このページの目次
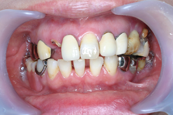
歯がボロボロで歯医者に見せるのが恥ずかしい・・・。
歯医者で歯について怒られる・叱られるかもしれない・・・。
治療の痛みや恐怖でなかなか踏み出せない・・・。
このような理由で歯がボロボロなのに歯科医院へいけない方は少なくありません。しかし、虫歯・歯周病などは、放置したまま状態が良くなることは絶対にありません。ですから、勇気を持って相談に来てください。わたしたち歯科医師は、どのような状態であっても、少しでも良くなるようにすることが仕事です。
当院では患者様に配慮した診察・カウンセリングを元に、症状に分け隔てなく治療および治療のご提案をさせていただきますので、お気軽にご相談ください。
虫歯・歯周病に限らず最終的に歯は抜けてしまい、様々な問題を引き起こします。実際のところ、年代別に残っている歯の数と医科の医療費の関係を調査した結果では、残存歯数が多い人の方が明らかに医療費が低い(※1)ことが分かっています。
つまり、歯を失うと別の身体の病気・疾患に罹るリスクも高まるという事です。口腔内の健康状態がそのまま全身の健康状態として現れるため、快適な食生活と多額の医療費、2つの側面からつらい思いをする可能性が高いのです。
※1)本研究結果から、口腔の健康状態の中では特に残存歯数が、歯科保健サービスの中では特に予防目的の歯科医療機関の受診が、歯科医療費および医療費と関連することが示唆された。
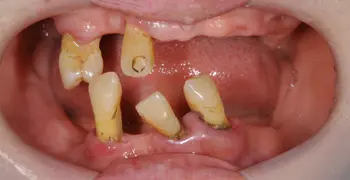
歯がボロボロになる原因は、大きく分けて虫歯・歯周病の2つです。どちらも普遍的な症状ですが、治療方法が全く違います。
虫歯と歯周病、原因別にボロボロの歯の治療方法をご紹介します。
ボロボロの歯でも残せる歯が多い場合、詰め物や被せ物での治療が可能な場合もあります。保険診療での治療が可能ですが、歯の状態によっては抜歯せざるを得ない場合もあります。
綺麗な見た目にしたり、金属以外の被せ物で治療をしたい場合は自由診療となりますが、患者様のご要望に合わせて治療方法をお選びいただけます。
ブリッジは残った歯を土台として橋を架けるようにする治療方法です。健康な歯が残っており、ブリッジにしても耐えることが診断できた場合に適用できます。
ブリッジは保険適用が可能な治療方法で、比較的安価に治療を完了できますが、健康な歯が残っていることが条件になるため、あまりにも多くの歯を失っている方に対しては治療することができません。また、歯周病が重度に進行している方にも適用できない可能性が高いです。
適用できるかどうかも含めて、歯科医師に相談するのが良いでしょう。
失われた歯が多い場合、入れ歯による治療が選ばれます。入れ歯は様々な状態の欠損(歯が抜けている状態)に対応できるので、費用面や手軽さで選ばれる方も多い治療です。治療に関しても保険適用のものがありますので、大きな負担にはなりません。
しかしながら噛む力・咀嚼力は大幅に落ちてしまいますし、見た目の問題や取り外しの手間もあります。
インプラントは、人工の歯を顎の骨に埋め込む治療で、保険診療では受けることができない治療です。入れ歯のように取り外す必要がなく、噛む力も天然の歯に近い状態に戻すことができます。
ただし、1本単位での治療になるため、多数の歯を治すには高額になってしまいます。
歯周病の状態によって残せる歯がある場合は、まずは症状を安定させるための歯周病治療を行う必要があります。
歯に着いた歯周病の原因となる硬い汚れ(歯石)を取り除くスケーリングや、目視できない部分に歯石が多く着いている場合は歯周外科という外科的な処置も行うことができます。
歯周病治療は一部の歯周外科治療をのぞき保険診療で受けられる治療が多いので、まずはこの方法で歯周病を安定させることを目標にします。
歯周病でほとんどの歯を失ってしまった場合は、総入れ歯による治療も考える必要があります。歯周病によってボロボロになった歯はグラグラと揺れている状態が多く、部分入れ歯の支えにするのが難しいことが多いです。
