通常、正しい咬み合わせは上の歯が下の歯を覆った状態になっています。交叉咬合とは、この上下の咬み合わせがどこかで一部反対になっている咬み合わせのことを言います。
交叉咬合は上顎が小さいことから起こることが多い咬み合わせで、奥歯から前歯まで、1歯から複数の歯まで様々な症例があります。
「たかだか1本の歯がずれているだけ」と侮ってしまいがちなこの交叉咬合ですが、実はたとえ一本でもこれが原因で下顎がズレて成長してしまうことがあります。
また、交叉咬合は「叢生(ガチャ歯・デコボコの歯)」でもあるため、歯ブラシが届きにくい部分ができやすく、虫歯や歯周病のリスクも高い咬み合わせです。そのため、交叉咬合は不正咬合の中でも、早めの矯正治療が推奨される咬み合わせです。
交叉咬合は難易度の高い治療ですが、矯正治療・歯科治療で改善できます。
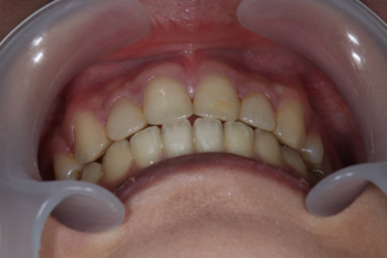
Before
Process
After
赤枠の○で囲んだ部分が交叉している部分です。この患者様の場合、前歯と臼歯の複数の歯が反対咬合になっています。幸いなことに顎の変形までは見られず、ワイヤー(マルチブラケット)矯正のみの治療で不正咬合を治すことができました。
| 治療の内容 | マルチブラケットシステムによる歯列矯正。歯科矯正用アンカースクリュー2本使用 |
|---|---|
| 期間・回数 | 2年5ヶ月・36回(カウンセリング・検査含む) |
| 費用 | 自由診療:ワイヤー(マルチブラケットシステム)矯正+矯正用ミニインプラント✕2本 総額 805,000円(税込885,500円)(調整料27回分含む) |
| リスク・副作用 |
|
上顎もしくは下顎の成長のバランスが悪く、しっかり噛めないために歯が噛める方向にと移動することで、交叉してしまうことがあります。
主に子供の頃から発症しやすく、上顎が小さいことで起こりますが、乳歯が交叉咬合になっている場合は、永久歯に生え変わっても交叉している場合も多いです。
骨格や歯の形、歯の大きさなどは親から子へと遺伝します。そのため、両親のどちらかに交叉咬合がある場合、お子様も交叉咬合になる可能性があります。
また、両親のいずれにも交叉咬合はなくても、元々上顎が小さければそれはお子様に遺伝する可能性があり、お子様が交叉咬合になることがあります。
顔、特に顎周りや口腔内での悪習癖は、咬み合わせを悪くする原因となります。
例えば頬杖をよくついたり、何かを噛んで引っ張る癖があったり、舌で歯を押す癖など、これらの習癖は交叉咬合を引き起こす原因となります。
交叉咬合の怖いところは、歳の経過とともに顎や顔に影響が出ることです。歯が交叉しているために顎はそれに合わせて変形・移動し、徐々に顎の位置がズレてしまいます。
また、そのまま移動やズレが大きくなると、お顔全体が歪んで見えるほど顎のバランスが悪くなることもあります。。
交叉咬合は叢生というデコボコに生える不正咬合の特徴も含んでいます。
内側に入ってしまった上顎の歯の隣接面や、重なり合った歯は歯ブラシが届きづらいため歯垢や歯石が溜まりやすく、虫歯や歯周病のリスクが高くなります。
交叉咬合は左右が非対称な咬み合わせです。そのため顎の筋肉のバランスや、咀嚼のバランスが悪くなりやすく、それらは頭痛や肩こりなどの不正愁訴につながる可能性があります。
また、特定の歯では噛めなかったり、食いしばることが出来ない症例もあり、それらは咀嚼や滑舌においてストレスに感じることもあります。
交叉咬合の治療は早めが最適です。お子様であれば小児矯正、成人であれば早めに成人矯正をすることで咬み合わせを整えます。
治療が遅れると、顎関節症になったり、外科手術が必要になることもあるため、痛みなどの症状が出る前に治療することが重要です。
小児矯正の場合は「咬合育形成」と言って、顎の骨を広げる治療を行います。特に交叉咬合の場合は上顎を広げることで反対の咬み合わせになった歯を正しい位置に戻します。
成人矯正の場合はワイヤー矯正やマウスピース矯正(インビザライン)による治療となります。ただし、場合によっては外科矯正(手術)が必要になる症例もあります。
矯正は小児矯正(Ⅰ期)からした方が良いケースと、成人(Ⅱ期)まで待ったほうが良いケースがありますが、交叉咬合は小児矯正が推奨される不正咬合です。上顎を装置で広げることで歯がきれいに並ぶスペースを作ってあげる矯正治療です。
歯の表面(もしくは裏側)にクリアブラケットという装置を貼り付け、そこにワイヤーを通して引っ張ることで歯を動かす矯正です。幅広い矯正に対応しており、過去もっとも多い症例をもつ矯正治療です。費用は表側に装置をつけた場合の費用です。
ピッタリとした薄いマウスピースを歯に装着する目立たず取外し可能な矯正装置です。少しズレのあるマウスピースを一定期間装着することで、そのズレに合わせて歯が動く仕組みです。適応に限りはありますが、交叉咬合の治療症例は少なくありません。
交叉咬合は叢生を伴う複数歯の場合、1歯だけの場合など様々なケースがありますが、いずれも顎がズレる原因になる可能性があります。
また、交叉した状態を放置することで、徐々に顎や顔に影響がで始めるため、顔の中心がずれてしまったり、しっかり噛めなくなったり、顎関節症になってしまうこともあります。
交叉咬合はできればこれらの症状が出る前に治療したい咬み合わせです。顎関節症の症状が出ていれば矯正はできませんし、顎がズレて顎変形症になれば手術が必要になることもあるためです。
