「上顎前突(出っ歯)はマウスピース矯正では治らない」と、聞いたことがある人もいらっしゃると思います。
これは過去にマウスピース矯正が上顎前突の治療を苦手としていたため、様々なWEBサイトでも「無理」「難しい」と説明されています。
確かに、少し前までは多くの場合「出っ歯の場合はワイヤー矯正」と考える歯科医師も多かったですが、最近ではインビザラインの進化によって、多くの上顎前突の症例がインビザラインにて治療をすることが可能になってきています。ここではインビザラインによる出っ歯治療の方法や症例をご紹介します。
前歯が前方へ突出している状態は俗称で「出っ歯」と呼ばれています。出っ歯は決して珍しい歯並びではなく、12〜20歳の日本人の12.9%が出っ歯(上顎前突)であるという調査結果もあるほどです(※1)。
出っ歯になる原因は骨格の遺伝などの先天的なものや、幼少期の指しゃぶりなどの悪習癖である場合など、人によって様々です。
出っ歯は矯正治療で改善できることが多いですが、マウスピース矯正装置「インビザライン」でも治療が可能な場合があります。反対に、インビザラインではしっかり治せない場合、ワイヤー矯正の方が適している場合、外科矯正が必要な場合などがあります。
ご自身の出っ歯がインビザラインで治るかどうかは、一度歯科医師に診てもらい、相談しながら検討しましょう。
※1)日本人に多い不正咬合の種類として叢生があげられ、空隙・上顎前突・過蓋咬合も少なくないと言えそうです。


インビザラインが得意とするのは歯を内側や外側へ移動させることなので、軽度な出っ歯を引っ込める治療にむいているといえます。そのため、歯の傾斜による出っ歯の場合は、インビザラインで進めることも増えてきました。インビザラインの適応症例は増えてきていますが、全ての出っ歯がインビザラインで治るわけではありません。
顎骨のズレなどが起因している重度の出っ歯は、インビザラインのみで改善させることが難しく、ワイヤー矯正や外科矯正を併用させて治療することもあります。
インビザラインに限らず歯科で行う歯列矯正は、時間をかけてゆっくりと歯を動かし、歯列を整える治療ですので、骨格をかえることはできません。
出っ歯を引っ込めるためには、前歯を後ろに引くためのスペースを確保する必要があります。スペースを確保する方法には、主に以下の4つから適正な方法を選びます。
便宜上歯を抜いてスペースを作る
歯を少しずつ削って隙間を作る
歯を少しずつ後ろ(臼歯側)に送る
顎の横幅を広げる
インビザラインが得意とするのは歯を内側や外側へ移動させることなので、軽度な出っ歯を引っ込める治療にむいているといえます。そのため、歯の傾斜による出っ歯の場合は、インビザラインで進めることも増えてきました。インビザラインの適応症例は増えてきていますが、全ての出っ歯がインビザラインで治るわけではありません。
顎骨のズレなどが起因している重度の出っ歯は、インビザラインのみで改善させることが難しく、ワイヤー矯正や外科矯正を併用させて治療することもあります。
インビザラインに限らず歯科で行う歯列矯正は、時間をかけてゆっくりと歯を動かし、歯列を整える治療ですので、骨格をかえることはできません。
インビザラインやマウスピース矯正は、ワイヤー矯正に比べ比較的新しい治療法です。そのため、当院でもインビザライン導入当初はごく軽度の症例にしか適応ができませんでした。
特に、上顎前突(出っ歯)はワイヤー矯正に比べて苦手で、数年前までは上顎前突ならワイヤー矯正を薦めていたこともありました。
しかし、インビザラインの進歩は想像以上に早く、現在では上顎前突や抜歯が必要な症例でも、インビザラインで治療できる範囲は広がってきています。また、上顎前突であっても、非抜歯で治療できる可能性もあります。
もちろん、まだまだワイヤー矯正の方が得意な分野もありますが、多くの症例においてインビザラインによる治療が可能になってきています。
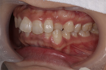
赤線の歯がインビザラインで動かせる歯
Before
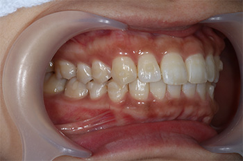
After
| 治療の内容 | マウスピース型矯正装置(インビザライン)による上顎前突の治療(非抜歯矯正) |