使用感が良くないと感じる人も多く、耐用性や見た目のことも考慮して、保険適用外の総入れ歯を選択する方もおられます。
虫歯・歯周病に関わらずほとんどの歯を失ってしまった場合、咬み合わせを一から計画してお口全体を治していく必要があり、このような治療はフルマウス治療と呼ばれます。
インプラントや矯正治療・被せ物などの複数の治療を駆使して進めるため高額にはなりますが、最終的な仕上がりを美しく機能的な歯にすることができます。
フルマウス治療の中でも、オールオン4という方法は、顎の骨に4~6本のインプラントを埋め込み、それを土台とした固定型の総入れ歯のようにする治療方法です。
一般的なインプラント治療では沢山のインプラントを埋め込む必要があり、超高額・長期間の治療でしたが、オールオン4は手術当日に仮の歯を装着することができたり、1度の手術で外科処置が終了するため、患者様に選ばれることが多い治療です。
当院ではオールオン4手術の実績がある歯科医師が複数在籍しており、医院併設の歯科技工所で精密な歯を製作できる環境が整っているので、安心して治療を受けることができます。
義歯(入れ歯)にも色々な種類があり、中でもBPSデンチャーと言われる精密義歯は「快適性」・「審美性」・「機能性」を追求した高品質な入れ歯です。
BPSデンチャーはオーダーメイドの義歯で、筋肉や顎の動き・咬み合わせ・発音の仕方・笑顔のバランスなど、専門の技工士立ち会いの下、一つひとつ確認しながら作成していきます。
審美性も、義歯床や人工歯に審美的な風合いをデザインすることで、一見入れ歯とはわからないほど天然に近い仕上がりにすることも可能です。
外れにくくしっかり噛めて、見た目も美しい義歯になります。
歯がボロボロの方の中には「いきなり治療は嫌だ」という方がたくさんいらっしゃいます。理由の一つは、治療が始まってしまえば自分の意見を言えないままどんどん進められることを危惧していること、もう一つは歯医者に行くまでの勇気は出せても治療までは話を聞くまで踏み切れないことなどがあるようです。
当院では一般的な保険診療から、オールオン4まで幅広く引き受けることができます。患者様のお口の中の健康状態・症状の原因・治療の予算等、全てをご相談したのち、患者様に寄り添った治療計画を提案しています。もちろん、保険のみの治療でも、自由診療の治療でも私達は最善を尽くしますのでご安心ください。
歯がボロボロになるまでには、「このままでは駄目だ」「早く歯医者にいかなければ」と、多くの葛藤があると思います。ですから、いきなり治療まで踏み切れなくても大丈夫です。まずは、勇気を出して相談にお越しください。相談するところから始めましょう。
この記事の編集・責任者は歯科医師の井津上卓也です。
歯科医師 井津上 卓也

| 曜日 | 月 | 火 | 水 | 木 | 金 | 土 |
|---|---|---|---|---|---|---|
| 診療開始 | 9:30 | 9:30 | 9:30 | 9:30 | 9:30 | 9:30 |
| 診療終了 | 18:30 | 18:30 | 13:00 | 18:30 | 18:30 | 17:00 |
※日曜・祝日診療は右記診療カレンダーをご覧下さい。
| 日 | 月 | 火 | 水 | 木 | 金 | 土 | ||||||||||||||
|---|---|---|---|---|---|---|---|---|---|---|---|---|---|---|---|---|---|---|---|---|
| ||||||||||||||||||||
| ||||||||||||||||||||
| ||||||||||||||||||||
| ||||||||||||||||||||
| ||||||||||||||||||||
| ||||||||||||||||||||
休診日
日曜・祝日診療
13時迄
明石以外でもアップル歯科の治療を受けられます
明石・神戸周辺のアップル歯科