交叉咬合は小児矯正が有効であったり、子供のうちならトレーニング矯正というマウスピースで改善することもあります。お父様やお母様はお子様の歯が一部下顎の歯が上顎の歯より前に出ている歯を見つけたら、早めに歯科医院に相談しましょう。
交叉咬合は、よく「叢生」というガタガタ歯並びのみと勘違いされる方もおられます。しかし交叉咬合は、反対咬合(受け口)の要素も持っているため、後々現れる症状も叢生よりも強い場合が考えられます。
また、「いずれは矯正したいけど」とお考えのまま、矯正出来なかったという方も過去には多くご来院されています。
矯正治療は、成人でも可能ですが、交叉咬合のように早めの治療が良い場合もあります。その際、必要となってくるのが保護者の方の理解です。
現在の日本の構造では【小学生】「矯正に興味がない」、【中高生】「矯正したいけど親がお金を出してくれない」、【大学生・新社会人】「矯正したいけどお金がない」という感じで「矯正できないシチュエーション」が長く続きます。お子様の将来のお口の健康を考えるなら、保護者の方の理解と決断が必要です。矯正治療について、「したほうが良いのか」とお悩みでしたら、お気軽にご相談ください。
【新規の患者様専用】矯正相談WEB予約
この記事の編集・責任者は歯科医師の井津上卓也です。
歯科医師 井津上 卓也

過蓋咬合(かがいこうごう)とは、咬み合わせが深く、下の歯がほとんど見えない歯並びのことを言います。
歯科用語では「ディープバイト」と言い、直訳するとそのまま「深く噛む」という意味になります。過蓋咬合は咬み合わせが深い位置にあるため、下顎の前歯が上顎の粘膜にあたって傷つけてしまったり、食いしばりが強いため顎関節症になりやすい咬み合わせと言われています。
過蓋咬合は不正咬合の中では比較的見た目の問題は大きくありません。しかし、下の前歯が見えないだけでなく、ガミースマイルという笑うと歯茎が見える状態を併発しやすいとも言われています。
また、食いしばりが強いことから、歯が食いしばりのダメージで歯のすり減りや割れる・欠けるリスクがあり、奥歯への負担が強いため、歳を重ねると歯を失うリスクが高くなります。
これまでアップル歯科では多くの過蓋咬合(ディープバイト)の治療を行ってきました。過蓋咬合は矯正治療・歯科治療で改善できます。
Before
After
過蓋咬合(ディープバイト)に対するワイヤー矯正(マルチブラケットシステム)による矯正治療です。叢生(ガタガタの歯並び)を気にされてご相談に来られましたが、治療の難易度が高いのは過蓋咬合です。叢生が気になったことがきっかけで、結果的に過蓋咬合の治療ができたことで患者様の将来的な奥歯や顎に対するリスクを軽減することができました。
| 治療の内容 | マルチブラケットシステムと歯科矯正用アンカースクリュー2本による歯列矯正。 |
|---|---|
| 期間・回数 | 3年1ヶ月・40回(カウンセリング・検査含む) |
| 費用 | 自由診療:マルチブラケット矯正+歯科矯正用アンカースクリュー×2本 総額 895,000円(税込984,500円)(調整料33回分含む) |
| リスク・副作用 |
|
骨格的に上顎が下顎よりも前に出ていたり、下顎が小さい場合過蓋咬合になる可能性があります。
これが生まれ持った骨格の場合、遺伝することがあります。つまり、両親のどちらかが過蓋咬合であれば、子供も過蓋咬合である可能性はあります。
上の顎が大きく、下の顎が小さければ過蓋咬合になる可能性があります。
主に上顎が成長しすぎた場合や、下顎が成長しないことが原因となりますが、骨格的に遺伝する場合もあります。
前歯の高さが高い場合や、奥歯の高さが低い場合、咬み合わせが深くなり、過蓋咬合になります。
これは歯並びの問題ですが、子供の頃の歯の生え変わりの失敗、虫歯、歯のすり減り、食いしばりなど、後天的な要因が原因となることもあります。
過蓋咬合は上顎が下顎に対しすっぽり覆っているような状態です。下の歯の前歯は上顎の歯の前歯を突き上げるようにあたったり、奥歯での接触が大きいため、奥歯にダメージが蓄積することがあります。
このようなアンバランスな力が永年積み重なると、前歯は下の歯の突き上げにより前突(出っ歯)したり、奥歯は蓄積したダメージにより破損するリスクがあります。
過蓋咬合は奥歯での接触が強いため、下顎を動かすことが苦手になります。そのため、顎に負担がかかり、顎関節症になりやすいことがわかっています。
また、顎の不調は肩や首のコリなど、不定愁訴の原因となることがあります。咬み合わせの問題は、口だけでなく身体の至るところに影響を及ぼします。
過蓋咬合は咬み合わせが深いため、奥歯に力がかかりやすい咬み合わせです。そのため、奥歯を噛みしめる癖がついてしまったり、食いしばった際に奥歯にストレスがかかりやすい状態となっています。
噛み締めや食いしばりはやがて歯を少しずつ摩耗させ、歯が短くなってきてしまいます。咬耗が進むと、知覚過敏を起こしやすくなったり、露髄(神経が出てしまう状態)してしまうと神経を取ることになったり、最悪の場合咬合力によって歯根破折(歯の根が折れること)を起こすこともあります。歯根破折を起こすと、多くの場合抜歯が必要となります。あ
過蓋咬合の場合、「歯を動かす」というより「沈める」「引き出す」「傾ける」ことで高さを調整する矯正治療になります。
「沈める」というのは「圧下」という治療で、歯を歯肉の中へ押し込むようなイメージになります。「引き出す」というのは「挺出」という治療で、こちら圧下の逆で歯を引き出す治療となります。「傾ける」というの歯に角度を着ける「傾斜移動」という治療になります。
