開きにくくなる、といったような症状が出た場合には直にお知らせください。その場合は顎関節症の治療をすることがあります。
  • 長期の矯正治療により歯根吸収が生じる恐れがあります。
  • 歯ぐきや歯槽骨が多少やせることがあります。そのため、術前の状態より歯肉が退縮し、隙間ができることがあります。
  • 体質により金属アレルギーを引き起こす事があります。
  • 治療後、知覚過敏や痛みなどが出たり、吸収された骨が再生しなくなることがあります。
  • 歯肉が退縮して歯が長く見えたり、歯と歯の隙間が広くなったりすることもあります。
タグ: , ,

Ⅰ期治療(拡大床による骨格矯正)による叢生の小児矯正 | 公開日: 2016/05/26 | 更新日: 2026/02/26 | by 明石アップル歯科

このページの関連記事

明石市でかかりつけの
歯医者をお探しの方へ

スライドします
曜日
診療開始 9:30 9:30 9:30 9:30 9:30 9:30
診療終了 18:30 18:30 13:00 18:30 18:30 17:00

休診日・診療日について

※日曜・祝日診療は右記診療カレンダーをご覧下さい。

診療カレンダー

2026年 5月
26
27
28
29
30
1
2
3
4
5
6
7
8
9
10
11
12
13
14
15
16
17
18
19
20
21
22
23
24
25
26
27
28
29
30
31
1
2
3
4
5
6

休診日

日曜・祝日診療

13時迄

明石アップル歯科への
アクセス・地図

明石以外でもアップル歯科の治療を受けられます

明石・神戸周辺のアップル歯科

明石市歯科

明石アップル歯科

明石アップル歯科

明石市大久保町高丘3-3-1

加古川市歯科

加古川アップル歯科

加古川アップル歯科

加古川市平岡町土山909-33

神戸市中央区歯科

三宮アップル歯科

三宮アップル歯科

神戸市中央区琴ノ緒町5-2-2 三信ビル3F

尼崎市歯科

アップル歯科尼崎駅前

アップル歯科尼崎駅前

尼崎市長洲本通1-4-18 ヴィラレオーネ 1F

伊丹市歯科

アップル歯科伊丹駅前

アップル歯科伊丹駅前

兵庫県伊丹市西台1丁目1番1号 伊丹阪急駅ビル4階

大阪市北区 梅田歯科

梅田アップル歯科

梅田アップル歯科

大阪市北区芝田2-3-9 EXCEL UMEDA 2F

大阪市中央区 なんば歯科

なんばアップル歯科

なんばアップル歯科

大阪市中央区難波千日前15-15 BRAVE難波503

枚方市 くずは歯科

枚方くずはアップル歯科

枚方くずはアップル歯科

枚方市楠葉花園町14-1 京阪くずは駅ビル2F

京都河原町歯科

アップル歯科京都河原町

アップル歯科京都河原町

京都市下京区奈良物町364 中央四条ビル3階

福岡市六本松周辺の歯科

アップル歯科六本松

アップル歯科六本松

福岡市中央区六本松2丁目5番1号 THE GROVE 3階

友だち追加

Copyight© 2019 Apple Dental Clinic. All Right Reserved.

Page Top