八重歯はマウスピース矯正で治せる?費用や期間、注意点を解説

HOME > ウィキ歯ディア【歯の豆知識】 > 八重歯はマウスピース矯正で治せる?費用や期間、注意点を解説

笑ったときに唇からのぞく八重歯が気になり、思い切り笑えずに悩んでいる方は多いのではないでしょうか。八重歯を治したいけれど、ワイヤー矯正の見た目や痛みに抵抗があり、目立たないマウスピース矯正に関心を持つ方が増えています。

この記事では、マウスピース矯正で八重歯を治すための条件や、治療にかかる具体的な費用と期間について詳しく解説します。

読み終わる頃には、自分の八重歯がマウスピース矯正で治せる可能性があるのか、そして治療を始めるために何から準備すればよいかの指針が見えてくるはずです。理想の歯並びを目指し、自信を持って笑顔になれる未来への第一歩を踏み出しましょう。

監修:井津上 卓也いづがみ たくや先生 明石アップル歯科 歯科医師

八重歯はマウスピース矯正で治せますか?

結論からいうと、多くの八重歯はマウスピース矯正で治すことができます。マウスピース矯正の技術は年々進化しており、以前はワイヤー矯正でなければ難しいとされていた症例でも、現在では治療が可能になっているケースが増えています。しかし、すべての八重歯が必ず治せるわけではなく、歯の状態や骨格によっては適応外となることもあります。ここでは、治療の可否について詳しく見ていきましょう。

【関連記事】八重歯の矯正方法・費用・期間を歯科医師が解説 – 明石アップル歯科

多くの八重歯は治療の対象になる

一般的な八重歯のケースであれば、マウスピース矯正で十分に改善が見込めます(※1)。八重歯は専門的には「叢生(そうせい)」や「乱杭歯(らんぐいば)」の一種とされ、顎のスペース不足により歯が正しい位置に収まりきらず、列からはみ出してしまった状態を指します。

マウスピース矯正では、歯列全体を奥歯側へ移動させたり、歯の側面をわずかに削ってスペースを作ったりすることで、はみ出した八重歯を正しい位置に誘導します。軽度から中程度の八重歯であれば、インビザラインなどをはじめとするマウスピース矯正システムが得意とする動きで対応できることが多いです。

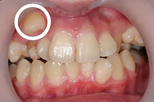
一般的な八重歯の症例

※1)there was substantial consistency among studies that the Invisalign® system is a viable alternative to conventional orthodontic therapy in the correction of mild to moderate malocclusions in non-growing patients that do not require extraction. (訳:Invisalign®は、抜歯を必要としない非成長期患者の軽度〜中等度不正咬合の矯正において、従来の矯正治療の代替となり得る)

症例によっては治療が難しい場合も

一方で、マウスピース矯正だけでは治療が難しいケースも存在します(※2)。例えば、八重歯の原因が歯の並び方だけでなく、顎の骨格そのもののズレに起因している場合や、八重歯が極端に高い位置に生えていて歯根の移動距離が非常に長い場合です。

このような難症例では、歯を大きく平行移動させる力が強いワイヤー矯正の方が適していることや、外科手術を併用する必要が出てくることもあります。無理にマウスピースだけで治そうとすると、治療期間が過度に長引いたり、満足のいく仕上がりにならなかったりするリスクがあります。より適した治療法を検討することが重要です。

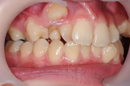
難症例の八重歯のイメージ

※2)Moreover, Invisalign® aligners can predictably level, tip, and derotate teeth (except for cuspids and premolars). On the other hand, limited efficacy was identified in arch expansion through bodily tooth movement, extraction space closure, corrections of occlusal contacts, and larger antero-posterior and vertical discrepancies.(訳:Invisalign®のアライナーは、歯のレベリング・傾斜・回転修正を比較的予測可能に行えるが、犬歯や小臼歯は例外となり得る。)

まずは歯科医師への相談が必須

ご自身の八重歯がマウスピース矯正で治せるかどうかを自己判断するのは非常に困難です。正確な判断には、歯科医院でのレントゲン撮影や3Dスキャナーを用いた精密検査が必要です。