過蓋咬合の矯正は、これら「圧下」「挺出」「傾斜移動」のいずれかもしくは組み合わせで治療を行っていきます。特に圧下を行う場合は、時間がかかる移動となるため、過蓋咬合の治療は他の不正咬合に比べても、見た目の変化の割には治療期間の長い治療となることがあります。
前歯は、上顎の前歯を歯茎の方向に圧下(沈める)することで、物理的に下顎を覆う前歯の面積を減らします。圧下はガミースマイルの改善にも有効です。
もしくは前に傾斜移動(斜め前に出す)ことで歯列弓を広げ、上顎と下顎の歯の接触位置を調整します。
垂直に圧下できる距離は限られており、前に出しすぎると「出っ歯」になってしまいます。したがって、圧下と傾斜移動の組み合わせ、奥歯の挺出・傾斜移動を組み合わせて治療を行う必要があります。
奥歯は、挺出(引き出す)することで咬み合わせの高さを調整します。
または、外側に傾斜させることで歯列弓を広げ、上顎と下顎の歯の接触位置を調整します。
挺出できる長さは限られていますので、挺出しながら傾斜させること調整することも多いです。これを前歯の圧下・傾斜移動と合わせて行うことで、上下の咬み合わせ位置を整えてきます。
マルチブラケットという装置を歯に貼り付け、ワイヤーで引っ張ることで歯を動かす矯正です。効率的に圧下するためにはアンカースクリューを固定源にしたり、挺出するためには顎間ゴムという輪ゴムのようなものを使うことがあります。
マウスピース矯正は、奥歯が沈む傾向が強いため、過蓋咬合には向かないこともあります。ただし、アタッチメントを着けることで挺出したり、傾斜移動させることで過蓋咬合の状態によっては治療できることもあります。
過蓋咬合の原因の一つは、下顎が小さいことです。小児矯正(咬合育形成)で下顎の成長を促したり、過度な上顎の成長を整えることで、しっかりとした咬み合わせを作ることができます。
過蓋咬合は遺伝だけではなく、習癖や食事方法などにより後天的に起こり得る不正咬合です。後天的に起こる過蓋咬合の原因は、下顎の不十分な成長や、上顎の過成長が主な理由となります。
したがって、過蓋咬合を予防するには、顎が成長する時期に顎の成長をサポートする、顎の成長を妨げる習癖を改善する必要があります。ご自宅では、硬いものを咀嚼する訓練や、会話を頻繁に行うことで下顎をよく使うこと、あるいは指しゃぶり・頬杖・舌癖があれば注意してあげること、そして虫歯があれば早期に治療してあげることなどが挙げられます。
また、成人後は過蓋咬合の治療(矯正)がすぐにできないようであれば、ナイトガード(マウスピース)を使って歯の咬耗やダメージを防いだり、日中の食いしばり防ぐためにストレスをためないなど、過蓋咬合が原因で起こる症状を防ぐことが重要です。特に、顎関節症の症状が出てしまうと、その症状が治まるまで矯正治療もできなくなります。成人の方は、過蓋咬合の症状を予防することに努めましょう。
過蓋咬合は、見た目に大きな問題がないことも多く、出っ歯や叢生(ガタガタの歯並び)を伴っていなければ「矯正しよう」という考えに至らないことも多い咬み合わせです。そして、歳をとるとともに顎の不調や奥歯の損傷などの影響が出るやっかいな不正咬合と言えます。
そのため、顎関節症や奥歯の不調から過蓋咬合に気づく方もたくさんおられます。しかし、顎関節症の症状が出ている場合は矯正治療ができませんし、奥歯が割れたり破折してしまうと、もとに戻すことはできません。
ですから、もし歯医者で「過蓋咬合」という診断を受け、矯正治療を提案されたら、将来のためにも歯列矯正をご検討下さい。過蓋咬合の治療は早いに超したことはありません。ご相談にお越しいただければ、矯正する・しないは別として、どのようなリスクがあり、症状を抑えるためにどのような手段があるのかも含め、しっかりご説明いたします。
【新規の患者様専用】矯正相談WEB予約
この記事の編集・責任者は歯科医師の井津上卓也です。
歯科医師 井津上 卓也

奥歯だけで噛んで、前歯が閉じない咬み合わせを開咬(かいこう)といいます。開咬の人は前歯が噛まないために、前歯で噛みちぎることができません。
そのため、ラーメンや蕎麦が噛み切れず、舌を使って千切ったり、中にはうどんも切れないという方もいたり、コンビニのおにぎりを食べるとご飯だけが入ってきて海苔が切れずに残ってしまうという事例もよく聞きます。また、常にポカンと口を開けているので「間抜けな外見」に見られたり、口を閉じるとモコッとした口元になり、コンプレックスに感じることも多くあります。開咬は見た目もさることならら、そのままにしておくとリスクも多い咬み合わせのため、歯列矯正が最も必要な不正咬合の一つです。
※1)上下顎前歯の前後関係は正常847.6%,上顎前突15.4%,反対咬合0%であった。垂直的関係は正常86.5%,過蓋咬合13.5%,開咬0%であった。
これまでアップル歯科では多くの開咬(ポカン口)の治療を行ってきました。開咬は矯正治療・歯科治療で改善できます。
Before
Process
After
開咬(ポカン口)に対するマルチブラケットシステムを用いたワイヤー矯正、外科矯正(手術)なしで治療が可能となったの症例です。
| 治療の内容 | クリアブラケットを使ったワイヤー矯正と矯正用アンカースクリュー(4本)による歯列矯正。 |
|---|---|
| 期間・回数 | 2年9ヶ月・33回(カウンセリング・検査含む) |
| 費用 | 自由診療:マルチブラケット(クリア)+矯正用ミニインプラント✕4本 総額 875,000円(税込962,500円)(調整料29回分含む) |
