義歯治療からAll-on-4治療に移行された患者様

HOME > 症例 > 義歯治療からAll-on-4治療に移行された患者様

全顎オールオン4による治療

最初は義歯治療で来られた患者様です。お仕事の都合で最初は即時義歯(歯を抜いてすぐに義歯を入れる)で対応させていただきましたが、やはり年々他の歯がグラグラになり、義歯も合わなくなってきたとのことでした。そのため、全体的に治療することとなりオールオン4で治療をすることになりました。

Before

歯ぎしりも強い方でしたので、ナイトガードでの咬み合わせからの歯の保護など、特に注意していただきました。

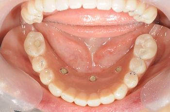
After

骨の状態が少し厳しかったですが、骨盛りの治療や、メインテナンスなどでプラークコントロールを行い、無時最終の歯が入りました。新しい歯に慣れるまでに少しかかりましたが、少しずつ調整することにより、問題なく咬むことができるようになりました。

Before

After

今後もメインテナンスに定期的に通っていただき、改善されたお口の健康を保っていただけるように努めていきます。

治療の内容 上下額オールオン4と骨造成による治療。
期間・回数 2年1ヶ月・20回(カウンセリング・検査・歯周病治療含む)
費用 自由診療:上下オールオン4+骨造成 総額 5,200,000円(税込 5,720,000円)
リスク・副作用
  • インプラント手術後、まれに唇、舌、頬、歯肉そして歯牙の感覚マヒが一時的に発生する場合もあります。また、近接歯牙、顎、上顎洞、鼻腔に対する炎症、疼痛、過敏症、組織治癒の遅延及び顔面部の内出血(紫斑や黄斑など)が避けられない方もまれにおられます。術後、3~4日目になると腫れ止めが切れるため傷口が腫れてきますが、殆どの場合、1週間程度で傷口は治ります。
  • 術中に、歯牙や骨の状態により手術内容が予定より変更することも起こりえます。
  • 術中に、予定していた骨の量が足りない場合には、追加の骨造成が必要になることがあります。(治療代5万円)
  • 喫煙、飲酒は正常な治療の妨げとなります。術後1週間は控えてください。
  • 処方された薬剤の服用により吐き気、めまい、眠気、咳、お腹が緩くなるなど一時的な副作用が現れることがあります。
  • インプラントの耐久性は、天然歯同様、口腔衛生状態(喫煙の有無、喫煙者の協力度、咬合力、咬み合わせ、骨量、歯肉量、歯磨き、メンテナンス)により変化します。
  • 成長過程にある方、免疫不全や1型糖尿病の方、放射線治療を受けられている方、ホルモン治療を受けられている方は治療出来ない場合があります。
  • 食いしばり・歯ぎしりが強い場合、上部構造が破損する恐れがあります。
  • 血圧が高い場合、手術ができないことがあります。
  • 骨量が少ない場合はAll-on-4治療の手術自体ができない場合があります。
タグ: , ,

義歯治療からAll-on-4治療に移行された患者様 | 公開日: 2011/09/06 | 更新日: 2021/10/15 | by 明石アップル歯科

このページの関連記事

明石市でかかりつけの
歯医者をお探しの方へ

スライドします
曜日
診療開始 9:30 9:30 9:30 9:30 9:30 9:30
診療終了 18:30 18:30 13:00 18:30 18:30 17:00

休診日・診療日について

※日曜・祝日診療は右記診療カレンダーをご覧下さい。

診療カレンダー

2026年 5月
26
27
28
29
30
1
2
3
4
5
6
7
8
9
10
11
12
13
14
15
16
17
18
19
20
21
22
23
24
25
26
27
28
29
30
31
1
2
3
4
5
6

休診日

日曜・祝日診療

13時迄

明石アップル歯科への
アクセス・地図

明石以外でもアップル歯科の治療を受けられます

明石・神戸周辺のアップル歯科

明石市歯科

明石アップル歯科

明石アップル歯科

明石市大久保町高丘3-3-1

加古川市歯科

加古川アップル歯科

加古川アップル歯科

加古川市平岡町土山909-33

神戸市中央区歯科

三宮アップル歯科

三宮アップル歯科

神戸市中央区琴ノ緒町5-2-2 三信ビル3F

尼崎市歯科

アップル歯科尼崎駅前

アップル歯科尼崎駅前

尼崎市長洲本通1-4-18 ヴィラレオーネ 1F

伊丹市歯科

アップル歯科伊丹駅前

アップル歯科伊丹駅前

兵庫県伊丹市西台1丁目1番1号 伊丹阪急駅ビル4階

大阪市北区 梅田歯科

梅田アップル歯科

梅田アップル歯科

大阪市北区芝田2-3-9 EXCEL UMEDA 2F

大阪市中央区 なんば歯科

なんばアップル歯科

なんばアップル歯科

大阪市中央区難波千日前15-15 BRAVE難波503

枚方市 くずは歯科

枚方くずはアップル歯科

枚方くずはアップル歯科

枚方市楠葉花園町14-1 京阪くずは駅ビル2F

京都河原町歯科

アップル歯科京都河原町

アップル歯科京都河原町

京都市下京区奈良物町364 中央四条ビル3階

福岡市六本松周辺の歯科

アップル歯科六本松

アップル歯科六本松

福岡市中央区六本松2丁目5番1号 THE GROVE 3階

友だち追加

Copyight© 2019 Apple Dental Clinic. All Right Reserved.

Page Top