審美歯科という言葉はあくまで通称であり、歯科の正式な診療科目「審美歯科」という標榜は存在しません。また、明確には定義されておらず、一般的には、歯の見た目を美しく改善することを目的とした歯科治療という意味で使用されていることが多いです。
審美歯科治療では、見た目を第一に考えた治療を行いますが、アップル歯科のような総合的な歯科治療を提供する歯科では、どんな治療においても「機能面」や「咬み合わせ」を考慮した治療を行うことがほとんどです。治療後するの美しさだけではなく、治療した後も永続的に歯を美しく、健康的に長持ちさせるための治療を考え、治療計画を立てることがほとんです。
例えば、歯並び矯正やホワイトニングを希望される方は、外見を整えることが目的である場合がほとんどです。しかし、見た目だけでなく、しっかり咬み合わせを作ることで咀嚼を改善したり、顎への負担や歯の根にかかる力をコントロールしたり、むし歯や歯周病のリスクも下げる治療を検討することが、私達にとっての審美治療となります。
歯の見た目を美しくするためには主に上記3つがポイントとなります。
審美歯科の治療では、むし歯や歯周病の治療を行いつつ、歯並びや歯の色、形も改善できます。美容面と機能面の両方を改善することは、歯の健康を長く保つことにつながります。決して、見た目を重視するため、機能性を犠牲にするような治療は行うことはあってはなりません。
また、歯や歯並びを整えるだけでなく、顔とのバランス・Eライン(エステティックラインという理想的な美しい横顔の基準となる線)なども考慮して治療をすることもあります。
歯を白くする審美治療
歯の黄ばみを薬剤で漂白する施術です。ホワイトニング剤には過酸化尿素や過酸化水素が含まれており、コーヒーや紅茶、喫煙による着色を分解して白くする作用があります。
歯石などが歯に付着している状態ですと、十分な効果が得られないため、まずは歯のクリーニングを行うことをおすすめします。
クリーニングをしっかりと行うことで、薬剤をしっかりと歯に染み込ませることができ、
ホワイトニングは歯科医院で施術を行うホームホワイトニング、ご自宅で行うホームホワイトニングの2種類に分けられますが、いずれも永久に白さが持続するわけではないため定期的に施術する必要があります。
歯の形や歯並びを整える審美治療
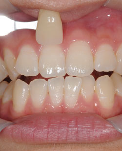
前歯のすきっ歯や変色、歯並びなどが気になる際に、セラミックで作ったシェルを歯の表面に貼り付けて見た目を改善する施術です。歯につける取れない(取れにくい)付け爪のようなものをイメージしていただければわかりやすいと思います。
天然歯を薄く削り、理想的な形状にしたセラミックを歯に貼り付くけますので、色味や形にもこだわったものが作成できます。
歯の形や色を整えた審美回復
セラミックという材料でできた被せものです。光沢感・透明感ともに天然歯に近い美しさが特長です。
保険適用される被せ物に「CAD&CAM冠」という白い硬質レジンの歯がありますが、こちらはセラミックとは別物となります。色・ツヤ・風合い・強度・汚れにくさなど、あらゆる面においてセラミックが勝ります。
また、表面に凹凸がなくツルツルとているので、プラークが付着しにくくむし歯や歯周病のリスクを下げるという特長も持ち合わせています。
歯並びを整える治療
歯並びや咬み合わせを整えることで、見た目の改善はもちろん、しっかりとした咀嚼や顎・歯の根へのダメージや負担を軽減した咬合へと改善していきます。
また、不正咬合は歯並びがデコボコに並んでいるケースもあり、これを改善することで歯ブラシが行き届きやすくなるため、むし歯や歯周病のリスクを下げる効果も期待できます。
歯列矯正は大きく分けてワイヤー矯正(歯の表側・裏側)とマウスピース矯正の2種類ありますが、咬み合わせの状態や難易度によって選択肢は異なってきます。傾向としては、年々マウスピースタイプの矯正装置で治療する方が増えてきています。
健康保険というのは、病気や怪我の治療費に対して支払われる保険です。そこには厳密なルールがあり、審美歯科のように審美目的(見た目の改善が目的)として行う治療は、公的健康保険の対象には含まれません。そのため、審美治療は概ね保険の効かない「自由診療」となります。美容整形に保険が効かないのも同じ意味合いになります。
また、保険診療でできる治療には決まりがあり、セラミックなどの高価な素材は使用することができません。
しかし、たとえ費用をかけてでも、見た目を改善することで今後の人生に影響を与えたり、これまで悩んでいたコンプレックスを解消することで、これからのクオリティ・オブ・ライフをより良いものにできる可能性も多いにあります。あなたが望む「見た目」の改善について、どれほどの高価と期待が持てるのか、じっくり検討して決めて頂ければと思います。
審美歯科治療のよくある失敗としては、「せっかく治したけど今度は噛めなくなった」「数年後、治療した歯を抜かなければならなくなった」「滑舌がおかしくなった」など、機能的な不調に陥ってしまうことです。当院にもこのようなお悩みで来られる患者さんは年々増えていますが、これらの多くは「見た目」だけに焦点を当ててしまったがために、咬み合わせを考慮していない治療をしてしまったことによります。
「キレイにしたいけど費用は抑えたい」「時間を省けるなら歯を削ってもいい」など、甘い話に乗ってしまったがために取り返しのつかないことになってしまうこともあります。審美歯科は歯科治療の一貫ですので、「見た目」「機能・咬み合わせ」を考えた治療をしてくれる歯科医師を見極める必要があります。
当院では、「見た目」の治療においても必ず「咬み合わせ」を考えた治療をご提案することを徹底しています。怪我や病気だけでなく、見た目の悩みも改善するのが歯科医師の仕事であると考えていますので、お口にコンプレックスがあるならばお気軽にご相談にお越し下さい。
この記事の編集・責任者は歯科医師の井津上卓也です。
歯科医師 井津上 卓也

| 曜日 | 月 | 火 | 水 | 木 | 金 | 土 |
|---|---|---|---|---|---|---|
| 診療開始 | 9:30 | 9:30 | 9:30 | 9:30 | 9:30 | 9:30 |
| 診療終了 | 18:30 | 18:30 | 13:00 | 18:30 | 18:30 | 17:00 |
※日曜・祝日診療は右記診療カレンダーをご覧下さい。
| 日 | 月 | 火 | 水 | 木 | 金 | 土 | ||||||||||||||
|---|---|---|---|---|---|---|---|---|---|---|---|---|---|---|---|---|---|---|---|---|
| ||||||||||||||||||||
| ||||||||||||||||||||
| ||||||||||||||||||||
| ||||||||||||||||||||
| ||||||||||||||||||||
| ||||||||||||||||||||
休診日
日曜・祝日診療
13時迄
明石以外でもアップル歯科の治療を受けられます
明石・神戸周辺のアップル歯科