開咬と叢生の歯列矯正

HOME > 症例 > 開咬と叢生の歯列矯正

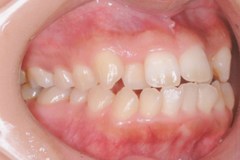
開咬と叢生、上下顎前突の方のマルチブラケット(クリア)による歯列矯正

歯並びが気になるということで、矯正相談に来られた患者様です。咬み合せの診断としては、開咬と叢生、上下顎前突の3つの不正咬合です。特に開咬は治療が難しい咬合で、外科矯正の適応となることもある咬み合わせです。 歯並びには遺伝的な要因と、習癖的な要因が原因となることが多く、この方の場合、幼いころの指しゃぶりや舌の癖が主な原因であると考えられます。開咬は奥歯への負担が大きく、ダメージを受けやすい状態です。将来的なことを考えると、早めの治療が歯全体を守るためには必要です。

Before

Before

Before

診断の結果、外科矯正を回避し、マルチブラケットによる歯列矯正のみでの矯正治療を行うことになりました。

約2年半で叢生もなくなり、咬み合わせも整いました。前歯も当たるようになり、これまで奥歯のみで支えていた咬合力もバランス良く支えることが出来るようになったと思います。

After

After

After

歯並びは見た目の問題だけではなく、健康にも大きく関わることですから、歯科医師という立場からご家族の方ともお話することで、その重要性をご理解頂くよう努めています。 大人の矯正はこれからのお口の健康、そしてその先にある心身の健康につながる治療です。歯並びのお悩みは年齢に関わらずまず歯科医師にご相談下さい。

Before

Process

After

    
治療の内容 マルチブラケット(クリア)と矯正用ミニインプラント4本による歯列矯正。
期間・回数 2年9ヶ月・33回(カウンセリング・検査含む)
費用 自由診療:マルチブラケット(クリア)+矯正用ミニインプラント✕4本 総額 875,000円(税込962,500円)(調整料29回分含む)
リスク・副作用
  • 歯磨きがわるい場合には、虫歯や歯肉炎が進行することがあります。
  • 顎関節が弱い方の場合、関節異常が出ることがあります。矯正治療中顎の関節に音がする、痛くなる、口が開きにくくなる、といったような症状が出た場合には直にお知らせください。その場合は顎関節症の治療をすることがあります。 長期の矯正治療により歯根吸収が生じる恐れがあります。
  • 歯ぐきや歯槽骨が多少やせることがあります。そのため、術前の状態より歯肉が退縮し、隙間ができることがあります。
  • 体質により金属アレルギーを引き起こす事があります。
  • 治療後、知覚過敏や痛みなどが出たり、吸収された骨が再生しなくなることがあります。
  • 歯肉が退縮して歯が長く見えたり、歯と歯の隙間が広くなったりすることもあります。
タグ: , ,

開咬と叢生の歯列矯正 | 公開日: 2017/03/03 | 更新日: 2021/08/18 | by 明石アップル歯科

このページの関連記事

明石市でかかりつけの
歯医者をお探しの方へ

スライドします
曜日
診療開始 9:30 9:30 9:30 9:30 9:30 9:30
診療終了 18:30 18:30 13:00 18:30 18:30 17:00

休診日・診療日について

※日曜・祝日診療は右記診療カレンダーをご覧下さい。

診療カレンダー

2026年 5月
26
27
28
29
30
1
2
3
4
5
6
7
8
9
10
11
12
13
14
15
16
17
18
19
20
21
22
23
24
25
26
27
28
29
30
31
1
2
3
4
5
6

休診日

日曜・祝日診療

13時迄

明石アップル歯科への
アクセス・地図

明石以外でもアップル歯科の治療を受けられます

明石・神戸周辺のアップル歯科

明石市歯科

明石アップル歯科

明石アップル歯科

明石市大久保町高丘3-3-1

加古川市歯科

加古川アップル歯科

加古川アップル歯科

加古川市平岡町土山909-33

神戸市中央区歯科

三宮アップル歯科

三宮アップル歯科

神戸市中央区琴ノ緒町5-2-2 三信ビル3F

尼崎市歯科

アップル歯科尼崎駅前

アップル歯科尼崎駅前

尼崎市長洲本通1-4-18 ヴィラレオーネ 1F

伊丹市歯科

アップル歯科伊丹駅前

アップル歯科伊丹駅前

兵庫県伊丹市西台1丁目1番1号 伊丹阪急駅ビル4階

大阪市北区 梅田歯科

梅田アップル歯科

梅田アップル歯科

大阪市北区芝田2-3-9 EXCEL UMEDA 2F

大阪市中央区 なんば歯科

なんばアップル歯科

なんばアップル歯科

大阪市中央区難波千日前15-15 BRAVE難波503

枚方市 くずは歯科

枚方くずはアップル歯科

枚方くずはアップル歯科

枚方市楠葉花園町14-1 京阪くずは駅ビル2F

京都河原町歯科

アップル歯科京都河原町

アップル歯科京都河原町

京都市下京区奈良物町364 中央四条ビル3階

福岡市六本松周辺の歯科

アップル歯科六本松

アップル歯科六本松

福岡市中央区六本松2丁目5番1号 THE GROVE 3階

友だち追加

Copyight© 2019 Apple Dental Clinic. All Right Reserved.

Page Top