|---|---|
| 期間・回数 | 2年4ヶ月・15回(カウンセリング・検査・クリーニング含む) |
| 費用 | 自由診療:マウスピース型矯正装置・インビザライン(800,000円)+専門相談(50,000円)、 総額 850,000円(税込 935,000円) |
| リスク・副作用 |
|
インビザラインには全体矯正の他に、前歯用の装置や部分矯正用の装置があります。当然ながら、歯を動かす範囲が狭い部分矯正は治療期間や費用の負担が全体矯正よりも軽減されます。
上顎前突の患者さんの場合、「出っ歯」を前歯だけの問題と考えるため、部分矯正で治したいと希望される方は少なくありません。
しかし、出っ歯は前歯だけの問題ではなく、そもそも奥歯から前歯までの歯を並べるスペースがないために、歯が前に傾斜して出っ歯になっていることが多く、奥歯を動かせない部分矯正では治らない場合も多いです。しかし、部分矯正でも軽度な傾斜や、歯を並べるスペースが確保できる場合なら、出っ歯でも治療できる場合もあります。
部分矯正で治せるかどうかは検査をしてみなければわかりませんが、可能性はゼロではありません。
赤線の歯がインビザラインGoで動かせる歯
Before
After
| 治療の内容 | マウスピース型矯正装置(インビザラインGo)による部分矯正とホームホワイトニングの治療 |
|---|---|
| 期間・回数 | 10ヶ月・9回(カウンセリング・検査含む) |
| 費用 | 自由診療:マウスピース型矯正装置(部分矯正)+ホームホワイトニング 総額 400,000円(税込 440,000円) |
| リスク・副作用 |
|
前歯はお口をあけたとき、特に見える場所なので、見た目を気にされている方が多いのですが、汚れがたまりやすく、虫歯や歯周病のリスクが高まる上に、転倒したり何かに衝突した際に歯や口元を怪我してしまう危険があります。
また、出っ歯の原因が上下の顎骨のズレによるものである場合、顎や歯へ必要以上に負担をかけている可能性が高いため良くありません。
その他、咀嚼や噛み締めの際に歯や顎に生じるダメージをバランス良く分散できずに、肩こりや頭痛などの症状を引き起こすこともあります。
インビザラインは矯正中であることに気づかれにくい上に、矯正装置をご自身で自由に取り外しができることや、数多くの芸能人の方が使用されていることもあって、幅広い層に人気がある歯列矯正です。
世界中から集まった膨大なデータをもとに、製品(マウスピース)が日々改良されているため、適応症例は年々広がりを見せています。
ただし、必ずしもインビザラインがご自身の症状に適しているとは限りません。検査の結果、ワイヤー矯正の方が改善が見込めることもあります。
まずは歯科で検査を受け、インビザラインで治療を進められるか歯科医師と相談しましょう。当院では、無料相談にて、iTeroによる矯正シミュレーションも行っております。お気軽にご利用ください。
iTeroによるインビザライン矯正のシミュレーション
この記事の編集・責任者は歯科医師の井津上卓也です。
歯科医師 井津上 卓也

| 曜日 | 月 | 火 | 水 | 木 | 金 | 土 |
|---|---|---|---|---|---|---|
| 診療開始 | 9:30 | 9:30 | 9:30 | 9:30 | 9:30 | 9:30 |
| 診療終了 | 18:30 | 18:30 | 13:00 | 18:30 | 18:30 | 17:00 |
※日曜・祝日診療は右記診療カレンダーをご覧下さい。
| 日 | 月 | 火 | 水 | 木 | 金 | 土 | ||||||||||||||
|---|---|---|---|---|---|---|---|---|---|---|---|---|---|---|---|---|---|---|---|---|
| ||||||||||||||||||||
| ||||||||||||||||||||
| ||||||||||||||||||||
| ||||||||||||||||||||
| ||||||||||||||||||||
| ||||||||||||||||||||
休診日
日曜・祝日診療
13時迄
明石以外でもアップル歯科の治療を受けられます
明石・神戸周辺のアップル歯科