多くのクリニックでは初回のカウンセリングを無料または低価格で行っており、そこで簡易的なシミュレーションを見せてもらえることもあります。

まずは専門家である歯科医師に相談し、医学的な見地から診断を受けることが、治療成功に向けた大切なステップとなります。

歯科医師との相談

八重歯をマウスピースで矯正するメリット

八重歯の治療方法としてマウスピース矯正を選ぶことには、ワイヤー矯正にはない多くのメリットがあります。特に社会人や学生の方にとって、日常生活への影響を最小限に抑えられる点は大きな魅力です。

メリット 具体的な内容
目立ちにくい 透明なプラスチック製のため、装着していても周囲に気づかれにくい
取り外し可能 食事や歯磨きの際に外せるため、衛生的で食事制限もない
痛みが少ない 段階的に歯を動かすため、ワイヤーのような強い締め付け感が少ない
通院が少なめ 1〜2ヶ月に1回の通院で済む場合が多く、忙しい人でも続けやすい

矯正装置が目立ちにくく気づかれない

マウスピース矯正の最大のメリットは、装置が透明で目立ちにくいことです。厚さ0.5mm程度の薄い透明なプラスチックで作られているため、装着した状態で会話をしても、相手に矯正をしていることは気づかれにくいでしょう。

接客業や営業職など人前に出る機会が多い仕事をしている方や、結婚式などの大切なイベントを控えている方にとって、見た目を変えずに治療を進められるのは大きな安心材料となります。八重歯を治したいけれど、金属のワイヤーが見えるのは嫌だという方には最適な選択肢といえるでしょう。

【関連記事】目立たない矯正の種類と費用は?後悔しないための選び方を解説 – 明石アップル歯科

目立たない矯正装置

食事や歯磨きの際に取り外し可能

固定式のワイヤー矯正とは異なり、マウスピースは自分で自由に取り外しができます。食事の際は装置を外して普段通りに好きなものを食べることができるため、カレーやコーヒーのような着色しやすいものや、ガムやキャラメルのような粘着性の高いものでも我慢する必要がありません。

また、歯磨きの際も装置を外せるため、フロスや歯間ブラシを使って普段通りにケアができます。

矯正中は虫歯のリスクが高まりがちですが、マウスピース矯正なら口内を清潔に保ちやすく、虫歯や歯周病のリスクを抑えやすいという利点があります。

アライナー取り外しシーン

※4)Patients treated with Invisalign® have a better periodontal health and greater satisfaction during orthodontic treatment than patients treated with FOA.(訳:Invisalign®患者は、固定式矯正(FOA)患者より歯周(歯肉)状態が良好で、満足度も高い。)

ワイヤー矯正よりも痛みが少ない傾向

一般的に、マウスピース矯正はワイヤー矯正に比べて痛みが少ないと言われています(※3)。ワイヤー矯正は月に一度の調整時に強い力をかけて歯を動かすため、調整直後の数日間は痛みで食事が辛いことがあります。

対してマウスピース矯正は、1枚のマウスピースで動かす歯の移動量が0.25mm程度と非常に小さく設計されています。1週間から2週間ごとに新しいマウスピースに交換しながら、少しずつ持続的な力をかけていくため、過度な痛みを抑えることができます。全く痛みがないわけではありませんが、多くの患者様が「締め付けられるような違和感」程度で済むと感じています。

【関連記事】矯正の痛みはいつまで続く?原因とすぐに試せる5つの対処法を徹底解説! – 明石アップル歯科

ワイヤー矯正の痛みイメージ

※3)Patients treated with traditional fixed appliances reported greater discomfort and consumed more analgesics than patients treated with aligners.(訳:ワイヤー矯正患者は、アライナー患者より不快感が強く、鎮痛薬の使用も多かった。)

通院回数を抑えられる可能性がある

マウスピース矯正は、自宅で患者様自身がマウスピースを交換して治療を進めていくスタイルです。そのため、トラブルがない限り、通院頻度は1ヶ月から2ヶ月、場合によっては3ヶ月に1回程度で済むことがあります。

ワイヤー矯正の場合は装置の調整や結紮(けっさつ)のために月1回の通院が必須となることが多いですが、マウスピース矯正なら忙しい社会人や遠方から通う方でもスケジュール調整がしやすくなります。通院にかかる時間や交通費の負担を減らせる点も、現代のライフスタイルに合ったメリットといえます。