| リスク・副作用 |
|
叢生の原因
まず、前歯で噛めないため、咀嚼が不自由で消化器に負担をかけたり、前歯が閉じないため音がこもり、発音に影響がでたりします。
また、奥歯でしか噛めないことによる弊害が多くのリスクとなります。人間の咬合力(噛む力)は約70㎏程度と言われています。通常はこれを片顎28本(親知らず除く)で分散して噛みますが、開咬の場合は奥歯数本にその力が集中してしまいます。そのため、奥歯が割れたりヒビが入ったり、そこから虫歯菌が入ったりすることで、奥歯から徐々に歯を失うことが多いことが開咬の特徴です。
口が常に開いていると、口腔内が乾燥し、虫歯や歯周病菌を減らす唾液がなくなります。つまり虫歯や歯周病に罹りやすくなるということです。また、口腔内に細菌が発生しやすい状態ですので、口臭も強くなります。
更に、口が開いていると口呼吸になるため、鼻呼吸のようなフィルター(鼻毛)がありません。そのため、風邪や新型コロナ、インフルエンザのようなウィルスにも感染しやすくなります。更に、口呼吸は鼻呼吸に比べて酸素の吸収量が落ちるため、脳に充分な酸素が供給されないため、脳の発達が遅れたり、集中力・代謝が低下しやすいとも言われています。
開咬の原因は大きく分けて2つ考えられます。1つは遺伝的要因、もう一つは後天的な要因です。もし、両親のどちらかが開咬の場合、お子様が開咬になる可能性があるので、乳歯の時期から早めに咬み合わせを歯科にて確認してもらいましょう。
後天的な要因の場合、習癖(くせ)が原因となります。指しゃぶりやおしゃぶりの長期使用、舌突出癖(舌を上下前歯の間に入れるくせ)などが原因となり、徐々に咬み合わせが変わってきます。両親は開咬ではないのに、お子様がポカンと口を開けていたら、もしかしたらこの後天的な開咬になっているのかもしれません。開咬はリスクが高く怖い咬み合わせです。おしゃぶり・指しゃぶりは2歳までにやめさせる、舌癖があればトレーニング矯正装置を使うなど、開咬にならないようにしてあげることで、お子様の人生が大きく変わるかもしれません。
開咬を治療せずにそのまま過ごすと、歯を失うリスクは極めて高くなります。開咬の方の多くは奥歯がまずやられます。虫歯や破損を繰り返し、やがては抜歯になり、噛む歯や支えを失った前歯は、柱を失った家の屋根のように、前に倒れてやがて抜け落ちるリスクが高くなります。
もちろん、すべての開咬の人がすべての歯を失うわけではありませんが、実際に、過去の調査では8020(80歳で20本歯を残す取り組み)を達成した人の中に、開咬の咬み合わせの人はいませんでした。
開咬の治療には歯列矯正が有効です。歯列矯正に年齢は関係ありません。開咬の場合、歳を重ねるごとにダメージが蓄積してしまう咬み合わせですので、可能であれば成人していても矯正治療の受診をご検討下さい。
開咬の場合、歯並びをキレイにするという側面以上に、「歯を長く保つため」の意味合いが強い矯正治療となります。
開咬を治療することで、麺類をしっかり噛み切れるようになったり、こもってしまうような発音も正常に戻っていきます。そしてそのおまけとして、キレイな歯並びと口元が手に入ります。
歯の表面(あるいは裏側)にクリアブラケットという装置を貼り付け、ワイヤーを通して矯正力をかけ、歯を動かす方法です。開咬治療で最も多く使われる装置です。
透明のマウスピースで徐々に歯を力をかけながら、ステージごとにマウスピースを取り替えることで歯を動かします。適応に限りはありますが、マウスピース矯正で治療可能な開咬もあります。
小児矯正に合わせて、マウスピース型のトレーニング装置で舌などのトレーニングを行うための装置です。口腔筋を鍛え、舌癖を改善することで、顎・咬み合わせの成長を適切な方向へ戻すための矯正装置です。
開咬の原因が骨格によるもので、歯列矯正による治療が困難な場合は、外科矯正という骨を切る手術が必要です。手術は入院設備のある大学病院等で行い、術前術後の矯正は当院で行います。
開咬は、幼少期の習癖の改善やトレーニングで予防できることがあります。指しゃぶりがやめられない、おしゃぶりずっと加えているという癖があるなら、しっかり大人が止めさせて上げる必要があります。また、初期であれば、トレーニング矯正装置(T4K・プレオルソ)などの矯正装置を使うことで、正常な咬み合わせに戻してあげられる可能性もあります。いずれも、これはお子様だけでできることではありません。大人がちゃんと歯科につれていって、然るべき治療やトレーニングを行うことで、開咬を予防することができます。
骨格的な開咬は、遺伝が原因の場合もあるため、予防することは困難です。しかし、習癖というものも親に似るものです。親がしていることを子供は真似をしますので、親に舌突出癖があるようまら、子供も無意識に真似をする可能性もあります。つまり、親の癖を治すことも、お子様を開咬にしないためには大切なファンクションとなります。
咬み合わせというのは、なかなか一般の方がご自身ではわからないものです。出っ歯や受け口のように、明らかに外見に出やすいものは自身でもわかると思います。しかし、開咬の場合前突感等がなければ自分は「不正咬合だ」と気づかないまま過ごしてしまうかもしれません。
ですから、もし「奥歯ばかり使って顎が痛い」「前歯で食べ物が噛み切れない」「せんべいを食べれない」など、「噛む」ということに他の人と違いを感じたら、まずはご相談にお越し下さい。もし検査の結果開咬の場合、おそらく矯正治療をお薦めすることにはなりますが、矯正をしてでも将来歯を残すということは価値のあることだと考えます。将来多くの歯を残すため、または開咬によるその他のリスクを避けるためにも、どのような治療が必要で、どれだけの費用・期間がかかるのか、しっかり相談して、治療をするかどうかご検討いただければと思います。
