インプラントと補綴、歯列矯正よるフルマウス治療

HOME > 症例 > インプラントと補綴、歯列矯正よるフルマウス治療

インプラントと歯列矯正、補綴による総合治療の症例

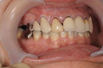
インプラント治療を希望されてご来院されました。出産のたびに歯が悪くなっていったとのことですが、全体的にキレイに治療したいというご要望でした。女性の場合、妊娠期はホルモンバランスの崩れやつわりによる嘔吐の影響で歯が悪くなることは少ない話ではありません。しかしその後すぐに治療したくても、子育てでそれどころではなくなってしまう方が多く、なかなか治療に踏み切れない方も多いようです。こちらの患者様もようやく治療ができる環境が整ったということで、しっかり治療していくため、カウンセリングを重ねました。

Before

before
before
before

奥歯の欠損部分やブリッジの歯のないところはインプラント治療でしっかり咬み合わせを整え、その後前歯の不良補綴もすべてセラミックの歯にやりかえていきました。下顎の前歯は天然歯が残せそうですが、咬み合せの問題から今後悪くならないように、矯正治療も行いました。

After

before
before
before

健康意識の高い患者様でしたので、現在もメインテナンスでこの状態を保たれています。今後も、改善した口腔内環境を保てるよう、歯のかかりつけ医としてお手伝いしていきます。

Before

After

治療の内容 インプラント5本と骨造成、セラミック補綴13歯、部分矯正、ホームホワイトニングによるフルマウスの総合治療。
期間・回数 3年3ヶ月・41回(カウンセリング・検査・歯周病治療含む)
費用 スタンダードインプラント✕5歯+骨造成+オールセラミッククラウン✕13歯+部分矯正+ホワイトニングホーム 総額 4,385,000円(税込4,823,500円)(調整料12回分含む)
リスク・副作用
  • インプラント手術後、まれに唇、舌、頬、歯肉そして歯牙の感覚マヒが一時的に発生する場合もあります。また、近接歯牙、顎、上顎洞、鼻腔に対する炎症、疼痛、過敏症、組織治癒の遅延及び顔面部の内出血(紫斑や黄斑など)が避けられない方もまれにおられます。術後、3~4日目になると腫れ止めが切れるため傷口が腫れてきますが、殆どの場合、1週間程度で傷口は治ります。
  • 術中に、歯牙や骨の状態により手術内容が予定より変更することも起こりえます。
  • 術中に、予定していた骨の量が足りない場合には、追加の骨造成が必要になることがあります。(治療代5万円)
  • 喫煙、飲酒は正常な治療の妨げとなります。術後1週間は控えてください。
  • 処方された薬剤の服用により吐き気、めまい、眠気、咳、お腹が緩くなるなど一時的な副作用が現れることがあります。
  • インプラントの耐久性は、天然歯同様、口腔衛生状態(喫煙の有無、喫煙者の協力度、咬合力、咬み合わせ、骨量、歯肉量、歯磨き、メンテナンス)により変化します。
  • 歯磨きがわるい場合には、虫歯や歯肉炎が進行することがあります。
  • 顎関節が弱い方の場合、関節異常が出ることがあります。矯正治療中顎の関節に音がする、痛くなる、口が開きにくくなる、といったような症状が出た場合には直にお知らせください。その場合は顎関節症の治療をすることがあります。長期の矯正治療により歯根吸収が生じる恐れがあります。
  • 歯ぐきや歯槽骨が多少やせることがあります。そのため、術前の状態より歯肉が退縮し、隙間ができることがあります。
  • 体質により金属アレルギーを引き起こす事があります。
  • 治療後、知覚過敏や痛みなどが出たり、吸収された骨が再生しなくなることがあります。
  • 歯肉が退縮して歯が長く見えたり、歯と歯の隙間が広くなったりすることもあります。
タグ: , ,

インプラントと補綴、歯列矯正よるフルマウス治療 | 公開日: 2017/01/13 | 更新日: 2021/08/10 | by 明石アップル歯科

このページの関連記事

明石市でかかりつけの
歯医者をお探しの方へ

スライドします
曜日
診療開始 9:30 9:30 9:30 9:30 9:30 9:30
診療終了 18:30 18:30 13:00 18:30 18:30 17:00

休診日・診療日について

※日曜・祝日診療は右記診療カレンダーをご覧下さい。

診療カレンダー

2026年 5月
26
27
28
29
30
1
2
3
4
5
6
7
8
9
10
11
12
13
14
15
16
17
18
19
20
21
22
23
24
25
26
27
28
29
30
31
1
2
3
4
5
6

休診日

日曜・祝日診療

13時迄

明石アップル歯科への
アクセス・地図

明石以外でもアップル歯科の治療を受けられます

明石・神戸周辺のアップル歯科

明石市歯科

明石アップル歯科

明石アップル歯科

明石市大久保町高丘3-3-1

加古川市歯科

加古川アップル歯科

加古川アップル歯科

加古川市平岡町土山909-33

神戸市中央区歯科

三宮アップル歯科

三宮アップル歯科

神戸市中央区琴ノ緒町5-2-2 三信ビル3F

尼崎市歯科

アップル歯科尼崎駅前

アップル歯科尼崎駅前

尼崎市長洲本通1-4-18 ヴィラレオーネ 1F

伊丹市歯科

アップル歯科伊丹駅前

アップル歯科伊丹駅前

兵庫県伊丹市西台1丁目1番1号 伊丹阪急駅ビル4階

大阪市北区 梅田歯科

梅田アップル歯科

梅田アップル歯科

大阪市北区芝田2-3-9 EXCEL UMEDA 2F

大阪市中央区 なんば歯科

なんばアップル歯科

なんばアップル歯科

大阪市中央区難波千日前15-15 BRAVE難波503

枚方市 くずは歯科

枚方くずはアップル歯科

枚方くずはアップル歯科

枚方市楠葉花園町14-1 京阪くずは駅ビル2F

京都河原町歯科

アップル歯科京都河原町

アップル歯科京都河原町

京都市下京区奈良物町364 中央四条ビル3階

福岡市六本松周辺の歯科

アップル歯科六本松

アップル歯科六本松

福岡市中央区六本松2丁目5番1号 THE GROVE 3階

友だち追加

Copyight© 2019 Apple Dental Clinic. All Right Reserved.

Page Top