スケジュール帳

八重歯のマウスピース矯正で注意すべきこと

メリットの多いマウスピース矯正ですが、治療を成功させるためには知っておくべき注意点やデメリットも存在します。これらを理解せずに安易に始めると、治療が計画通りに進まなかったり、追加の処置が必要になったりすることがあります。後悔しないために、以下の3つのポイントを事前に把握しておきましょう。

自己管理が治療結果を大きく左右する

マウスピース矯正は「取り外せること」がメリットである反面、それは「自分で装着時間を管理しなければならない」というデメリットにもなり得ます。治療計画通りに歯を動かすためには、1日20時間以上の装着が推奨されています。

食事と歯磨きの時間以外は常に装着し続ける必要があり、もし装着時間が守られないと歯が予定通りに移動しません。その結果、マウスピースが合わなくなり、再製作が必要になったり、治療期間が大幅に延びたりするリスクがあります。ご自身の意志でしっかりと管理を続ける自己規律が求められる治療法であることを理解しておきましょう。

マウスピースの着脱

対応できない重度の症例が存在する

先述の通り、すべての八重歯がマウスピース矯正で治るわけではありません。八重歯が完全に歯列から飛び出していて重なりが著しい場合や、上下の顎の位置関係に大きなズレがある骨格性の問題については、マウスピース単独での治療が困難なことがあります。

無理に適応外の症例をマウスピースで治療しようとすると、歯茎が下がってしまう「歯肉退縮」や、咬み合わせが悪化するトラブルを招く可能性があります。ご自身の歯並びがマウスピース矯正に適しているか、またはワイヤー矯正との併用が必要かについて、信頼できる医師の診断を仰ぐことが重要です。

装着時間の重要性

抜歯や歯の研磨が必要になることも

八重歯を正しい位置に収めるためには、歯を並べるためのスペースを確保しなければなりません。顎が小さくスペースが著しく不足している場合は、小臼歯などの抜歯が必要になることがあります。

また、抜歯まではしなくても、歯の側面をわずかに削って隙間を作る「IPR(ストリッピング)」という処置が必要になるケースも多くあります。健康な歯を削ることに抵抗がある方もいらっしゃるかもしれませんが、これはエナメル質の範囲内で行う安全な処置であり、歯の寿命に影響を与えることはほとんどありません。

きれいな歯並びを実現するための必要な処置として、事前に説明を受けておくことが大切です。

抜歯のイメージ

【関連記事】非抜歯矯正・4本抜歯、歯列矯正で抜歯は必要? – 明石アップル歯科

マウスピース矯正が適した八重歯の特徴

どのような八重歯であれば、マウスピース矯正できれいに治るのでしょうか。適応症例にはいくつかの共通点があります。ご自身の歯並びがこれらに当てはまるかどうかを確認することで、治療のイメージが湧きやすくなるでしょう。ただし、最終的な判断は必ず歯科医師の判断を仰ぐ必要があります。

【関連記事】矯正の種類を徹底比較!あなたに合う治療法を見つけて理想の歯並びに – 明石アップル歯科

歯を動かすスペースが確保できる

八重歯を列に戻すためには、その歯が入るための隙間が必要です。奥歯を後方へ移動させることでスペースを作れる場合や、歯列のアーチを横に広げることで隙間が確保できる場合は、マウスピース矯正が非常に適しています。

特にマウスピース矯正は、奥歯を後ろに送る動きが得意とされています。親知らずを抜歯してスペースを作り、全体的に歯を後ろに下げることで、前歯のガタツキを解消できるケースは、マウスピース矯正の良い適応例といえます。

歯のスペースの作り方

軽度から中程度の八重歯である

八重歯の飛び出し方が軽度から中程度であれば、マウスピース矯正でスムーズに治療が進む傾向にあります。具体的には、八重歯が隣の歯と半分以上重なっていない、あるいは歯の高さが極端に違わないといった状態です。

このようなケースでは、マウスピースによる持続的な力で徐々に歯をコントロールしやすく、比較的短期間で効果を実感できることが多いです。アタッチメントと呼ばれる突起を歯につけることで、より確実に力を加え、回転や傾きを修正することも可能です。

軽度の叢生

咬み合わせに大きな問題がない

奥歯の咬み合わせが正常で、前歯の並びだけが乱れている場合も、マウスピース矯正に適しています。骨格的なズレがなく、あくまで歯の位置異常だけの問題であれば、歯の移動だけで見た目と機能を改善できるからです。

