昔から通われていた患者様ですが、4年目になり本格的な治療をしようとご決断されました。
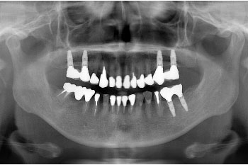
Before

After

今回行った治療は、奥歯がなかったのが一番問題でしたので、奥歯のインプラント、被せ物が古くなり虫歯や歯周病が進んでしまっていたので古くなった被せ物のやりかえを中心に行いました。その際、全体的な咬み合わせのズレや不調和も見られたので、バランスを見ながら治療を進めていきました。
今後も歯周病になるリスクはありますので、お口のホームドクターとして長くお手伝いできるよう努めていきます。
| 治療の内容 | インプラント治療6本と骨造成、被せ物の入れ替えでセラミック補綴を8本替える治療。 |
|---|---|
| 期間・回数 | 1年4ヶ月・12回(カウンセリング・検査・歯周病治療を含む) |
| 費用 | 自由診療:スタンダードインプラント✕6歯+骨造成+セラミック補綴✕8歯 合計 2,350,000円(税込2,585,000円) |
| リスク・副作用 |
|
| 曜日 | 月 | 火 | 水 | 木 | 金 | 土 |
|---|---|---|---|---|---|---|
| 診療開始 | 9:30 | 9:30 | 9:30 | 9:30 | 9:30 | 9:30 |
| 診療終了 | 18:30 | 18:30 | 13:00 | 18:30 | 18:30 | 17:00 |
※日曜・祝日診療は右記診療カレンダーをご覧下さい。
| 日 | 月 | 火 | 水 | 木 | 金 | 土 | ||||||||||||||
|---|---|---|---|---|---|---|---|---|---|---|---|---|---|---|---|---|---|---|---|---|
| ||||||||||||||||||||
| ||||||||||||||||||||
| ||||||||||||||||||||
| ||||||||||||||||||||
| ||||||||||||||||||||
| ||||||||||||||||||||
休診日
日曜・祝日診療
13時迄
明石以外でもアップル歯科の治療を受けられます
明石・神戸周辺のアップル歯科