【新規の患者様専用】矯正相談WEB予約
この記事の編集・責任者は歯科医師の井津上卓也です。
歯科医師 井津上 卓也

ガタガタの歯並び(通称:ガチャ歯)や歯列から飛び出た犬歯(通称:八重歯)を、不正咬合の分類で分けると「叢生」と言います。
叢生はその見た目の悪さから「矯正したい」と思う人は少なくありません。
叢生は、見た目の悪さほど治療の難易度が高くない場合も多いです。ここでは、ガチャ歯や八重歯の治療例や治療法、治療の選択肢など詳しくご紹介します。
歯がデコボコに並んでいたり、重なって生えている状態の歯並びを「叢生」と呼び、悪い歯並びの代表的な存在で、2016年の歯科疾患実態調査によると26%(4人に1人以上)に叢生があったそうです。(※1)
乱杭歯(らんぐいし)とも言われ、昔は「かわいい」と言われていたこともある八重歯もこの叢生の一種です。過去には、「八重歯が可愛い」とされる時代もありましたが、現在ではその風潮もなくなってはきています。しかし、歯並びが悪いなら矯正するのは当たり前というアメリカなどの歯科先進国に比べ、日本ではまだまだ歯列矯正に対し抵抗がある方も少なくありません。
しかし、叢生は見た目の清潔感や虫歯・歯周病リスク、咀嚼効率などを考えると、治したほうが良い不正咬合の一つと言えます。
※1)叢生のある者は約26%(表23、図23)、歯列に空隙のある者は約10%(表24、図24)であった。
これまでアップル歯科では多くの叢生(ガチャ歯・八重歯)の治療を行ってきました。ガチャ歯や八重歯は矯正治療で改善できます。
Before
After
叢生・八重歯に対するマルチブラケットシステムを用いたワイヤー矯正の症例です。この程度の叢生であれば条件が良ければ1年ちょっとでここまで並べる事が可能です。
| 治療の内容 | クリアブラケットを使ったワイヤー矯正と矯正用アンカースクリュー1本による歯列矯正。 |
|---|---|
| 期間・回数 | 1年1ヶ月・20回(カウンセリング・検査含む) |
| 費用 | 自由診療:マルチブラケット装置+矯正用ミニインプラント✕1本 総額 765,000円(税込841,500円)(調整料15回分含む) |
| リスク・副作用 |
|
マウスピース矯正でもガチャ歯・八重歯の治療が可能です。
シミュレーション画像:治療前
Before
シミュレーション画像:治療後
After
叢生・八重歯に対するマウスピース矯正の症例です。インビザラインGoという主に5番から5番の歯を動かす部分矯正装置を使っています。インビザラインGoにしては治療期間が長めの症例ですが、インビザラインGoは適応症であれば半年程度で終わることもある矯正装置です。インビザラインはiTeroという光学式口腔内スキャナーを使ったシミュレーションが可能でしす。シミュレーション画像と治療前後の写真を見比べることで、シミュレーションの精度がわかる症例です。
| 治療の内容 | インビザラインGoによる歯列矯正とホワイトニング。 |
|---|---|
| 期間・回数 | 10ヶ月・9回(カウンセリング・検査含む) |
| 費用 | 自由診療:マウスピース型矯正装置(部分矯正) 総額 400,000円(税込 440,000円)※ホームホワイトニング付き |
| リスク・副作用 |
|
叢生の原因
ガチャ歯・乱杭歯のデコボコの程度には個人差がありますが、原因は主に顎が小さく、歯を並べるにはスペースがないためです。スペースがない中生えてこようとるすろ前にずれたり後ろにずれたりして歯が生えます。歯が並ぶスペースがないのは、顎が小さい・成長していないためです。原因は遺伝もしくは顎がしっかり発育していないことが考えられます。
八重歯も叢生(ガチャ歯・乱杭歯)の一種ですので、ずれて生えてくる原因は同じく歯が並ぶスペースがないことです。犬歯が八重歯のようになるのは、歯が生える順序によるもので、犬歯が生える頃には1番2番の前歯はすでに萌出がしきっており、結果あとから生える八重歯が生えるスペースがないため、歯茎の上の方から放出することになります。
ガチャ歯・八重歯を治療するには、歯列矯正が有効です。日本人の中でも最も多い不正咬合で、過去の調査(※1)では4人に1人以上に叢生がみつかっています。
叢生自体は歯列矯正において難易度の高い治療ではありません。ただし、ガチャ歯・八重歯になる原因は歯が並ぶスペースがないことが原因ですので、歯を並べるスペースを確保する必要があります。スペースを作るためには抜歯が必要になることもあり、抜歯をして矯正するとなると、躊躇する人も多くおられます。
具体的な治療方法としては矯正装置による矯正力で歯を動かす治療となり、歯をを動かす方法や装置にはいくつか種類があります。
矯正でガチャ歯・八重歯を治すには、様々な方法があります。
歯を並ぶスペースを作るために歯を抜いて並べます。抜歯の対象となる歯は、4番という小臼歯が選ばれる可能性高いです。抜歯は最大4本行う場合があります。
デコボコ・歯の重なり範囲が大きくなければ、ストリッピングという、歯を少しずつ削ることでスペースを作ります。1歯あたり最大0.5mm(片側0.25mm)削ります。
歯を後ろに送ることで重なった歯を並べるスペースを作ります。遠心移動できる距離は片側2.5mm程度までのため、大きな叢生がある場合は向いていません)