逆に、受け口や出っ歯など骨格的な問題を併発している八重歯の場合は、マウスピースだけでは根本的な解決が難しいことがあります。ご自身の咬み合わせの状態も、治療法を選ぶ上で重要な判断基準となります。

受け口の模型

マウスピース矯正が難しい八重歯の特徴

一方で、マウスピース矯正では難易度が高い、あるいは不向きとされる八重歯の特徴もあります。これらの特徴に当てはまる場合、ワイヤー矯正を勧められるか、あるいは「インビザライン」などの高機能なシステムを用いた経験豊富な医師による治療が必要となります。

重度の叢生(歯のガタガタ)を伴う

八重歯だけでなく、隣り合う歯が複雑に重なり合っていたり、歯列全体が大きく乱れていたりする「重度の叢生」の場合、マウスピース矯正の難易度は上がります。マウスピースは歯全体を包み込んで力をかけますが、重なりが強すぎるとマウスピースがうまく歯にフィットせず、計画通りの力が伝わらないことがあるためです。

また、逆にマウスピース矯正でほぼほぼ歯がキレイに並んでも、最後にほんの少し調整が必要な場合もあります。

このような場合は、マウスピース矯正の最初もしくは最後の数ヶ月だけワイヤー矯正で歯をを並べる「コンビネーション治療」が推奨されます。

マウスピース矯正とワイヤー矯正

骨格的な問題が原因となっている

上顎と下顎の大きさに極端な差がある、あるいは顎の位置が左右にズレているといった骨格的な問題が背景にある場合、マウスピース矯正単独での治療は困難です。

骨格のズレを治すには、外科手術を伴う外科的矯正治療が必要になることもあります。また、骨格的なズレをカバーしながら歯並びだけを整える「カモフラージュ矯正」を行う場合でも、歯の移動距離が大きくなるため、ワイヤー矯正の方が効率的かつ確実なケースが多いのが実情です。

骨格のイメージ

歯が大きくねじれて生えている

八重歯が90度近くねじれて生えている(捻転歯)場合や、歯茎のかなり高い位置から生えている場合も注意が必要です。円柱状の歯を回転させる動きや、歯を歯茎から引っ張り出す動きは、マウスピース矯正が不得意とする動きの一つです。

もちろん、アタッチメントやゴムかけを併用することで対応できることもありますが、治療期間が長引く可能性があります。このような動きが必要な箇所に対しては、部分的ワイヤー矯正を併用する方が、結果的に早くきれいに仕上がることもあります。

高い位置に生えた八重歯

八重歯のマウスピース矯正治療の基本的な流れ

実際にマウスピース矯正を始める場合、どのようなステップで治療が進んでいくのでしょうか。ここでは一般的な治療の流れを5つの手順で解説します。全体の流れを把握しておくことで、見通しを持って治療に臨むことができます。

手順1
カウンセリングと精密検査

まずは歯科医院でカウンセリングを受けます。歯並びの悩みや希望を伝え、治療の概要や費用の目安について説明を受けます。治療を前向きに検討する場合は、レントゲン撮影、口腔内写真撮影、歯型取り(3Dスキャン)などの精密検査を行います。この検査結果をもとに、詳細な診断が行われます。

カウンセリング

手順2
治療計画の作成とシミュレーション

精密検査のデータを基に、歯科医師が治療計画を作成します。多くのマウスピース矯正システムでは、治療開始から終了までの歯の動きを3Dシミュレーション画面で確認することができます。自分の八重歯がどのように動いていくのかを視覚的に確認できるため、治療へのモチベーションが高まる瞬間です。この段階で、最終的な費用や期間も確定します。

シミュレーション

手順3
マウスピースの作製と装着開始

治療計画に同意すると、マウスピースが発注・製造されます。完成したマウスピースが届いたら、いよいよ治療開始です。歯科医院で着脱の練習や取り扱いの説明を受け、最初のマウスピースを装着します。必要に応じて、歯の表面にアタッチメントを装着したり、IPR(歯の研磨)を行ったりすることもあります。

治療開始

手順4
定期的な通院と経過観察

治療期間中は、1〜2ヶ月に1回程度のペースで通院し、歯の動きが計画通りに進んでいるかチェックを受けます。順調であれば、次のステップのマウスピースを数枚分まとめて受け取ります。ご自宅では、医師の指示に従って1〜2週間ごとに新しいマウスピースに交換し、1日20時間以上の装着を継続します。

