通常、歯列矯正とは、上顎14本・下顎14本の合計28本の歯すべての咬み合わせに対し全体的的に歯を動かし、正常な咬合を作る治療です。
そのためお口全体にマルチブラケットという装置を貼り付け、ワイヤーで引っ張って歯を動かすというやり方が一般的でした。
しかし、人によっては「前歯だけで良い」「一部の歯だけ」というご要望は、昔から相当数ありました。それに対し、歯科医師の意見としては「全部動かさないと無理」という考え方が基本にあり、部分的に歯を動かすことのリスクを考えると、なかなか手がつけられないというのが本音でした。
しかし近年では、矯正装置の新たな開発や進化により、少しずつですがこの「前歯だけの治療」に対するご要望にお応えできる治療ができてきています。もちろん、適応症例はまだまだ限られますが、昔に比べ多くの症例が部分矯正の適応なってきたことは確かです。
部分矯正を希望される患者様の中でも、特にご要望が多いのが「前歯の部分矯正」です。
「前歯のねじれだけ治したい」「すきっ歯を治したい」「前歯のデコボコだけ治したい」などご要望は様々です。
前歯の部分矯正の方法は、主に2種類あります。
いずれの方法も適応範囲は限られていますが、当院の場合前歯の咬み合わせを変えることで全体的な咬合関係に影響を出さないために奥歯の咬み合わせを考えて治療を行います。そのため、マウスピース矯正の方が適応範囲が広く、積極的に治療を行っています。
マウスピース型の矯正装置は、最近になって頻繁に使われるようになった矯正装置です。
当院では、前歯の部分矯正に対し、主にインビザラインという歯科先進国アメリカのアライン・テクノロジー社が開発した装置、中でも部分矯正は前歯専用のインビザラインGoという矯正装置を導入しています。インビザラインは世界1200万人以上(2022年現在)が矯正治療に使用した実績がある、マウスピース矯正のフロンティア的メーカーです。
しかしながら、インビザラインを使えば問題なく治療ができるというわけではありません。インビザライン矯正においても、歯科医師の設計や診断がその治療に大きく関わってきますので、患者さんにとっては、歯科医院選びも重要となってきます。
前歯のみのデコボコがある場合。重なりが強い場合は全体矯正が必要です。
前歯のすきっ歯。マウスピース型矯正装置が得意とする咬み合わせです。
1歯程度の歯のねじれ。ねじれを戻すスペースがない場合は全体矯正が必要です。
その他、部分的な反対咬合や歯の向きのみの前突、限定的な開咬も治療可能な場合はあります。しかし、症例的には適応範囲がごく限られていますので、これらの咬み合わせは基本的に難しい事が多いです。
部分矯正が可能かどうかは、「奥歯がしっかり噛んでいる」ということが大きなポイントとなります。
前歯の部分矯正を行う装置は、主に2つになります
ワイヤー矯正は難易度によって、マウスピース矯正は選択する装置によって費用は異なってきます。
期間は、年齢や咬み合わせの状態などによって個人差はありますが、概ねどちらも同じぐらいの治療期間を必要とします。
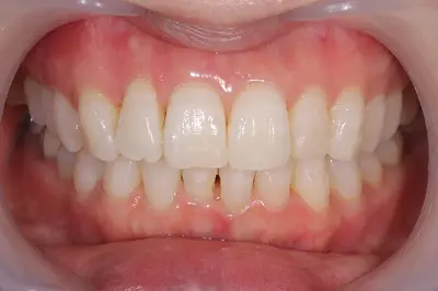
Before


After


| 治療の内容 | マウスピース型矯正装置(インビザラインGo)による前歯の叢生治療 |
|---|---|
| 期間・回数 | 6ヶ月・6回(カウンセリング・検査含む) |
| 費用 | 自由診療:マウスピース型矯正装置(部分矯正) 総額 400,000円(税込 440,000円) |
| リスク・副作用 |
|
Before


After


| 治療の内容 | マウスピース型矯正装置(インビザラインGo)による正中離開の治療 |
|---|---|
| 期間・回数 | 7ヶ月・6回(カウンセリング・検査含む) |
| 費用 | 自由診療:マウスピース型矯正装置(部分矯正) 総額 400,000円(税込 440,000円) |
| リスク・副作用 |
|
前歯の部分矯正に関しては誰にでも提供できるものではありません。
それは、まず適応症例が限られているためです。適応症例は装置の進化とともに良くはなっていますが、どれだけ装置が良くなっても奥歯や周りの歯を動かさなければ歯を並べらない咬み合わせに対しては、やはり全体矯正が必要になります。
ただ、現在ではiTeroという光学式口腔内スキャナーを使うことで、インビザラインGoによる部分矯正でどの程度歯が動くか、シミュレーションで見ることもできます。
シミュレーションは撮影を含めて15〜20分程度。当院では、自分の前歯が部分矯正で治るか知りたいという方に対し、このiTeroによるシミュレーションをオススメしています。
もちろん、アップル歯科には全医院このiTeroを導入しています。前歯の歯並びが気になる方はお気軽にご相談下さい。
この記事の編集・責任者は歯科医師の井津上卓也です。
歯科医師 井津上 卓也

| 曜日 | 月 | 火 | 水 | 木 | 金 | 土 |
|---|---|---|---|---|---|---|
| 診療開始 | 9:30 | 9:30 | 9:30 | 9:30 | 9:30 | 9:30 |
| 診療終了 | 18:30 | 18:30 | 13:00 | 18:30 | 18:30 | 17:00 |
※日曜・祝日診療は右記診療カレンダーをご覧下さい。
| 日 | 月 | 火 | 水 | 木 | 金 | 土 | ||||||||||||||
|---|---|---|---|---|---|---|---|---|---|---|---|---|---|---|---|---|---|---|---|---|
| ||||||||||||||||||||
| ||||||||||||||||||||
| ||||||||||||||||||||
| ||||||||||||||||||||
| ||||||||||||||||||||
| ||||||||||||||||||||
休診日
日曜・祝日診療
13時迄
明石以外でもアップル歯科の治療を受けられます
明石・神戸周辺のアップル歯科