拡大装置を使って顎を広げ、歯を並べます。顎の発育に合わせて歯を並べるスペースを確保する方法で、主に小児矯正で行います。大人でも25歳ぐらいまでは多少動くことがあります。
拡大装置などで歯冠を遠心(外側)に傾斜させて歯が並ぶスペースを作ります。ただし、前に傾斜することにより前突(出っ歯)になる恐れがあるため、事前に検討が必要です。
マルチブラケットシステム
歯の表面にマルチブラケットという装置を貼り付け、ワイヤーを通して歯を引っ張ります。1ヶ月でおよそ0.3~0.5mm程度歯が動きます。ワイヤー矯正には、歯の裏側にブラケットを着ける裏側矯正もあります。
マウスピース型矯正装置
歯に力がかかる透明のアライナー(マウスピース)を装着することで歯を動かします。歯は1ヶ月でおよそ0.25mm程度歯が動きます。叢生量(歯のズレやデコボコの量)に応じて装置の種類・枚数・治療期間が異なります。
拡大装置・リンガルアーチ
顎を広げる装置を使って、顎の成長を助ける矯正です。成人でも顎の拡大をすることはありますが、顎を拡大できる時期は限られており、主に小児期、永久歯と乳歯の混合歯列期に行う矯正です。
アップル歯科の矯正治療でかかる費用
ガチャ歯・八重歯といわれる叢生は、重なっているところの清掃が難しいため、虫歯や歯周病になりやすいというリスクがあります。
しかし、それと同程度、もしくはそれ以上に問題なのが「見た目」です。叢生の人は、笑うとガチャガチャの歯が見えるため、思春期を境に笑顔が少なくなったり、口元を隠すようになることも多い咬み合わせです。「だからと言って見た目のために矯正なんて」という方もおられますが、見た目の問題はご本人にとっては大きな問題です。
人前で笑えない、口の中を見られることが恥ずかしいと思うことは、精神衛生上よくありません。矯正治療は、咬み合わせのように機能的な改善だけではなく、見た目の改善も大きな目的と言えます。
ガチャ歯・八重歯でお悩みでしたら、まずは一度相談にお越しください。矯正治療で費用はいくらかかるのか、期間はどれぐらいなのか、どんな装置があってどんな特徴があるのかなど、詳しくご説明いたします。
【新規の患者様専用】矯正相談WEB予約
この記事の編集・責任者は歯科医師の井津上卓也です。
歯科医師 井津上 卓也

上顎前突(出っ歯)と正中離開の歯列矯正による治療例
これまでアップル歯科では多くの上顎前突(出っ歯・口ゴボ)の治療を行ってきました。多くの出っ歯や口ゴボは矯正治療で改善できます。
Before
Before
Before
After
After
After
Before
After
| 治療の内容 | 矯正用アンカースクリューを使ったワイヤー矯正(マルチブラケットシステム)と前歯のラミネートベニア。 |
|---|---|
| 期間・回数 | 3年3ヶ月・41回(カウンセリング・検査含む) |
| 費用 | 自由診療:ワイヤー矯正(クリアブラケット)+矯正用アンカースクリュー×4本+ラミネートベニア×2歯 総額 1,165,000円(税込1,281,500円)(調整料37回分含む) |
| リスク・副作用 |
|
出っ歯・口ゴボの種類
顎の骨格の問題による出っ歯です。図内のAの点とBの点の幅が広ければ『上顎前突』という咬合に分類されます。原因はAの位置が前に出ている場合、Bの位置が後ろに下がっている場合があり、どちらも同じ骨格性の上顎前突(出っ歯)となります。
歯の生える角度による出っ歯です。図内のA点とB点の幅は狭いが、歯が傾斜して生えているために『上顎前突」になっている状態です。原因は上顎の歯が前方に傾斜している・下顎の歯が後方に引っ込んでいる・歯が大きいなどが考えられます。
出っ歯・口ゴボの治療には歯の矯正が有効です。歯の矯正にはいくつかのバリエーションがあり、年齢や咬み合わせによって選択肢は異なります。また、そのバリエーションの中から組み合わせて治療を行う場合もあります。【例:外科矯正+成人矯正、小児矯正(Ⅰ期治療)→成人矯正(Ⅱ期治療)】
《もっと詳しく:口ゴボの治し方》
矯正で前突を治すには、様々な方法があります。
歯を後ろに引っ込めるためにはスペースが必要です。抜歯をしてスペースを作り、矯正装置で歯を後ろに引くことで前突・傾斜を改善します。
歯を少しずつ削ることで小さくして、歯を後ろに引っ込めるスペースを作り、マウスピース型矯正装置などで歯を動かして前突・傾斜を改善します。
歯を全体的に後ろに送りながら、前突・傾斜を整えていく方法です。一番奥の歯から順番に後ろに送っていくことでスペースを作ります。
床矯正装置を使って顎を広げる方法です。顎の成長により歯が並ぶスペースを確保しますが、成長が止まった成人は顎の拡大は困難です。
顎の骨を切り取り、骨格を改善する方法です。上顎の骨を後方に移動したり、下顎の歯を前方に移動することにより正常な位置へ骨をずらします。
※外科矯正は紹介先の病院での手術
マルチブラケットという器具を歯に貼り付け、ワイヤーで引っ張ることで歯を動かします。マルチブラケットやワイヤーには様々な種類があり、歯の裏側(舌側)に貼るタイプの目立たない矯正装置もあります。
ほぼ透明のアライナー(マウスピース)によって歯を動かします。ステージごとに矯正力のかかるマウスピースを取り替えながら装着することで、徐々に歯を動かしていきます。軽度・中等度・重度と程度毎に装置があります。
顎を内側から広げる装置(拡大症)を着け、スクリューを回して装置を広げることで顎を拡大し、歯が並ぶスペースを作ります。主に成長可能な小児の矯正に使われ、顎の骨格を整えるⅠ期治療として使用します。