経過観察

手順5
保定期間(リテーナーの装着)

すべてのマウスピースの装着が終わり、歯並びがきれいに整ったら「動的治療」は終了です。しかし、移動したばかりの歯は元の位置に戻ろうとする「後戻り」のリスクがあります。これを防ぐために「リテーナー」と呼ばれる保定装置を装着します。保定期間は、歯を動かした期間と同じくらい、あるいはそれ以上必要とされ、美しい歯並びを長く維持するために非常に重要な期間です。

保定装置

八重歯のマウスピース矯正費用と期間の目安

治療を検討する上で最も気になるのが、費用と期間ではないでしょうか。マウスピース矯正は自由診療(保険適用外)となるため、クリニックや使用する装置の種類によって料金設定が異なります。ここでは一般的な相場について解説します。

治療範囲 費用の目安 治療期間の目安
全体矯正 80万円〜120万円 1年半〜3年
部分矯正 30万円〜60万円 半年〜1年半

費用の相場は80~100万円程度

八重歯を含む歯列全体を動かして咬み合わせまで整える「全体矯正」の場合、費用の相場は80万円から100万円程度です。インビザラインなどの主要なブランドでは、この価格帯が一般的です。

一方、前歯の見える範囲だけを整える「部分矯正」で対応できる軽度の八重歯であれば、30万円から60万円程度で済むこともあります。ただし、八重歯はスペース不足が原因であることが多いため、部分矯正だけで無理に並べようとすると出っ歯になるリスクもあり、適応できるケースは限定されます。必ず精密検査での診断が必要です。

医療費イメージ

治療期間の目安は1~3年程度

治療期間は、歯を動かす距離や本数によって大きく変動します。全体矯正の場合、平均して1年半から3年程度かかることが一般的です。歯を大きく動かす必要がある場合や、抜歯を伴う場合は、期間が長くなる傾向にあります。

部分矯正であれば、半年から1年半程度で終了することもあります。また、治療が完了した後も、歯並びを安定させるための保定期間(リテーナー装着期間)が別途必要になることを忘れてはいけません。保定期間も含めると、トータルで数年単位の付き合いになると考えておきましょう。

治療期間のイメージ

デンタルローンなどの支払い方法もある

高額な治療費を一括で支払うのが難しい場合は、デンタルローンや院内分割払いを利用できるクリニックが多くあります。デンタルローンを利用すれば、月々数千円から1万円程度の支払いで治療を始めることが可能です。

また、矯正治療は医療費控除の対象になる場合があります。「美容目的」と判断されると対象外ですが、八重歯によって咬み合わせや咀嚼機能に問題があると診断されれば対象となる可能性があります。確定申告をすることで税金の一部が還付され、実質的な負担額を減らせる場合があるため、詳しくは管轄の税務署や歯科医師に確認してみましょう。

電卓

後悔しないためのクリニック選びのポイント

マウスピース矯正を提供するクリニックは増えていますが、どこで受けても同じ結果になるわけではありません。医師の技術や経験によって、仕上がりには大きな差が出ます。後悔しないためにチェックすべきクリニック選びのポイントをご紹介します。

矯正治療の経験が豊富な医師を選ぶ

マウスピース矯正は、AIによるシミュレーションが活用されますが、その計画を最終的に調整し決定するのは歯科医師です。経験豊富な医師は、シミュレーション上の動きと実際の歯の動きの誤差を予測し、より現実的で安全な計画を立てることができます。

その歯科医師がマウスピース矯正の資格を持っているか、あるいは年間の症例数がどれくらいあるかを確認しましょう。「インビザライン・ダイヤモンドプロバイダー」などのステータスも、実績を測る一つの目安になります。

歯科医師

精密な検査ができる設備が整っている

安全で正確な治療を行うためには、精密な検査が欠かせません。頭部の骨格を2次元で把握できる「セファロレントゲン」や、歯型をデジタルデータとして正確に読み取る「口腔内3Dスキャナー(iTeroなど)」を導入しているクリニックを選びましょう。

