上顎前突の舌側矯正による治療

HOME > 症例 > 上顎前突の舌側矯正による治療

インコグニートとマルチブラケットのコンビネーション矯正

歯並びと前に出ている感じが気になっていた当院のスタッフです。

Before

受付という職種柄、通常の装置の場合どうしてもそちらに目が行ってしまいます。 そのため、リンガルという歯の舌側に付けるブラケットで目立ちにくい矯正で業務に支障を来たすことなく歯並びを整えていきました。

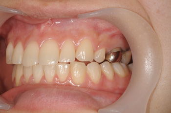
Process

矯正装置は、下の写真のように歯の裏側から着けますので正面からは見た目ではわかりません。今回の場合は、滑舌のことを考え、下の顎の歯は通常の表側に着けるブラケットで透明の「クリアブラケット」を使ったコンビネーション矯正にしています。

After

しっかりと歯並びも整い、咬み合わせが改善されました。

Before

Process

After

歯科で働くと、歯並びの大切さがよくわかってきます。そのため、歯科のスタッフは矯正治療をしている人が多くいます。当院でも多くの矯正治療経験者・矯正治療中のスタッフがいますので、矯正装置について生の声が聞きたい方は、お気軽にスタッフにお声掛け下さい。

治療の内容 インコグニート(舌側矯正)とマルチブラケット(クリア)のコンビネーションによる歯列矯正
期間・回数 2年4ヶ月・30回(カウンセリング・検査含む)
費用 自由診療:インコグニート(片顎)+マルチブラケット(クリア) 総額 1,400,000円(税込1,540,000円)
リスク・副作用
  • 歯磨きがわるい場合には、虫歯や歯肉炎が進行することがあります。
  • 顎関節が弱い方の場合、関節異常が出ることがあります。矯正治療中顎の関節に音がする、痛くなる、口が開きにくくなる、といったような症状が出た場合には直にお知らせください。その場合は顎関節症の治療をすることがあります。 長期の矯正治療により歯根吸収が生じる恐れがあります。
  • 歯ぐきや歯槽骨が多少やせることがあります。そのため、術前の状態より歯肉が退縮し、隙間ができることがあります。
  • 体質により金属アレルギーを引き起こす事があります。
  • 治療後、知覚過敏や痛みなどが出たり、吸収された骨が再生しなくなることがあります。
  • 歯肉が退縮して歯が長く見えたり、歯と歯の隙間が広くなったりすることもあります。

明石市でかかりつけの
歯医者をお探しの方へ

スライドします
曜日
診療開始 9:30 9:30 9:30 9:30 9:30 9:30
診療終了 18:30 18:30 13:00 18:30 18:30 17:00

休診日・診療日について

※日曜・祝日診療は右記診療カレンダーをご覧下さい。

診療カレンダー

2026年 5月
26
27
28
29
30
1
2
3
4
5
6
7
8
9
10
11
12
13
14
15
16
17
18
19
20
21
22
23
24
25
26
27
28
29
30
31
1
2
3
4
5
6

休診日

日曜・祝日診療

13時迄

明石アップル歯科への
アクセス・地図

明石以外でもアップル歯科の治療を受けられます

明石・神戸周辺のアップル歯科

明石市歯科

明石アップル歯科

明石アップル歯科

明石市大久保町高丘3-3-1

加古川市歯科

加古川アップル歯科

加古川アップル歯科

加古川市平岡町土山909-33

神戸市中央区歯科

三宮アップル歯科

三宮アップル歯科

神戸市中央区琴ノ緒町5-2-2 三信ビル3F

尼崎市歯科

アップル歯科尼崎駅前

アップル歯科尼崎駅前

尼崎市長洲本通1-4-18 ヴィラレオーネ 1F

伊丹市歯科

アップル歯科伊丹駅前

アップル歯科伊丹駅前

兵庫県伊丹市西台1丁目1番1号 伊丹阪急駅ビル4階

大阪市北区 梅田歯科

梅田アップル歯科

梅田アップル歯科

大阪市北区芝田2-3-9 EXCEL UMEDA 2F

大阪市中央区 なんば歯科

なんばアップル歯科

なんばアップル歯科

大阪市中央区難波千日前15-15 BRAVE難波503

枚方市 くずは歯科

枚方くずはアップル歯科

枚方くずはアップル歯科

枚方市楠葉花園町14-1 京阪くずは駅ビル2F

京都河原町歯科

アップル歯科京都河原町

アップル歯科京都河原町

京都市下京区奈良物町364 中央四条ビル3階

福岡市六本松周辺の歯科

アップル歯科六本松

アップル歯科六本松

福岡市中央区六本松2丁目5番1号 THE GROVE 3階

友だち追加

Copyight© 2019 Apple Dental Clinic. All Right Reserved.

Page Top