アップル歯科の矯正治療でかかる費用
出っ歯・口ゴボを治したいけど治せない方の多くは、ご家族に「矯正なんかしなくても困らない」と言われたり、お金がない、時間がないという方が多くおられます。
しかし、見た目の問題というのはご本人様にとっては大きな問題で、コンプレックスによって笑顔を失ったり、自分に自信が持てなくなる原因にもなります。
また、「矯正しなくても困らない」というのも間違いで、前突には「前歯の損傷リスクが高い」「風邪や病気にかかりやすい」「消化器官に負担をかける」「虫歯・歯周病、将来的な歯の欠損リスクが高い」など、様々な弊害があることがわかっています(※1)。
とはいえ、矯正治療はお金や時間のご心配もあるかと思います。そこで当院では、矯正治療に対し、費用間やメリット・デメリット・リスクを知って頂くための無料相談を承っております。無料相談にはご家族や大切な方の同伴も可能です。「矯正するかしないかわからないけど、一度話を聞きたい」というお考えでも結構です。よろしければ一度お話を聞いて、本当に治療が必要かどうか、検討するきっかけにしてみてはいかがでしょうか。
※1)上顎前突の治療の必要性
【新規の患者様専用】矯正相談WEB予約
この記事の編集・責任者は歯科医師の井津上卓也です。
歯科医師 井津上 卓也

受け口は歯科用語で反対咬合と言い、不正咬合の1種であり、上顎よりも下顎の方が前方へ突出した状態を指します。
お口を「イー」としたとき、上の前歯よりも下の前歯が前に出ている状態でしたら反対咬合・受け口であると判断できます。
反対咬合の治療は、歯並びが原因である場合は、歯列矯正で治療できる場合もありますが、骨格の問題であれば外科矯正治療が必要になる可能性もあります。 外科矯正治療とは、顎の骨を切って分割したり、顎の骨を移動させて咬み合わせと整える治療です。
顎の骨の問題ではなく、歯の傾きに問題があるパターンです。 下の前歯が上の前歯よりも前方へ突出していたり、上の前歯が内側に傾いている場合です。
歯を支えている顎の骨に問題があるパターンです。下の顎が上の顎より前方へ突出している、もしくは上の顎が下の顎より後方にある場合です。
下の前歯が上の前歯よりも前に出た状態です。つまり反対咬合のことになります。下前歯が前に出ているために顎が出ている見た目になることも多く、しゃくれと呼ばれる外見になる場合もあります。
一般的には顎が前に突出した輪郭のことを言い表します。顎が突出しているからといって反対咬合になっていない場合もありますが、受け口(反対咬合]の場合顎がしゃくれる事が多くあります。
反対咬合になってしまう原因は、「親からの遺伝」、「舌の習癖(くせ)」、「下の顎の発達」の大きく分けて3つあります。
顔や声がお子様に遺伝しやすいように、歯並びや骨格も遺伝します。親が反対咬合だから必ず遺伝するというわけではありませんが、両親のどちらかが受け口の場合は、お子様もその骨格を受け継ぐ場合があります。
また、遺伝だけでなく親御さんの癖おお子様が真似をし、それが反対咬合の原因となることもあります。
幼少期の子供の顎の骨は柔らかいため、吸唇癖(唇を吸うくせ)や頬杖、顎を前に出す仕草が癖となっている場合、反対咬合を引き起こす原因となることもあります。
癖は長く続くにつれて、やめさせることが難しくなる場合もあり、反対咬合を進行させてしまう可能性もあるため、早い段階でやめさせることが重要です。
成長過程で、上の顎よりも下の顎が発達し、大きくなってしまい、反対咬合になる場合もあります。
上の顎と下の顎のバランスが悪く成長してしまう原因の1つとしては、舌の位置が関係していることもあります。 舌の正しい位置は、上の顎にくっついており、支えている状態が望ましいのですが、何らかの理由で舌が下がってしまっていると、下の顎が発達してしまうこともあります。
反対咬合は、しゃくれているような状態ですので、外見を気にされることが多いですが、実は健康へ悪影響を及ぼす可能性もあります。
まず、上顎が下顎よりも後方にあるため、咀嚼がうまく出来ない・発音がしかりできないなど、機能的な問題を生じます。そのため食事の咀嚼が不十分となり消化不良を引き起こすきっかけになったり(※1)、「サ行」や「タ行」の発音は前歯と舌を使うため難しい、発音不良でコミュニケーショうがうまく取れない、咬み合わせの問題から顎の変形・顔が曲がるなど(※2)、様々な問題を引き起こします。
また、反対咬合は将来的に歯を失うリスクの高い咬み合わせでもあります。咬み合わせの不良から顎にかかる負担が大きいため、8020(80歳で20本の歯を残す)達成者の中には反対咬合はいなかったというデータもあります(※3)。
※1)不正咬合者は,主観的評価として食べにくい食品がないと感じていても,客観的評価となる咬合力や咬合接触面積では正常咬合者のもつそれには及ばず,不正咬合者の主観的評価と客観的評価には差異があった。
※2)上の歯よりも下の歯が外側に出た状態。前歯のみで起こる場合が多いが、成長期の子供で奥歯の反対咬合を放っておくと顔が曲がるなどの障害が生じる場合がある。
※3)8020達成者の咬合分類 上下顎前歯の前後関係は84.6%、上顎前突15.4%、反対咬合0%であった。
主に歯槽性の反対咬合の場合、程度によってはワイヤー矯正による歯列矯正で治療可能な場合があります。
ブラケットにワイヤーを通し、歯のデコボコや垂直方向の位置を整えてから、ゴムを使って上下のズレを直していく方法や、抜歯をして隙間を作り、下顎前歯を後ろに移動させる方法などがあります。