これらの設備が整っているクリニックは、診断の精度が高く、治療中のトラブルにも迅速に対応できる可能性が高いといえます。初診相談の際に、どのような設備を使って検査を行うのか質問してみるのも良いでしょう。

iTero

治療費用の説明が明確で分かりやすい

矯正治療は追加費用がかかるケースが少なくありません。調整料、保定装置代、万が一の作り直し費用などが、基本料金に含まれているのか(トータルフィー制)、それとも都度払いなのかを確認することが大切です。

契約前に提示された見積もりが明確で、「これ以外にかかる費用はないか」という質問に対して誠実に答えてくれるクリニックは信頼できます。後から想定外の出費で困らないよう、料金体系については納得いくまで確認しましょう。

治療費の説明

カウンセリングで親身に相談できる

長い治療期間を共にする歯科医師やスタッフとの相性も非常に重要です。こちらの悩みを親身になって聞いてくれるか、メリットだけでなくデメリットやリスクについても隠さずに説明してくれるかをチェックしましょう。

また、治療中のトラブルや緊急時の対応についても確認しておくと安心です。信頼関係を築けるクリニックであれば、モチベーションを維持しながら安心して治療を続けることができるでしょう。

カウンセリング

まとめ

  • 八重歯はマウスピース矯正で治療可能だが、難症例の場合はワイヤー併用が必要なこともある。
  • 目立たず痛みが少ないメリットがあるが、1日20時間以上の装着を守る「自己管理」が成功の鍵。
  • 費用相場は80~100万円、期間は1~3年程度。実績豊富な医師と精密な設備のある医院を選ぼう。

八重歯のコンプレックスを解消することは、見た目の美しさだけでなく、清掃性の向上による虫歯予防の効果や咬み合わせの改善など、お口の健康にとっても大きなプラスになります。まずは勇気を出して、矯正歯科のカウンセリングに足を運んでみてはいかがでしょうか。

タグ: , ,

八重歯はマウスピース矯正で治せる?費用や期間、注意点を解説 | 公開日: 2026/02/19 | 更新日: 2026/02/20 | by 明石アップル歯科

このページの関連記事

明石市でかかりつけの
歯医者をお探しの方へ

スライドします
曜日
診療開始 9:30 9:30 9:30 9:30 9:30 9:30
診療終了 18:30 18:30 13:00 18:30 18:30 17:00

休診日・診療日について

※日曜・祝日診療は右記診療カレンダーをご覧下さい。

診療カレンダー

2026年 5月
26
27
28
29
30
1
2
3
4
5
6
7
8
9
10
11
12
13
14
15
16
17
18
19
20
21
22
23
24
25
26
27
28
29
30
31
1
2
3
4
5
6

休診日

日曜・祝日診療

13時迄

明石アップル歯科への
アクセス・地図

明石以外でもアップル歯科の治療を受けられます

明石・神戸周辺のアップル歯科

明石市歯科

明石アップル歯科

明石アップル歯科

明石市大久保町高丘3-3-1

加古川市歯科

加古川アップル歯科

加古川アップル歯科

加古川市平岡町土山909-33

神戸市中央区歯科

三宮アップル歯科

三宮アップル歯科

神戸市中央区琴ノ緒町5-2-2 三信ビル3F

尼崎市歯科

アップル歯科尼崎駅前

アップル歯科尼崎駅前

尼崎市長洲本通1-4-18 ヴィラレオーネ 1F

伊丹市歯科

アップル歯科伊丹駅前

アップル歯科伊丹駅前

兵庫県伊丹市西台1丁目1番1号 伊丹阪急駅ビル4階

大阪市北区 梅田歯科

梅田アップル歯科

梅田アップル歯科

大阪市北区芝田2-3-9 EXCEL UMEDA 2F

大阪市中央区 なんば歯科

なんばアップル歯科

なんばアップル歯科

大阪市中央区難波千日前15-15 BRAVE難波503

枚方市 くずは歯科

枚方くずはアップル歯科

枚方くずはアップル歯科

枚方市楠葉花園町14-1 京阪くずは駅ビル2F

京都河原町歯科

アップル歯科京都河原町

アップル歯科京都河原町

京都市下京区奈良物町364 中央四条ビル3階

福岡市六本松周辺の歯科

アップル歯科六本松

アップル歯科六本松

福岡市中央区六本松2丁目5番1号 THE GROVE 3階

友だち追加

Copyight© 2019 Apple Dental Clinic. All Right Reserved.

Page Top