外科矯正なしで咬み合せのズレを改善した症例

HOME > 症例 > 外科矯正なしで咬み合せのズレを改善した症例

顎の変形に対する歯列矯正による治療

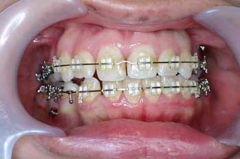
もともと見た目が気になるという事で、ご来院されました。この方の場合、顎がずれており、そのため正中(前歯の中心)もずれているという状態で、骨格的な問題もある症例でした。通常顎がずれている場合、外科矯正と言う顎の手術が必要な場合があります。しかし外科矯正は患者様にとっても侵襲が高く、入院が必要なこともあることから、非外科(手術を伴わない)での治療を検討していきました。

Before

非外科であっても状態によっては骨格的な問題を改善できることもあります。今回は歯列矯正でで咬み合わせを整えることで、顎のズレの改善を目指しました。

Process

歯列矯正により歯の中心も揃い、歯並びもきれいになりました。これにより骨格的な問題の影響は小さくなり、しっかり噛み合う咬合になっています。

After

今後も継続的にメインテナンスでご利用いただき、この良い状態が末永く続くようお手伝いできればと思います。

Before

Process

After

治療の内容 マルチブラケットと矯正用インプラントによる歯列矯正とオフィスホワイトニングによる治療。
期間・回数 2年1ヶ月・28回(カウンセリング・検査含む)
費用 自由診療:マルチブラケット+矯正用ミニインプラント✕2本+オフィスホワイトニング 総額 860,000円(税込946,000円)(調整料24回分含む)
リスク・副作用
  • 歯磨きがわるい場合には、虫歯や歯肉炎が進行することがあります。
  • 顎関節が弱い方の場合、関節異常が出ることがあります。矯正治療中顎の関節に音がする、痛くなる、口が開きにくくなる、といったような症状が出た場合には直にお知らせください。その場合は顎関節症の治療をすることがあります。 長期の矯正治療により歯根吸収が生じる恐れがあります。
  • 歯ぐきや歯槽骨が多少やせることがあります。そのため、術前の状態より歯肉が退縮し、隙間ができることがあります。
  • 体質により金属アレルギーを引き起こす事があります。
  • 治療後、知覚過敏や痛みなどが出たり、吸収された骨が再生しなくなることがあります。
  • 歯肉が退縮して歯が長く見えたり、歯と歯の隙間が広くなったりすることもあります。
タグ: , ,

外科矯正なしで咬み合せのズレを改善した症例 | 公開日: 2011/07/29 | 更新日: 2021/08/18 | by 明石アップル歯科

このページの関連記事

明石市でかかりつけの
歯医者をお探しの方へ

スライドします
曜日
診療開始 9:30 9:30 9:30 9:30 9:30 9:30
診療終了 18:30 18:30 13:00 18:30 18:30 17:00

休診日・診療日について

※日曜・祝日診療は右記診療カレンダーをご覧下さい。

診療カレンダー

2026年 5月
26
27
28
29
30
1
2
3
4
5
6
7
8
9
10
11
12
13
14
15
16
17
18
19
20
21
22
23
24
25
26
27
28
29
30
31
1
2
3
4
5
6

休診日

日曜・祝日診療

13時迄

明石アップル歯科への
アクセス・地図

明石以外でもアップル歯科の治療を受けられます

明石・神戸周辺のアップル歯科

明石市歯科

明石アップル歯科

明石アップル歯科

明石市大久保町高丘3-3-1

加古川市歯科

加古川アップル歯科

加古川アップル歯科

加古川市平岡町土山909-33

神戸市中央区歯科

三宮アップル歯科

三宮アップル歯科

神戸市中央区琴ノ緒町5-2-2 三信ビル3F

尼崎市歯科

アップル歯科尼崎駅前

アップル歯科尼崎駅前

尼崎市長洲本通1-4-18 ヴィラレオーネ 1F

伊丹市歯科

アップル歯科伊丹駅前

アップル歯科伊丹駅前

兵庫県伊丹市西台1丁目1番1号 伊丹阪急駅ビル4階

大阪市北区 梅田歯科

梅田アップル歯科

梅田アップル歯科

大阪市北区芝田2-3-9 EXCEL UMEDA 2F

大阪市中央区 なんば歯科

なんばアップル歯科

なんばアップル歯科

大阪市中央区難波千日前15-15 BRAVE難波503

枚方市 くずは歯科

枚方くずはアップル歯科

枚方くずはアップル歯科

枚方市楠葉花園町14-1 京阪くずは駅ビル2F

京都河原町歯科

アップル歯科京都河原町

アップル歯科京都河原町

京都市下京区奈良物町364 中央四条ビル3階

福岡市六本松周辺の歯科

アップル歯科六本松

アップル歯科六本松

福岡市中央区六本松2丁目5番1号 THE GROVE 3階

友だち追加

Copyight© 2019 Apple Dental Clinic. All Right Reserved.

Page Top