むし歯により抜歯が必要となった歯のインプラント治療

HOME > 症例 > むし歯により抜歯が必要となった歯のインプラント治療

インプラントと補綴によるフルマウスの治療

最初に来られた際は、虫歯で歯が取れたり痛みで大変な状態でしたので、お痛みや腫れに対する応急処置を行い、症状が落ち着いてから詳しくお話をお伺いし、今の状態を改善する方法を患者様と一緒に考えていきました。お痛みがあるときは冷静な判断ができず「とりあえず早く治る方法で」となってしまうことが多々あります。そのため当院では、まずはお痛みに対する処置を行い、冷静に判断出来る状態でカウンセリングを行うように徹底しています。

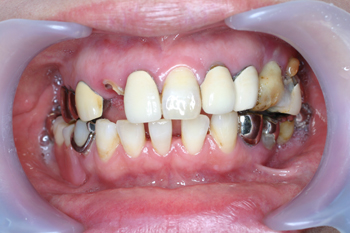
Before

期間は約2年かかりましたが、治療前に比べると見違えるようにきれいになりました。ご本人様も満足されておられ、これもしっかりカウンセリングが出来たからだと思います。

After

 

噛み合わせに少し不安定なところもありますが、今後のリハビリで良くなって行くと思われます。もし、こちらの患者様も、お痛みがある中で治療法を検討していれば、別の結果になっていたかもしれません。今回この治療にご満足いただけたのは、最初にお痛みを取り、お話できる状態が出来たことが功を奏したと考えています。当院では、カウンセリングを大切にしていますが、その内容だけでなく、タイミングにも気をつけるようにしています。

Before

After

治療の内容 ベーシックインプラント8本と骨造成、歯周外科、セラミック補綴による全額的な治療
期間・回数 2年4ヶ月・39回(カウンセリング・検査含む)
費用 自由診療:ベーシックインプラント×8歯+骨造成+歯周外科+セラミッククラウン×6歯 総額 3,336,000円(税込3,669,000円)
リスク・副作用
  • インプラント手術後、まれに唇、舌、頬、歯肉そして歯牙の感覚マヒが一時的に発生する場合もあります。また、近接歯牙、顎、上顎洞、鼻腔に対する炎症、疼痛、過敏症、組織治癒の遅延及び顔面部の内出血(紫斑や黄斑など)が避けられない方もまれにおられます。術後、3~4日目になると腫れ止めが切れるため傷口が腫れてきますが、殆どの場合、1週間程度で傷口は治ります。
  • 術中に、歯牙や骨の状態により手術内容が予定より変更することも起こりえます。
  • 術中に、予定していた骨の量が足りない場合には、追加の骨造成が必要になることがあります。(治療代5万円)
  • 喫煙、飲酒は正常な治療の妨げとなります。術後1週間は控えてください。
  • 処方された薬剤の服用により吐き気、めまい、眠気、咳、お腹が緩くなるなど一時的な副作用が現れることがあります。
  • インプラントの耐久性は、天然歯同様、口腔衛生状態(喫煙の有無、喫煙者の協力度、咬合力、咬み合わせ、骨量、歯肉量、歯磨き、メンテナンス)により変化します。
  • 治療後、傷口の腫れや痛みが出ることがあります。痛み止めの頓服が処方されますので、痛む時には服用してください。腫れは術後2~3日が最も出やすくなります。
  • 外科手術による付着歯肉の喪失により、外科手術後に歯が長く見えることがあります。
  • 口腔内の清掃状態が悪ければ細菌感染を起こすことがあります。
  • 治療後、知覚過敏や痛みなどが出たり、吸収された骨が再生しなくなることがあります。
  • 歯肉が退縮して歯が長く見えたり、歯と歯の隙間が広くなったりすることもあります。
タグ: , ,

むし歯により抜歯が必要となった歯のインプラント治療 | 公開日: 2011/04/18 | 更新日: 2021/08/10 | by 明石アップル歯科

このページの関連記事

明石市でかかりつけの
歯医者をお探しの方へ

スライドします
曜日
診療開始 9:30 9:30 9:30 9:30 9:30 9:30
診療終了 18:30 18:30 13:00 18:30 18:30 17:00

休診日・診療日について

※日曜・祝日診療は右記診療カレンダーをご覧下さい。

診療カレンダー

2026年 5月
26
27
28
29
30
1
2
3
4
5
6
7
8
9
10
11
12
13
14
15
16
17
18
19
20
21
22
23
24
25
26
27
28
29
30
31
1
2
3
4
5
6

休診日

日曜・祝日診療

13時迄

明石アップル歯科への
アクセス・地図

明石以外でもアップル歯科の治療を受けられます

明石・神戸周辺のアップル歯科

明石市歯科

明石アップル歯科

明石アップル歯科

明石市大久保町高丘3-3-1

加古川市歯科

加古川アップル歯科

加古川アップル歯科

加古川市平岡町土山909-33

神戸市中央区歯科

三宮アップル歯科

三宮アップル歯科

神戸市中央区琴ノ緒町5-2-2 三信ビル3F

尼崎市歯科

アップル歯科尼崎駅前

アップル歯科尼崎駅前

尼崎市長洲本通1-4-18 ヴィラレオーネ 1F

伊丹市歯科

アップル歯科伊丹駅前

アップル歯科伊丹駅前

兵庫県伊丹市西台1丁目1番1号 伊丹阪急駅ビル4階

大阪市北区 梅田歯科

梅田アップル歯科

梅田アップル歯科

大阪市北区芝田2-3-9 EXCEL UMEDA 2F

大阪市中央区 なんば歯科

なんばアップル歯科

なんばアップル歯科

大阪市中央区難波千日前15-15 BRAVE難波503

枚方市 くずは歯科

枚方くずはアップル歯科

枚方くずはアップル歯科

枚方市楠葉花園町14-1 京阪くずは駅ビル2F

京都河原町歯科

アップル歯科京都河原町

アップル歯科京都河原町

京都市下京区奈良物町364 中央四条ビル3階

福岡市六本松周辺の歯科

アップル歯科六本松

アップル歯科六本松

福岡市中央区六本松2丁目5番1号 THE GROVE 3階

友だち追加

Copyight© 2019 Apple Dental Clinic. All Right Reserved.

Page Top