また、部分的に反対咬合になる「交叉咬合」という咬み合わせの場合も、歯列矯正により治療できる場合もあります。
透明のマウスピース型矯正装置を使った目立たない矯正です。適応には限りがありますが、反対咬合でも治療な場合はあります。当院では主にインビザラインシステムによる矯正治療を行います。
また、矯正治療には後戻りがあり、保定をしっかりしなければせっかく治療した反対咬合が、徐々に戻る場合があります。受け口の治療でワイヤー矯正を経験された方は、再矯正でワイヤー矯正に抵抗がある方が多くおられますが、マウスピース矯正はこの後戻りに対する再矯正に対しても有効で、患者様からも受け入れられやすい矯正です。
下顎の骨を切り、下顎の位置を後ろにずらしてつなぐ手術です。反対咬合の場合、顎変形症の診断を受けることで、外科手術が保険適用になります。
ただし、一定期間の入院と、術前・術後の歯列矯正が必要で、手術はご紹介先の入院設備のある病院(大学病院や基幹病院の口腔外科)で行います。
外科矯正はリスクもあり、「顎の骨を切る」という恐怖から、受け入れ難い方も多いですが、反対咬合のまま人生を送るリスクを考えれば、手術を受けたほうが良い場合もあります。外科矯正が必要か回避できるかは、検査をしてみなければ具体的にはわかりませんが、目安として「上下の顎の前歯の先を合わすことができる状態」であれば外科矯正なしで治療できる可能性があります。
反対咬合の治療は他の不正歯列より早めの歯科受診が推奨されます。反対咬合はお子様のうちは治療にもオプションがあり、早期治療で改善できる場合があります。
3~4歳の乳歯列に行うムーシールドというマウスピースや、リンガルアーチという歯の傾斜を移動する装置、チンキャップと言う顎の位置をコントロールする頭にかぶって使う装置など、治療方法も成人に比べ幅が広く、成長に合わせて行うことができます。
お子様が反対咬合、もしくは両親のどちらかが反対咬合の場合は、早めに検査を受診してください。
Before
After
| 治療の内容 | 外科矯正とセラミック・ゴールド補綴、メタルボンド、ホームホワイトニングによる総合治療。 |
|---|---|
| 期間・回数 | 4年4ヶ月・15回(カウンセリング・検査含む、外科矯正回数除く※外科矯正は当院紹介病院にて手術) |
| 費用 | 自由診療:セラミッククラウン✕1歯+ゴールドクラウン✕3歯+ゴールドインレー✕1歯+メタルボンド✕1歯+ホームホワイトニング 総額 525,000円(税込577,500円)(矯正費用は除く※歯列矯正は当院矯正医のクリニックにて治療) |
| リスク・副作用 |
|
Before
After
| 治療の内容 | マルチブラケットとタングクリブによる歯列矯正と、ベーシックインプラント1本、セラミッククラウン6歯、セラミックインレー3歯、ホームホワイトニングの総合治療。 |
|---|---|
| 期間・回数 | 5年1ヶ月・21回(カウンセリング・検査含む・矯正治療回数除く) |
| 費用 | 自由診療:ベーシックインプラント✕1歯+セラミッククラウン✕5歯+セラミックインレー✕3歯+ホームホワイトニング 総額 1,085,000円(税込1,193,500円)(歯列矯正費用除く※歯列矯正は当院矯正医のクリニックにて治療) |
| リスク・副作用 |
|
反対咬合は、審美的な問題やコミュニケーションの問題から、コンプレックスに感じてしまうことが多い咬み合わせです。中には、その見た目や発音をからかわれるというご経験を持つ方も多くおられます。
しかし、治療となると「外科矯正が必要かも」と考えると、なかなか治療に踏みけれなかったり、費用面できになったり、咬み合わせが変わることの不安もあると思います。
ですから、まずは「治療する」と意気込むのではなく、相談のつもりで歯科をご利用いただければと思います。反対咬合は決して良い咬み合わせではありません。将来的に歯や身体にどのような影響が現れるのか、治療するとすればどんな治療でどの程度の費用や期間がかかるのか、まずは相談してから治療をするかどうか決めましょう。
当院には、反対咬合の治療の実績も多数あります。受け口でお悩みなら、まずは相談から始めましょう。
【新規の患者様専用】矯正相談WEB予約
この記事の編集・責任者は歯科医師の井津上卓也です。
歯科医師 井津上 卓也

| 曜日 | 月 | 火 | 水 | 木 | 金 | 土 |
|---|---|---|---|---|---|---|
| 診療開始 | 9:30 | 9:30 | 9:30 | 9:30 | 9:30 | 9:30 |
| 診療終了 | 18:30 | 18:30 | 13:00 | 18:30 | 18:30 | 17:00 |
※日曜・祝日診療は右記診療カレンダーをご覧下さい。
| 日 | 月 | 火 | 水 | 木 | 金 | 土 | ||||||||||||||
|---|---|---|---|---|---|---|---|---|---|---|---|---|---|---|---|---|---|---|---|---|
| ||||||||||||||||||||
| ||||||||||||||||||||
| ||||||||||||||||||||
| ||||||||||||||||||||
| ||||||||||||||||||||
| ||||||||||||||||||||
休診日
日曜・祝日診療
13時迄
明石以外でもアップル歯科の治療を受けられます
明石・神戸周辺のアップル歯科